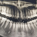
영케이 대단한 사랑니 작성자사라앙| 작성시간25.12.31| 조회수0| 댓글 46 본문 목록 댓글 리스트 작성자 The Evil Queen 작성시간25.12.31 나..양쪽 매복누운..근데 구강안면외과랑 치과에서 걍 살으래..ㅋㅋ30넘엇음 걍 살으라던디? 이미지 확대 더보기 신고 센터로 신고 카페 운영자 제보 작성자 어항 속 금붕어 작성시간25.12.31 나도 저래서 사랑니 전문병원 가서 뺐는데 ㅋㅋㅋ 더보기 신고 센터로 신고 카페 운영자 제보 작성자 번개맞고물고기됨 작성시간25.12.31 나도 저런꺼 잇어서 모른척하고 살다가 어느순간부터 뭔가 덜그럭 불편 느껴져서 결국 허겁지겁뺌 ㅠㅠㅠㅠㅠ 더보기 신고 센터로 신고 카페 운영자 제보 작성자 우가가가우가우 작성시간25.12.31 난 4개 다.. 누운 매복사랑닌데 부숴서 뺐지 머.. 더보기 신고 센터로 신고 카페 운영자 제보 작성자 DJ Tukutz 작성시간25.12.31 나도 누운 거 있는데 나는 안 나올 것 같다고 그냥 두라던데ㅠ 딱 안붙어서 그런가? 더보기 신고 센터로 신고 카페 운영자 제보 작성자 구구가 작성시간25.12.31 나도 네개 다 누워있는데 아무렇지도 않아서 냅두는중... 더보기 신고 센터로 신고 카페 운영자 제보 이전 목록이 없습니다. 1 2 현재페이지 3 다음 목록이 없습니다.