CAFE

[스크랩] [흥미돋]스케일링 너무 이시렵고 아프고 무서운 사람을 위한 극복하는 방법

작성자어머사피엔스|작성시간25.12.11|조회수13,912 목록 댓글 38

출처 : 여성시대 거짓말같니



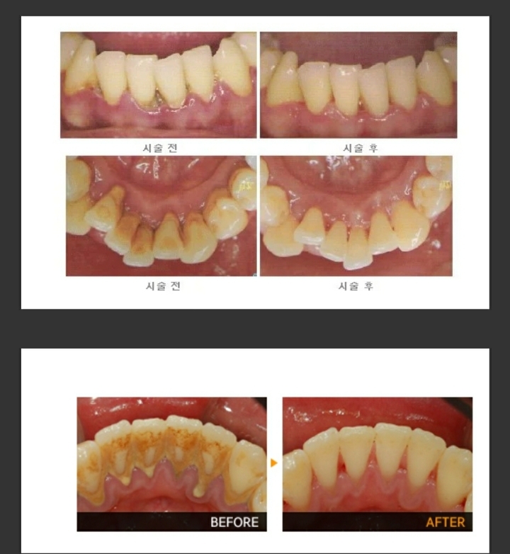
나라에서 1년에 한번씩은 의료보험으로 스케일링 싸게 받을 수있음.

의료보험 적용 안받으면 6만원정도 하는데

일년에 한번은 1만원에서 15000원만 내면

스케일링을 받을 수 있는거임




스케일링 왜 받아야하는데??

일단

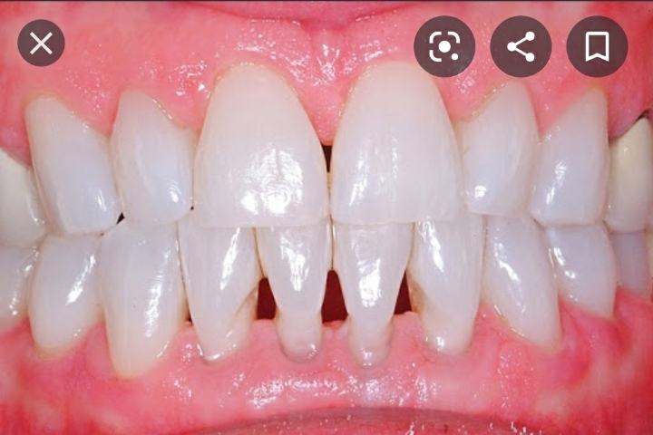
치석이 치아 밑동에 쌓이면

점점 잇몸 내려감

그럼 이렇게 블랙 트라이앵글이 생김

아 물론 저게 보기 싫다고 치석으로 꽉꽉 채워서

보색효과를 내고 다닐 수도 있음

문제는 치석이 쌓이면 더 내려앉아서 뿌리 다 보임..



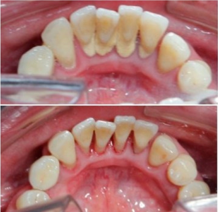
그럼 내려앉은 잇몸은 어떻게 다시 올리냐??


방법 없음.

하얀 레진으로 치아 밑동을 감싸서 안시리게 하거나(그래도 잇몸 더 내려감)

아니면 입천장을 얇게 포떠서 잇몸에 덧대거나(그래도 다시 잇몸 내려감)


내려간 잇몸은 다시 안올라옴.



그리고 심하면.. 치아녹아



치아는 있을 때 관리잘해


초중딩때 난 영구치 죽을때까지 써야한단말이야.



극복하는 방법은

1. 치석 많이 없으면 스케일링 별로 안아픔. 평상시에 치실써

2. 다시 되살릴 수 없는 잇몸생각해봐. 참고 하게됨

3. 치아뼈 녹으면 임플란트도 어려운데. 미래를 생각해봐 참고 하게됨.

다음검색
현재 게시글 추가 기능 열기

댓글

댓글 리스트
  • 작성자대게는되게맛있다 | 작성시간 25.12.12 치석이 치아를 지탱하고 있는 경우에도 스케일링 해야하나? 걍 빠질 거 같던데
  • 작성자반골 | 작성시간 25.12.12 좀 다른 말인데..
    여태껏 치석때문에 스케일링할때 아픈 적 없었는데 최근 치과갔을때 서비스로 스케일링 해주던데 잇몸을 다 조지듯이 해놔서 너무 아프던데ㅜㅜ
    이게 맞아??
    바로 전주만해도 다른 치위생사분이 치아 관리 잘했다고 했는데
    그 다음주에 스케일링 하는데 잇몸이 너무너무너무 아파;;; 퉁퉁 부음
    이거 스케일링하는 치위생사마다 다른거임?
  • 작성자GEDDFD | 작성시간 25.12.12 희한하게 그동안 스케일링 너무 아파서 하기싫웄는데 이번에 만난쌤은 하나도안아파서 대충하나 싶을정도였어(나중에보니 깔끔함) 스킬인가?
  • 작성자지대뽕빨나 | 작성시간 25.12.12 난 반년에 한번씩 꼭가 그러면 진짜 얼마안걸리고 아프지도않고 충치확인도 하고 좋음 미세충치는 계속 관리하면 유지되서 치료안해도됌
  • 작성자배고프닫 | 작성시간 25.12.15 아 이미 생기고 연어옴 돌앗네.. ㅠ
댓글 전체보기
맨위로

카페 검색

카페 검색어 입력폼