CAFE

PCA terrotory infartion + AchA territory

작성자byungin|작성시간11.09.07|조회수801 목록 댓글 0

S) 67세 고혈압 치료받던 남자.  ㅈ ㅓ ㅇ ㅁ ㅕ ㅇ ㅈ ㅣ ㄴ

2011-9-5 내원 당일부터, 어지럽다. 불균형감. 우측하지근력약화.

O) 의식명료,동공 isocoric reactive, 안구운동(N),뇌신경(N),언어기능(N), 사지감각(N),
Brachioradialis DTR(+/+). 슬반사 양측(-/-),
Head thrust test(-),
Fukuda to the Lt+,
Romberg to the Lt+,
Finger to nose: 양측 정상,
Babinski 반사(-/-),
A) Cbll tr. 침범하는 pons 병변 의심

P) 뇌 CT 병변없음.

2011-9-6 우측 하지 one leg 어렵다. 걸을 때 몸이 마음대로 조절이 안 된다. 우측의 시야가 흐려진 듯 하다.기억력도 떨어진 듯 하다. 자전거 탈 때는 괜찮다.
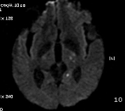
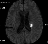
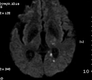
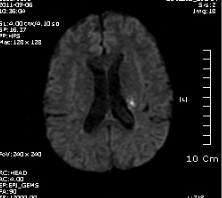
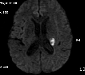
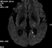
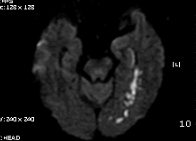
B MRI 촬영 결과는 좌측의 corona radiata, Lt temporo-occipital lobe 의 subcortical area 의 optic radiation 부위를 비롯한 여러 군데 점상 병변. N/S 정주하고 Aspirin 투여 시작, 혈압약은 지속 투여, SBP 160정도로 유지.

 

2011-9-8-   2일 경과후 우측하지 약화 뚜렷. 우측 시야 흐리다 함. 기억력도 떨어진다 함 (정확한 시야진찰과 기억검사는 미시행).

뇌부종에 의한 증상이라 판단하고, Prednisolon 60 mg 투여함. 아직 심장과 경동맥에 대한 정보는 없음

의문:  embolic 인지 ?  white matter boderzone 인지?

의문: 경구 Pd 가 뇌부종에 효과 있는지?

 

# 손 o 일 교수님 의견

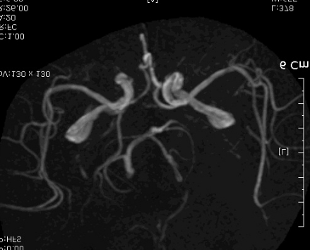
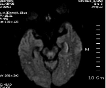
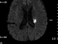
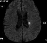
촬영 결과는 좌측의 corona radiata, Lt temporal lobe는 anterior choroidal artery 영역입니다. 

사진에는  left PCA distal 이후가 보이지 않습니다. (맞나요..?)
일단 pca 영역에 A to a or cardioembolism 생각할 수 있습니다. 
그러나 corona radiata가 잘 설명이 안되지요
Anterior choroidal과 posterior choroidal artery의 영역을 공유하는 경우가 있는 것 같습니다. anterior choroidal 막히면 poster choroidal artery 가 대신 혈액공급을 담당하는 경우가 있습 것 같습니다.

두 혈관은 서로 collateral 있습니다. 그러므로 한쪽이 hypoplasia나 chronic stenosis 있다면 PChA가  AChA 영역을 보충할 수 있는 것 같습니다. (Sohn's theory).  이환자에서 anterior choroidal artery가 서서히 막혀서 posterior choroidal artery가 대신 그 역활을 하고 있는데  left PCA 영역에  A to A가 생겼다면 가능......

아니면 이 환자가 두가지 병변으로 나누어 동시다발적으로 생겼을 가능성... 


 한병인: Stroke 4ed p174 에, PCA영역의 infarction은 MCA영역의 그것과 달리 subcortical compartment를 많이 침범한다고 함.

따라서 borderzone 은 아니고, PCA 영역의 artery to artery embolic stroke 일 가능성이 높다고 생각함.  

 

좌측사진은 PCA 영역. 우측사진은  AchA 영역의 post. periventricular corona radiata (Stroke 4ed p199, Fig 9-3 과 동일)

 

 

 

 

 

2011-9-9

환자가 발병 4일만에 점차 우측 하지 근력이 G4-  로 저하되고, 글을 읽는 기능도 떨어졌습니다. 상지의 근력은 정상이네요. 아스피린200mg,  플라빅스75,  식염수 정주, 니세틸, 처방중입니다. 혈압약 복용하면서 SBP 150 정도 유지됩니다.

어제 Prednisolon 40 mg 처방하였는데, 혹시 부종완화 효과가 있을까 기대해서입니다. 

 

# 손 o 일 교수님 의견

진행하였다면 우선 DWI follow up  중요합니다. 아마도 corona radiata 영역이 진행한 것 같지만요..

perforator가 막힌 경우 아직 특별한 약이 없습니다. 황o하선생 연구 따르면 rt-PA도 효과가 없다는 결과가 있습니다. 일단 환자에게 안심시키고 하는 것이 최선입니다. 5일이 지나도 진행한다면  Large artery disease 가능성이 많으므로 응급실로 보내 주세요..

 

2011-9-10 근력이 G4-  로 지속, 더 이상 나빠지지는 않음. 우측 상지의 움직임이 주과적으로 둔해졌다고 하나 객관적 근력은 정상입니다. Diffusion만 촬영하였습니다.

 

# 손 o 일 교수님 의견

DWI coronal or saggital view 보면 분명하겠지만 이 사진으로 보니 PCA territory infarction으로 모두 설명되는 것 같습니다. PCA 영역에 hypoperfusion으로 병변이 크지는 것 같습니다. 5-7일 지나야 안정기에 들어갈 것 같습니다.

 

 

9/14 점심때 회진시 걸을 정도로 하지근력 회복함. 9/15 경대병원 외래 예약

 

 

 

 

 

 

 

 

 

 

 

 

 

다음검색
현재 게시글 추가 기능 열기

댓글

댓글 리스트
맨위로

카페 검색

카페 검색어 입력폼