CAFE

노령견 (심장, 신장)

노령견 강아지의 심장병과 폐수종

작성자더샵|작성시간11.07.18|조회수2,344 목록 댓글 0

 오늘은 강아지의 이야기를 해볼까 합니다.

 

강아지는 이제 10 살이 넘은 중성화된 공주님 이지요..

 

오늘 아침까지는 아픈 곳 업이 참 잘 지내다가

 

오늘 오후에 들어서 갑자기 잘 움직이지 않는다고 하셔서 내원하셨어요

 

본원에 처음 내원하셨을 때는 아이가 많이 거친 숨 소리를 쉬고 있었고

 

숨쉬는 것이 힘들어서 그런지 입을 벌리고 개구 호흡을 하고 있었습니다.

 

일단 먼서 나이 상으로 가장 의심되는 것이 심장 질환이기 때문에

 

심음 청진과 함께 흉부 방사선 검사를 실시 하게 되었습니다.

 

먼저 심장의 청진음은 아주 심한 MurMur가 들리고 있었습니다.

 

MurMur란 심장안에서 혈류가 일정한 방향으로 흘러야 하는데

 

그렇지 못하고 뒤로 역류를 하거나 할때 생기는 특징적인 심장의 잡음 입니다.

 

이러한 심청진 으로 심장의 이상을 의심하며, 흉부 방사선을 촬영 하였는데

 

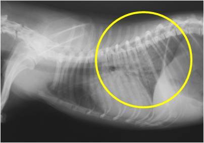
폐 뒤 쪽으로 심하게 폐 수종이 관찰이 되었습니다.  

 

 

조금 확대를 하여서 보변 심한 폐수종을 확인 하실 수 있습니다 (노란색 원)

 

      

 

폐란 원래 공기로 차 있기 때문에 방사선 검사상에서 검게 보여야 하는데

 

폐의 앞쪽( 노란색 원이 없는 곳 )과 뒤쪽( 노란색 원)을 비교해보면

 

검은 부위와 하얀 부위가 구별되는 것을 보실 수 있을실 겁니다.

 

이런 검은 부위는 정상적인 기능을 하고 있는 폐이고

 

하얀 부위는 폐 안에 부종 또는 염증 떄문에 정상적인 기능을 하지 못하고 있는 상태라고 보시면 됩니다.

 

일단 심장의 청진과 흉부 방사선 검사를 통하여 심장의 이상과 폐 수종을 잠정 진단하게 되었고

 

다른 곳의 이상점이 없는지 혈액검사를 실시하게 되었습니다.

 

 

혈액검사상에서는 약간의 영양 불량 상태와 신장수치 증가 담낭수치 증가

그리고 전해질 불균형이 관찰되었습니다.

 

이상의 검사 결과들로 추론을 해 봤을시 강아지의 경우

 

원발적으로 심장병 때문에 순환계 통에 문제가 발생하여 혈관의 역류가 발생하고

 

이로 한해 폐 혈관의 울혈이 발생하여 폐 수종으로 진행으로 하고

 

폐 수종으로 인한 호흡 곤란 때문에 활력이 많이 저하 되지 않았나 싶습니다.

 

일단 원내에서 호흡 곤란을 일으키고 있었으므로 산소 처치를 하게 되었어요

 

아래 사진에서 처럼 중환자 입원실에 입원을 하여 산소 발생기를 통해 집중적인 산소처치를 받았습니다.

 

 

치료실 안에서 얌전하게 앉아 있어서 다행이었습니다.

 

24 시간 동안 집중적인 산소 처치를 받게 된 후 호흡이 많이 좋아져서

 

다음날 흉부 방사선 사진을 다시 촬영 하게 되었습니다.

 

 

어제의 사진과 달리 하얗게 변해 있던 폐의 부분이 많이 검게 변한 것을 확인 할 수 있었습니다.

 

그쪽으로 생겼던 폐 부종이 많이 사라졌다는 뜻이지요..

 

강아지의 경우 이제 급한 위기는 넘기게 되었습니다.

 

이제 정기적인 심장 검진을 받으면서 자라는 일만 남았네요..

 

아지야~~   그럼 조심조심.. 잘 지내 보아요... *^^*


더 샵 동 물 병 원

02- 416 - 7512

서울 송파구 신천동 17 - 6 영빌딩 103호

주말 공휴일 정상 진료

야간 응급 전화 & 진료 가능

다음검색
현재 게시글 추가 기능 열기

댓글

댓글 리스트
맨위로

카페 검색

카페 검색어 입력폼