CAFE

General Image Gallery

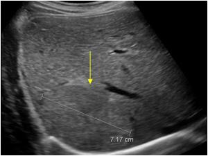
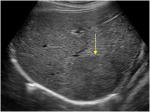
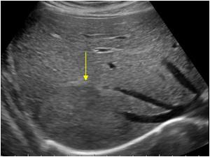
Focal nodular hyperplasia

작성자예현|작성시간15.03.30|조회수107 목록 댓글 2
Nearly isoechoic focal nodular hyperplasia (FNH)

다음검색
현재 게시글 추가 기능 열기

댓글

댓글 리스트
  • 작성자루씨71 | 작성시간 15.04.06 좋은영상 감사합니다~
  • 작성자나기 | 작성시간 15.04.07 영상 감사합니다
댓글 전체보기
맨위로

카페 검색

카페 검색어 입력폼