CAFE

Rt M1 stenosis with good ACA collateral

작성자byungin|작성시간13.02.16|조회수490 목록 댓글 0

 

ㅅ ㅈ ㅊ  남자 55년생. 발병당시 53세
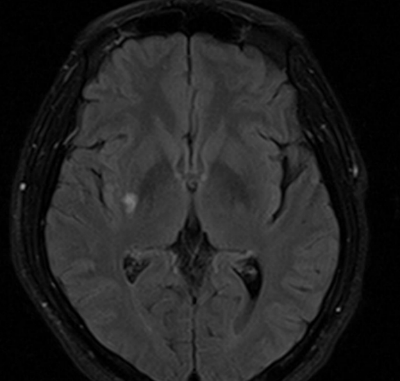
2010-10-04 본원 초진으로 내원시, 2주전부터 발병한 좌측 상하지의 힘이 없는 느낌과, 타자칠때 좌측손이 둔한 느낌으로 오심.
O) 진찰에서 상지 G5/G5, 하지 G5/G5, 좌측 손의 disdiadochokinesia 약간 있고, terminal dysmetria 약하게 있음.
PHx)고혈압(-)당뇨병(-),흡연(-)
=>lacune 의심 (Clumsy hand syndrome)
==> Rt M1 stenosis
TCD에서 우측의 MCA PV비가  좌측의 40%
RACA를 통한 측부순환 발달해 있음.
양측 경동맥에 죽상반이나 협착 없고, IMT가 1.2 mm 이하로 모두 정상.
==> 3년이 지난 현재 증상은 지속되지만, 악화는 없으며, TCD검사에서 MCA의 협착이 진행하지 않고 고정되어 있음
P) 약물치료: Triflusal, cilostazole, statin
향후 예상되는 경과는?
(1) ACA의 혈류가 더 증가하여 재발의 위험이 줄어들것인가?
(2) MCA협착이 증가하여 더 위험해 질 것인가?
(3) 현재 처방이 적절한가?
(4) SPECT 등의 검사로 혈류보상을 확인하던가, 추가 검사가 필요할지?

 

-- 답: Prof. Hwang YH

1번 case]
right M1 stenosis w/ perforator infarct case로 생각되고, lacunae으로 분류하기 보다는 large artery 또는 branch artery disease로 분류하는 것이 좋을 것 같습니다. 그리고 2010년과 비교해서 최근 시행한 TCD 검사에서 진행이 예상되지 않는다면 dual ATs 보다는 single AT(disgren OR cilostazol)로 사용하셔도 무방할 걸로 생각되고 statin은 꾸준하게 유지하면 좋을 것 같습니다. monitoring은 TCD로 하시면 될 것 같고 만약 SPECT 검사를 고려하신다면 TCD상 MCA flow compromise가 좀 더 명확해지면 해 보는게 어떨까 합니다. 현재 사용하는 항혈전제는 MCA stenosis의 진행을 막는데 촛점을 둘 것이고, 실험적이긴하지만 statin 사용이 collateral을 유지시키는데 도움을 줄수 있다고 합니다.

2번 case]
이 환자분은 제가 f/u 중인데… 이전 CTA에서는 혈류가 없는것 처럼 보이는데… 원장님이 f/u 하신 study에서 distal MCA flow가 관찰된다면 stenosis degree에 변화가 생긴걸 수 도 있을 것 같습니다. 현재 처방은 plavix single로 사용 중입니다. 제가 MR angio를 f/u study로 처방을 냈는데, 결과가 나오면 나중에 확인해 보겠습니다 (호전 유무를)

 

 

 

 

 

 

 

 

 

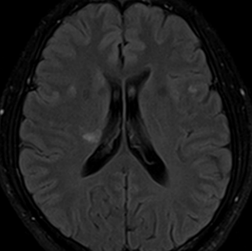
ㅂ ㄱ  ㅅ ㄴ     병변 발견당시 49세. 55년생.여자
상병명: 중대뇌동맥 증후군 (G460)
---우연히 발견된 뇌동맥협착 (RIGHT M1) -
S) 2009-3월23일 어지럼증으로 대구 굿모닝병원에서 진찰받고 MRI, CT를 찍어보니 우측 뇌혈관이 막혀있다고 하였습니다. 과거력상 위험인자가 없습니다

O) MRI 에서 우측 BG에 쐐기모양의 old infarction 병변 보임. CTA에서 Rt M1 보다 원위부 혈관이 보이지 않음
진찰상 이상이 없으며, 본원 경두개 도플러 검사에서 Severe stenosis at the right proximal M1 로 나타났으며, Rt MCA의 혈류가 감소하여 있었으나, 유지되어 있고,
동측의 Common carotid A 압박시에 혈류감소가 없기 때문에 good collateral through AcomA 으로 생각됩니다.

경과) 아스트릭스를 복용하실 때는 속쓰림 없었는데, 본원에서 디스그렌을 복용하기 시작한 후부터 속쓰림 시작되어, 프리그렐로 바꾸어 복용하다가 감마지티피가 높아서 다시 디스그렌 처방.

2012년경 좌상지 clumsy 발병하여 경대병원 응급실에서 치료받은 후, 경대병원서 지금까지 F/U 중.
P) 현재의 의학수준으로 M1 stenosis에 대한 혈관성형술을 어려울 것으로 생각되고, 환자의 collateral 상태가 양호하므로, 약물요법이 좋을 것으로 생각됨.

 

다음검색
현재 게시글 추가 기능 열기

댓글

댓글 리스트
맨위로

카페 검색

카페 검색어 입력폼