CAFE

[스크랩] [흥미돋]나 드디어 천만원 모아서 모티바로 가슴수술 하려고!

작성자Placebo Effect|작성시간24.03.03|조회수44,741 목록 댓글 144

출처 : 여성시대 꽃잎같은 안녕

제목은 어그로입니다
가슴수술 생각하는 여시라면 꼭 봤으면 해
그런 여시들을 위해서 주기적으로 끌올합니다


일단 간략하게 보는 가슴 수술 과정

겨드랑이 or 가슴 밑선을 3~3.5cm 절개함

벌린다

생살 찢어서 안에 벌려서 보형물 들어갈 공간 만듦

절개부위에 보형물을 냅다 밀어넣기

가슴 생김

성형외과 유튜브에서 캡쳐해온 가슴 보형물 사진

제일 유명하고 비싼 모티바
모티바로 하면 800~1,000만원임
몰디브를 가는게 낫지
세빈이나 멘토스무스는 300~500만원

이 덩어리 중 하나를 골라서 몸에 넣음



가.아.사는
가슴 아픈 사람들 준말로
네이버 성형 부작용 카페야

어떤 여시가 캡쳐해서 자게에 올린거
허락 맡고 퍼왔어요




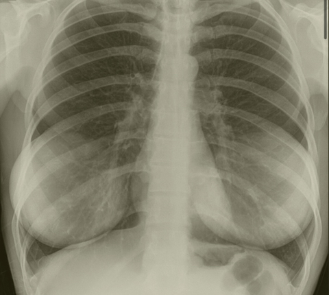
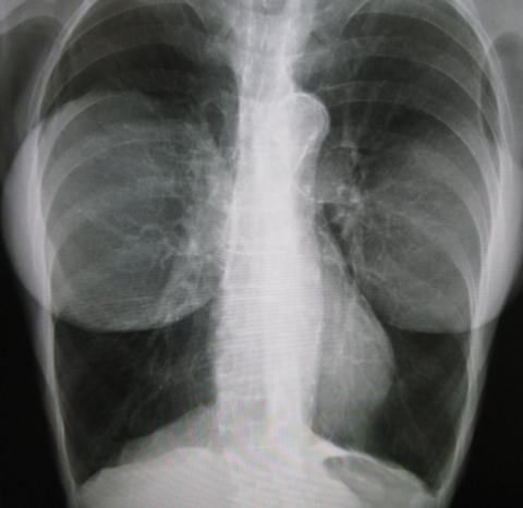
가슴수술 엑스레이


다음검색
현재 게시글 추가 기능 열기

댓글

댓글 리스트
  • 작성자붕허팡기미상궁 | 작성시간 24.03.04 도대체 왜하는거야 ㅋㅋㅋㅋ 자신감을 뭔 가슴으로 채워 얼마나 내세울게없으면…
  • 작성자DUNE3 | 작성시간 24.03.05 으악 ㅜㅜ 몸이 아프네
  • 작성자6차전직 | 작성시간 24.03.30 진짜 끔찍해....
  • 작성자망곰스터치 | 작성시간 24.04.08 도대체 이걸 왜...
  • 작성자행복하길바래요 | 작성시간 24.12.28 나도 성형 이해하는쪽인데 가슴은.. 안에 큰 보형물 넣고 만족하는게.. ㅋㅋ 너무 이상해
댓글 전체보기
맨위로

카페 검색

카페 검색어 입력폼