CAFE

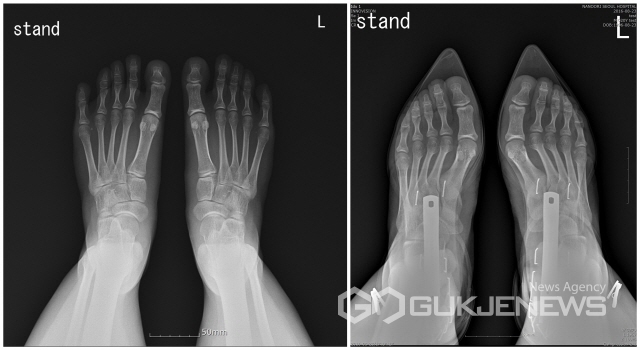
[흥미돋]하이힐 신은 발 엑스레이

작성자낭글낭글|작성시간23.05.06|조회수14,736 목록 댓글 17

출처 : 여성시대 낭글낭글

다음검색
현재 게시글 추가 기능 열기

댓글

댓글 리스트
  • 작성자갤러거지 | 작성시간 23.05.06 하..난 살면서 힐 한번 안신어봤는데 발모양 왜 오른쪽인데ㅠㅜ
  • 작성자이성애강요를멈춰주세요 | 작성시간 23.05.06 현대판 전족 그 잡채
  • 작성자트로블메커 | 작성시간 23.05.06 한 7~8년 다돼가는 구두들 신발장에 있는데 갖다버려야겠군
  • 작성자아이텐팃티 | 작성시간 23.05.06 와 예전엔 나도 신고 다녓는데 지금보니까 전족보는 기분임 ㅋㅋㅋ
  • 작성자우리강아지궁댕이는복슬궁댕이 | 작성시간 23.05.07 와 근데 어캐 신엇엇는지 기억도 안나 ㅋㅋㅋ 힐 안신은지 몇년 된거같은데 아까워서 신발장에 아직잇음 ㅋㅋㅋㅋㅋㅋ 한번 정리ㅙ야겟다
댓글 전체보기
맨위로

카페 검색

카페 검색어 입력폼