psoriasis 건선의 기능의학적 치료법 - 종합비타민, 엽산, 비타민 A, 아연, 비타민 D, 셀레늄, 크롬, 오메가 3, 햇빛
작성자문형철작성시간19.08.17조회수12,508 목록 댓글 0beyond reason
미량원소 치유의학의 세계
아라키돈산..
호모시스테인
염증관계까지 다 정리해야....
건선의 치유 순서
1) 위산부족 문제해결
- 펩신 복용
2) 소장균, 대장균 - 유해균제거, 유익균 자리잡기
- 마그밀 10알 복용(2주 한번씩 최소 4회) 유해균제거를 위한 설사
- 프로바이오틱스 복용(락토바실러스, 비피도박테리아 등)
- 프리바이오틱스 복용(아마씨 등)
3) 건선에 나쁜 식사 바꾸기
- 모든 설탕 끊기 3개월
- 글루텐 프리 음식으로 바꾸기 3개월
- 알콜 끊기 1개월
4) 건선치유에 효과적인 식단(비타민, 미네랄 복용)
- 종합비타민 복용
- 아연, 셀레늄, 크롬, 오메가 3 오일, 햇빛 등
건선 psoriasis
건선의 증상
- 면역의 실조(림프세포인 T 보조세포의 과다)로 피부세포가 비정상적으로 빨리 분열하여 피부가 두꺼워지는 질병으로 피부세포의 분열속도가 정상피부보다 14배 빠름.
- 피부가 붉고 가렵고 두꺼워지며 하얀 껍질이 생김.
- 건선환자의 50%는 손톱변화
- 류머티즘 관절염과 원인이 비슷하여 류머티즘 관절염 환자는 건선이 생기기 쉽고, 건서환자는 류머티즘 관절염과 비슷한 관절염이 생김.
건선의 원인
1) 장누수증후군으로 장에서 독소, 알레르기를 일으키는 물질(항원)이 체내로 들어와 T보조세포를 자극, 증식하면서 피부에 증식, 염증이 빨라짐. 이것은 피부 세포분열을 관장하는 두가지 물질인 cAMP와 cGMP의 비율이 맞지않아 생김. cGMP가 높아지면 세포분열이 빨라지고 cAMP가 높아지면 세포분열이 늦어지는데 건선환자는 cGMP가 매우 높음.
가) 단백질인 아르기닌, 오니틴이 완전 소화되지 않으면 장의 나쁜 박테리아와 칸디다곰팡이에 의해서 폴리아민(polyamine)이라는 독소가 만들어지는데, 이 독소는 체내에 들어와 cAMP의 형성을 억제하고 cGMP를 높여 세포분열이 빨라짐.
- 폴리아민 독소가 생기지 않게 하려면 위산부족증을 치료하여 음식을 완전히 소화시키는 것이 중요함. 클릭클릭
- 그리고 나쁜 박테리아, 칸디다곰팡이 대신 유익균(프로바이오틱스)이 자라도록 해야함.
나) 육식, 동물성지방, 계란, 치즈, 우유, 아이스크림, 설탕 등은 염증을 일으키는 아라키돈산(arachidonic acid)이 많아 cGMP를 높이고 건선을 악화시킴. -- 따로 정리
다) 항생제의 복용은 장에 살고 있는 소장균, 대장균까지 죽여 유해균, 칸디다곰팡이가 번성하게 하고 대장독소가 많아지고 변비, 설사가 생기면서 건선을 악화시킴.
라) 간의 해독기능이 떨어지면 건선악화
마) 알콜은 간기능을 저하시키고 대장독소를 많이 흡수시키고 건선을 악화시킴.
알콜은 염증을 악화시키므로 ..
바) 호모시스테인이 높아지는 경우
건선이 있는 사람은 오메가 3오일, 엽산, 비타민이 부족하고 호모 시스테인이 높음.
사) 스트레스
건선환자의 39%가 건선이 발생하기 한 달전에 심한 스트레스를 받은 것으로 연구됨.
아) 흡연, 당뇨, 비만도 건선의 원인임.
자) 글루텐 음식
아스피린 - 장벽누수.. 건선악화
인삼은 cGMP를 높이는 작용이 있으므로 피해야
건선의 미량원소 치유법
1) 아연
- 아연이 부족하면 그림과 같이 손톱변화가 발생하는데 건선환자는 비슷한 손톱변화가 있음.
2) 비타민 A부족와 아연
피부에 가장 필요한 영양소는 비타민 A와 아연임.
피부의 상피세포에 비타민 A가 부족하면 건조해지면서 건선이 악화됨.
건선환자는 비타민 A가 부족함.
비타민 A는 소화가 안된 아미노산을 폴리아민 독소로 전환시키는 효소를 억제함.
3) 비타민 D의 건선치료효과
- 건선환자는 비타민 D가 부족함
비타민 D는 피부각질세포의 증식을 억제함
하루 2,000IU
4) 셀레니움 - 하루 200mcg, 비타민 E는 하루 400IU
- 건선환자는 글루타치온 수치가 낮음.
셀레늄은 항산화제인 글루타치온을 만드는데 절대적으로 필요한 미네랄.
셀레늄을 비타민 E와 함께 복용하면 글루타치온 수치를 높여줌.
5) 실리마린(silymarin)
- 간기능을 개선하는 약초로서 염증을 억제하고 과도한 세포증식을 감소시켜 건선치료에 중요하게 사용함.
6) 오메가 3 오일
- 오메가 3 오일의 면역조절작용은 림프세포인 T보조세포의 과다생성과 염증을 일으키는 물질의 생산을억제함.
- 오메가 3오일에 들어있는 EPA 1,800mg과 DHA 1,200mg을 먹으면 건선이 눈에띄게 개선됨.
7) 버버린(berberine)
- 대장에 소화가 안된 아미노산을 독소로 전환시키는 박테리아의 효소를 억제함.
유해균, 칸디다곰팡이를 억제하는 효과. 하루 2회 200-400mg복용.
8) 크롬(chromium)
- 건선환자는 대체로 정제된 설탕, 흰빵, 백미를 많이 먹어 인슐린 저항이 있고 혈당이 높음.
혈당을 내려주는 크롬이 부족한 경우가 많음. 하루 200-400mcg복용.
9) 햇볕
- 햇볕을 쏘이는 것이 건선치료에 도움이 됨.
- 1회 10분
서울의대·분당서울대병원 피부과 윤상웅 교수
건선(psoriasis)은 홍반과 인설을 동반하는 대표적인 만성 재발성 피부질환이다. 건선은 가장 오랜 역사를 지닌 피부질환으로, 전신 피부를 침범할 수 있다. 건선 환자는 표피세포가 정상보다 빨리 증식하기 때문에 피부가 두꺼워지고 각질이 발생한다. 또한 건선은 자가면역반응에 따른 염증으로 인해 대사증후군, 심혈관 질환, 건선성 관절염(PsA, psoriatic arthritis) 등과 같은 다양한 질환을 동반할 수 있다. 임상 양상과 치료에 대한 반응은 환자마다 매우 다양한 차이를 보인다.
■ 건선의 유형
심상성 건선(psoriasis vulgaris)은 가장 일반적인 형태의 건선으로, 붉게 튀어나온 피부 발진과 각질이 주요 증상이다. 심상성 건선을 치료를 하지 않고 장기간 방치할 경우 크기가 커지고 여러 병변이 뭉쳐 큰 판을 만들게 되는데, 이를 판상 건선(plaque psoriasis)이라 한다. 물방울 건선(guttate psoriasis)은 작고 붉은 물방울 형태의 발진이 급성으로 나타나는 건선으로, 자연 관해되기도 하지만 이후 판상형 건선으로 재발할 수 있다. 습진양 건선은 습진과 유사한 형태를 보이는 건선의 한 유형이다. 농포성 건선(pustular psoriasis)은 피부에 비세균성 농포가 나타나는 유형이다. 과거에는 심상성 건선의 변이 형태로 간주되었으나 실제로는 병인이 완전히 다른 질환이다. 농포성 건선은 손발바닥에만 국한되거나 전신적으로 나타나기도 하는데, 전신성의 경우 치료가 매우 까다롭고 심하면 사망에까지 이를 수 있다.
특히 안면, 두피, 손등, 손발톱 등의 노출 부위의 건선과 성기부 사회생활에 심각한 장애를 유발하기 때문에 중증도가 심하지 않아도 적극적으로 치료해야 한다. 건선은 대개 두피에서 최초로 발생한다. 따라서 홍피성 건선(erythrodermic psoriasis)은 전신으로 발병하는 유형으로 피부 전체에 홍반이 넓게 발생하는 양상을 보인다. 홍피성 건선이 심해질 경우 전신피부의 각질이 벗겨지는 박탈성 건선(exfoliative psoriasis)으로 발전할 수 있다.
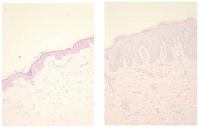
■ 건선의 병리
건선의 알려진 유전자는 약 9개가 있다. 유전적인 소인이 있는 상태에서 스트레스, 약물, 감염 등의 자극이 반복되면 피부의 면역체계가 발동하면서 T-세포에 영향을 주게 되고, 이에 따라 IL-17a, TNF-a와 같은 cytokine이 작용하여 표피세포가 정상보다 많이 증식하여 건선이 발생한다. 정상 피부의 경우 표피세포 4~10개가 층을 이루지만, 건선피부는 표피 세포가 정상 이상으로 빠른 속도로 증식하여 두께가 두꺼워지면서 튀어나온다[그림] 참조. 또한 정상적으로 성장한 세포는 표면에 각질층을 형성하여 피부를 유지하지만, 건선 피부는 각질층을 정상적으로 형성하지 못하여 세포가 빠르게 증식되어 올라오면서 각질이 탈락된다.
![]() |
■ 건선의 진단
건선은 전신에 분포하는 전형적인 병변 형태로, 육안으로 진단이 가능하다. 일반적으로 흔하지 않으나 증상이 악화되는 경우 가려움증을 동반할 수 있다. 건선은 병변의 형태, 시간 경과, 치료 여부 등에 따라 조직학적 차이를 보인다. 최근 생물학적 제제가 개발되면서 건선의 중증도를 평가하는 것이 중요해졌다. 건선 침범 정도가 체표면적의 3% 미만이면 경증, 3~10%이면 중등도, 10% 이상이면 중증으로 분류되지만, 치료의 기준이 되는 gold standard는 없다. 일반적으로 전신 치료를 시작하는 것은 건선의 침범 범위가 5~10% 이상인 경우이다. PASI(Psoriasis Area and Severity Index) 점수는 건선 부위의 홍반, 인설 두께 및 병변의 범위를 기준으로 건선의 중증도를 평가하는 도구이다. PASI 점수는 각 부위에서 선택한 대표적인 건선 병변(머리 x0.1, 팔 x0.2, 몸통 x0.3, 다리 x0.4 가중치 적용)의 홍반, 두께, 인설 점수에 각각의 면적을 곱한 후 네 영역의 값을 최종적으로 합하여 산출한다. 점수 범위는 0~72점이며, 10점 이상이면 중등도 이상의 건선으로 평가한다. 대부분의 건선 환자는 0~10점 사이에 분포한다.
■ 건선의 치료
건선의 치료법 선택은 중증도에 의해 결정된다. 중등도 내지 중증의 건선 환자의 치료 전략은 주로 회전요법(rotational therapy), 병용 요법(combination therapy), 순차 요법(sequential therapy)과 같은 한 가지 이상의 다양한 치료 전략을 환자의 상태에 따라 적절히 선택하게 된다. 회전 요법은 장기 단독요법으로 인한 독성을 예방하기 위해 1~3년마다 약물을 전환하는 방법이다. 과거에는 국소제제, cyclosporine, acitretin, 단파장 자외선 B요법, methotrextate 등의 치료법을 환자의 상태에 따라 적절히 선택하여 돌아가며 치료하였는데, 최근에는 이러한 선택지에 생물학적 제제가 추가되었다(JAAD 1993). 병용 요법은 단독 요법이 실패했을 때 두 가지 이상의 약물을 저용량으로 동시에 투여하는 방법으로, 독성을 최소화하면서 치료 효과를 높일 수 있는 방법이다(JAAD 1996). 치료법을 선택할 시에는 건선의 임상적 특징과 중증도, 환자의 의학적 상태, 병원 방문 가능 빈도를 포함한 사회적 요인, 의료비용, 환자의 욕구와 기대를 고려해야 한다. 한 연구에서 건선 환자 1,197명을 대상으로 전형적인 건선 치료법(MTX, PUVA, cyclosporine, acitretin)에 대한 만족도를 조사했다(JAAD 2005). 대부분의 치료법에 대한 만족도가 실제 사용환자의 50% 미만에 불과한 것으로 평가되었다.
ㆍ국소치료제: 가장 일반적으로 사용되는 국소치료제는 스테로이드 연고이다. 스테로이드 제제는 건선 병소에서 국소적인 면역 억제 작용을 나타낸다. 그러나 장기 간 투여하면 주변 피부에 부작용이 발생하고, 피부가 얇아지거나, 튼살, 혈관 확장 등을 야기할 수 있다. 또한 안면, 성기부, 겨드랑이, 사타구니 등의 약한 피부에는 투여하기가 어렵고, 장기 사용 시 효과가 감소할 수 있다(tachyphylaxis). 이러한 문제를 개선하기 위해 비타민 D 연고가 개발되었다. 비타민 D 연고는 표피세포의 증식을 억제하고 분화를 촉진한다. 이 제제는 체내 칼슘대사에 영향이 적은 비타민 D 유도체를 이용한 약물로, 스테로이드 연고와 비교해 부작용이 현저하게 적다. 그러나 치료 효과 발현이 느리고 단독 투여로 충분한 효과가 나타나지 않는다는 단점이 있다.
ㆍ경구치료제: Acitretin은 비타민 A에서 유도체로, 표피의 증식을 억제하고 분화를 촉진한다. 과거 1 차 경구 치료제로 고려하였으나 최기형성의 위험이 있어 젊은 성인 여성은 신중하게 복용해야 한다. 이 제제를 복용하면 혈중 지질과 간기능에 영향을 미치므로 정기적인 혈액검사가 필요하다. 입술이 갈라지고 피부가 건조해지며, 탈모, 결막염, 홍조와 같은 부작용을 유발할 수 있다.
Cyclosporine은 장기이식환자를 위한 면역억제제로, 건선의 면역학적 발생 기전을 조절한다. 건선 환자에게는 저용량을 투여해야 하며, 신장 장애, 간효소 상승, 요산 상승, 고혈압 등의 부작용을 고려해야 한다. Methotrexate는 항암제/세포분열억제제로, 건선 표피 세포의 빠른 증식을 억제하는 효과가 있다. 이 약물은 건선의 면역학적 이상을 교정하지만 지속적으로 투여할 경우 간독성이 문제가 될 수 있다. 따라서 중증 건선 환자에만 제한적으로 사용해야 하며, 간 또는 신장 장애 환자, 가임기 남녀는 금기이다. 전신 스테로이드(prednisolone)는 강력한 효과를 가지고 있으나 복용 중단 시 증상이 심해지는 반동현상이 있으며, 당뇨병, 고혈압, 골다공증, 백내장, 녹내장, 위궤양 등 다양한 부작용 우려가 있다. 따라서 가능하면 투여하지 않지만 전신 농포성 건선과 같은 중증 건선 환자의 빠른 증상 개선을 위해 일시적으로 투여할 수 있다.
ㆍ자외선치료법: 단파장 자외선 B 요법(NBUVB therapy)은 자외선 치료법 중 가장 최근에 개발된 방법으로, 광범위한 자외선 파장 중 건선에 효과적인 파장만 골라내어 조사하기 때문에 부작용이 적고 치료 효과가 크다. 초기에는 주 3회 치료하며 이후 증상 호전 여부를 확인하여 줄여 나간다. 평균 3개월 이상의 치료가 필요하다.
■ 새로운 건선 치료법
과거 건선 치료 피라미드에서는 스트레스 관리를 기반으로 하며 중증도가 증가함에 따라 보습제, 국소 치료, 광선요법, 전신 치료를 단계적으로 시행하도록 제안하였다. 최근에는 이 피라미드의 마지막 단계에 면역학적 이상반응을 차단하는 면역단백질인 생물학적 제제가 추가되었으며, 광선 요법에도 고선량을 국소적으로 조사하는 선택적 광선치료(excimer laser)가 포함되었다. 건선 치료에 작용하는 생물학적 제제는 크게 Anti-T cell 요법과 Anti-cytokine 요법으로 나눌 수 있다.
ㆍAnti-T 세포 요법: Alefacept는 인간 LFA-3 융합단백질로, CD2와 결합하여 T-세포 활성을 억제하는 작용을 한다. 아직 국내에는 시판 중이지 않다. Efalizumab은 CD11에 대한 인간 IgG 단일클론항체로, LFA-1(T-세포)이 ICAM-1(수지상세포)으로 결합하는 것을 차단하여 T-세포의 이동을 억제한다. 그러나 치명적인 부작용이 보고되면서 2009년 시판 중단되었다. 따라서 국내에서는 현재 Anti-T 세포 요법을 시행하지 않는다.
ㆍAnti-cytokine 요법: Anti-cytokine 요법은 크게 Anti-TNF 요법과 Anti-IL-12/IL-23 요법으로 분류할 수 있다. TNF-α 차단제 중 가장 대표적인 약물은 etanercept로, 미국 가이드라인에서도 가장 우선적으로 권고하고 있다. 이 제제는 25~50mg을 주 1~2회 피하 투여한다. Infliximab은 TNF-α에 대한 키메라 단일클론항체(chimeric monoclonal antibody)이며, 3차 치료제로 권고되고 있다. 이 제제는 5mg/kg을 0, 2, 6주 경과 시, 그리고 이후 8주 간격으로 정맥 주사한다. Adalimumab은 TNF-α에 대한 인간 단일클론 IgG1 항체로, 먼저 80mg을 부하 용량으로 투여하고 1주 후부터 격주로 40mg을 피하 투여한다. Golimumab은 곧 국내에 출시될 예정으로, 건선성 관절염만 적응증으로 승인 받았으며, 월 1회 투여할 수 있다. Anti- IL-12/IL-23 치료제인 ustekinumab은 IL-12/IL-23의 p40 subunit을 표적으로 하는 완전한 인간 단일클론항체(fully human monoclonal antibody)이다. 이 제제는 IL-12/IL-23이 nave T-세포 상의 수용체에 결합하는 것을 차단하고 Th1/Th17 세포의 분화/클론성 확장을 예방하는 기전을 갖고 있다. 100kg 미만 환자는 45mg을, 100kg 이상 환자는 90mg을 0, 4주차에 피하투여하고, 그 이후부터는 12주 간격으로 투여한다. Ustekinumab은 TNF-α 차단제와 달리 주사 부위 반응이 나타나지 않으며, 그 현재 5년간 추적관찰한 연구에서 위약군에 비해 부작용이 늘어나지 않는 것으로 알려져 있다.
■ 결론
생물학적 제제는 전형적인 건선치료와 비교해 장기 투여 시 효과가 크고 부작용이 적다. 또한 투여가 횟수가 적고 추가 검사가 필요 없기 때문에 환자의 삶의 질을 향상시킬 수 있다. 그러나 약제비가 높다는 한계가 있다. 최근 IL-27, IL-22 등 다른 타깃을 표적으로 하는 새로운 생물학적 제제가 개발되면서 효능, 안전성, 간편성, 약제비 등이 더욱 개선될 것으로 기대되고 있다.
[Q & A]
Q: 생물학적 제제는 판상형 건선에만 적응증을 인정받았는데, 실제 임상에서도 판상형 건선 환자에게만 투여하는가?
A: 그렇다. 농포성 건선이나 일부 홍피성 건선에 투여할 경우 오히려 악화될 수 있다.
Q: 회전 요법을 시행할 때 cyclosporine에서 생물학적 제제로 치료를 변경해야 하는 기준은 무엇이고, 치료기간은 어느 정도인가?
A: Cyclosporine은 신 독성이 있기 때문에 미국에서는 1년, 유럽에서는 2년 미만으로 투여하도록 하고 있다. 그러나 최근 생물학적 제제의 처방을 요구하는 환자가 증가하면서 cyclosporine을 장기간 투여하지 않는 추세이다. 특별한 비용 문제가 없는 환자는 보험 급여 기준에 맞추어 cyclosporine을 3개월간 투여한 후 치료효과가 충분치 않은 것으로 판단하였을 때 생물학적 제제로 변경을 고려할 수 있다. 건선 치료의 효능 유무는 치료 유형과 관계 없이 3개월을 기준으로 평가한다.
Q: 전신 치료제 처방 시 MTX, acitretin, cyclosporine을 선택하는 기준은 무엇이고 그 비율은 어떻게 되는가?
A: 건선의 임상 형태에 따라 전신 치료제를 선택하는 세부적인 기준이 마련되어 있다. 생물학적 제제가 개발되기 전에는 부작용이 상대적으로 적은 acitretin의 처방 비율이 가장 높았다. MTX와 cyclosporine은 acitretin에 비해 부작용 발생률이 높기 때문에 처방률이 비교적 낮았다. 그러나 생물학적 제제가 출시되면서 생물학적 제제로의 변경이 불가능한 acitretin의 처방은 감소하고 변경이 가능한 cyclosporine의 처방이 상대적으로 증가하는 추세이다.
Q: Cyclosporine은 복용을 중단할 경우 재발할 위험이 높기 때문에 tapering이 필요하다. 이러한 단점이 cyclosporine 처방에 부정적인 영향을 미치는가?
A: 실제로 tapering을 해도 건선이 재발할 가능성이 있다. 그렇기 때문에 오히려 cyclosporine을 1년 이상 장기적으로 투여하는 경우가 종종 있다.
Q: 과거에는 주로 종합병원에서 건선 치료를 시행했는데 현재는 어떠한가?
A: 과거에는 중등도 이상의 건선에 대해 개인 병원에서 치료하는 경우가 드물었다. 그러나 개원의들이 건선백반증연구회를 창설하는 등 개인 병원도 건선을 치료하고자 하는 경향이 점차 증가하고 있다. Excimer laser가 건선 치료에 보험 적용이 되기 때문에 개인 병원에서도 건선 환자를 많이 관리하고 있다.
Q: 생물학적 제제를 처방할 때 결핵 선별 검사는 어떻게 하는가?
A: Chest PA촬영과 IGRA(interferon gamma release assay)를 함께 실시하여 Chest PA에서 음성, IGRA에서 음성 결과가 나오면 anti-TNF 제제를 투여할 수 있다. IGRA 양성인 경우에는 환자의 결핵치료력을 확인한 후 isoniazid의 예방치료를 시행하면서 생물학적제제는 사용한다. 우리나라는 BCG 접종으로 인해 위양성 반응이 많아 Mantoux 검사는 단독으로 시행하지 못하는 경우가 많다.
Q: 생물학적 제제는 임상 프로토콜이 매우 엄격한데, 이러한 점이 처방에 영향을 미치는가?
A: 그렇다. 과거로부터 피부질환의 치료에는 고가의 약물로 보험적용의 제한을 받는 약물이 사용되지 않았다. 하지만 생물학적제제의 도입으로 보험기준을 적절하게 적용하지 않으면 삭감이 따라오기 때문에 임상 프로토콜을 정확히 지키고, 이에 따라 의무기록을 충실히 작성해야만 하는 시대가 도래하였다. 생물학적 제제를 의사에게 처방하도록 권유하기 위해서는 프로토콜과 이의 적용을 적절히 하도록 많은 홍보가 필요하다.
Q: 건선 치료 피라미드에서 전신 치료 상위에 생물학적 제제가 추가되었다고 하셨는데, 이 두 치료가 서로 구분되는 것인가?
A: 전신 요법은 일반적으로 경구 요법을 의미하는 것이기 때문에 생물학적 제제가 전신 요법의 옵션으로 추가된 것이라고 할 수 있다.
Q: 임상에서 아토피와 건선은 잘 구분이 되는가? 이런 질문은 안 넣는 것이 나을 것 같네요.
A: 아토피와 건선은 임상적으로 차이가 많기 때문에 피부과에서는 진단 구분이 매우 잘 된다.
Q: PASI 점수를 사용할 때 육안으로 면적을 평가하기 때문에 평가자간 신뢰도가 낮을 수 있다. 최근 교수께서 개발하신 PASI 점수 산출 어플리케이션이 도움이 되는가?
A: PASI 점수의 정확도는 건선 면적 평가에 대한 의사의 숙련도에 의해 좌우된다. 어플리케이션은 점수 계산을 용이하게 하기 위한 것이지 실제적인 평가를 위한 것은 아니다.
Q: 생물학적 제제 간 교체 투여해야 하는 기준이 있는가?
A: 기준은 있지만 약물의 순서는 정해져 있지 않다. 각각의 생물학적 제제는 효능을 평가하여 교체 여부를 결정하는 기간이 정해져 있다. 예를 들어 TNF-α 차단제는 3개월, ustekinumab는 6개월 투여 후 치료 결과를 평가하며, PASI 점수가 개선되지 않고 효과가 없다고 판단될 경우 다른 생물학적 제제로 교체 투여할 수 있다.
청년의사 webmaster@docdocdoc.co.kr
