CAFE

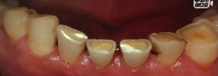
[스크랩] [흥미돋]약혐)30년동안 이갈이한 이빨상태

작성자용호초로 나온나 시뱅알|작성시간26.02.25|조회수17,608 목록 댓글 66

아우...

다음검색
스크랩 원문 : 도탁스 (DOTAX)
현재 게시글 추가 기능 열기

댓글

댓글 리스트
  • 작성자초콜렛두스푼 | 작성시간 26.02.26 나도 존나 갈아서 턱 아파서 병원가서 스플린트 맞춤.. 근데 지금 쓴지 1년 조굼 넘었는데 스플린트도 존나 갈아서 담에 좀 더 두껍게 보강하자고 하시네.. 🥹
  • 작성자단호한인프피 | 작성시간 26.02.26 이가는거 대체 어케고쳐 ㅜㅜ..?
  • 작성자ㅇㄱㄹㅎㅅㅇ | 작성시간 26.02.26 나 보톡스 맞으러 가려고..... 마유스피스 끼규 자는데 걔가 갈리니까 몇개째 해먹은검지...
  • 작성자박돈경(49세) | 작성시간 26.02.26 스플린트도 하는데 보톡스+괄사+근육이완제 먹으면 좀 ㄱㅊ아짐
  • 작성자느ㅣ개비최종학력리박스쿨 | 작성시간 26.02.26 난 노홍철 얼마전에 찍힌 사진처럼 아랫니 안쪽으로 뭐가 솟아올랐더라..... 치위생사분이 이 많이 가시냐고 하더라고ㅠㅠ
댓글 전체보기
맨위로

카페 검색

카페 검색어 입력폼