CAFE

Cardiac Image Gallery

pulmonary hypertension

작성자Emjay|작성시간12.12.08|조회수277 목록 댓글 5

60/F

C/C - dyspnea

history - HTN

 

pic 1. EKG - CRBBB

 

pic 2. PLAX (teich) - wall thickness 13 mm

                              septum 쪽은 거의 움직임 안보임.

 

pic 3. PSX - systole 시 septum이 flattening 해짐.

 

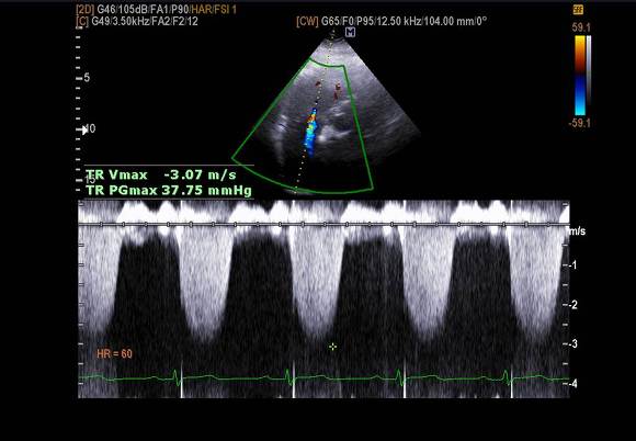
pic 4. TR velocity (37mmHg) -pulmonary hypertension (+)

 

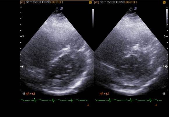
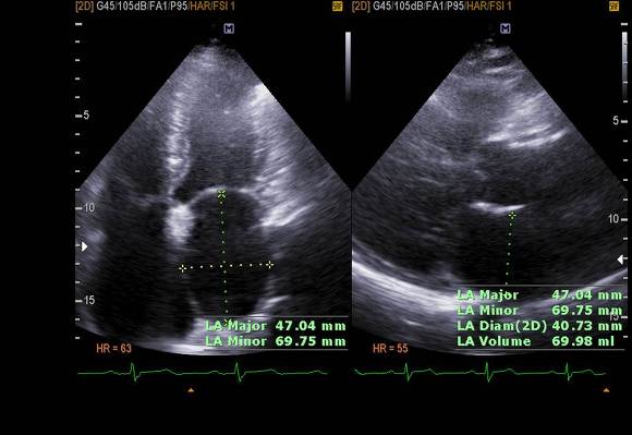
pic 5. LA enlargement (almost 70ml) also RA enlarged

 

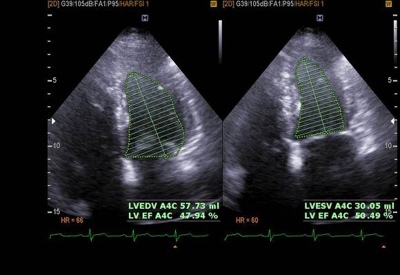
pic 6. EF 50.5%

 

pic 7. RV enlarged

 

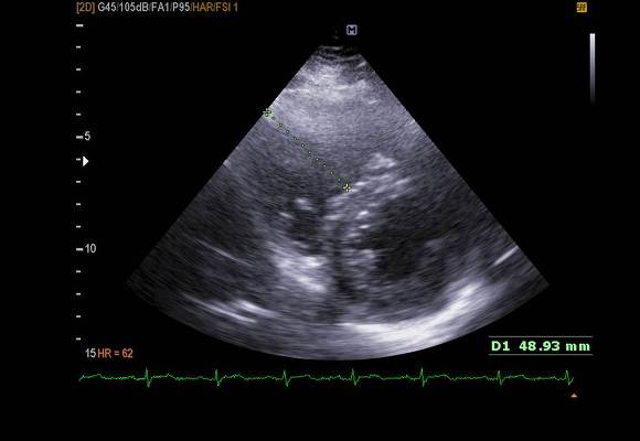
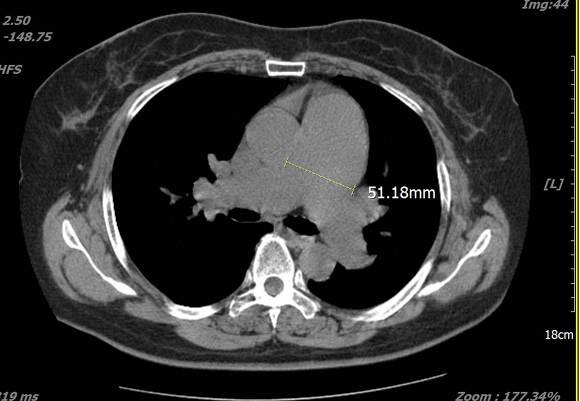
pic 8. main Pulmonary Artery - 51mm

 

pic 9. lung CT ( pulmonary artery size - 51mm)

 

 

 

LV 빼고 다른 챔버 모두 enlargement 있었고.

pulmonary hypertension 으로 인해 D-shape  보였습니다.

이로 인해  특히 septum 쪽 wall motion 이 떨어져 있었습니다.

 

다들 열공 열공 하세요~~~~

 

다음검색
현재 게시글 추가 기능 열기

댓글

댓글 리스트
  • 작성자ansela | 작성시간 12.12.11 좋은 영상 감사합니다
  • 작성자매버릭 | 작성시간 13.02.08 감사합니다. 소중한자료 올려주셔서 잘보고 있습니다.
  • 작성자☆아긔돼지☆ | 작성시간 14.05.01 잘 보고 갑니다^^
  • 작성자미리뽕 | 작성시간 16.09.28 올려주신 영상이 많이 도움 됩니다.. 앞으로 좋은영상 부탁드립니다 ^^
  • 작성자에스더13 | 작성시간 17.03.29 감사합니다 ~^^ 좋은영상 잘봤어요~^^
댓글 전체보기
맨위로

카페 검색

카페 검색어 입력폼