CAFE

수술 - 일반외과

시츄 럭쭈리의 골절 자연 치유

작성자더샵|작성시간11.07.26|조회수300 목록 댓글 0

오늘은 럭쭈리의 이야기를 해볼까 합니다.

 

럭쭈리는 8개월이 되어가는 아주 예쁜 시츄 공주님 이예요..

 

저희 병원에서 접종도 다 하시고 항체도 높게 나왔었죠.

 

둥실 둥실한게 매력적인 아이죠..  ^^

 

오늘은 럭쭈리가 잠시 동안 집을 탈출 했었는데

 

1시간이 지나고 나서 찾게 되었는데 뒷 다리를 잘 쓰지 못한다고 하셔서 내원하셨어요.

 

내원 하셨을 당시 다리를 잘 쓰지 못하고 움직이지 못하였어요.

 

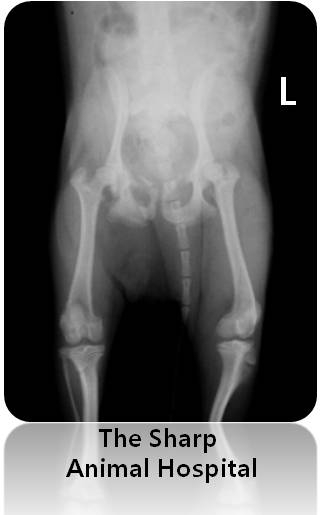
일단 걸음걸이가 이상하였기 때문에 뒷다리쪽과 골반쪽 엑스레이를 촬영하기로 하였습니다.

 

 

다리 쪽에서는 큰 문제가 보이지 않았어요.

 

그런데 정작 문제는 골반골에 있었습니다.

 

 

골반골에 골절이 있었어요..

 

조금 확대 해서 보면 뿌러지 뼈 조각들이 나뉘어져 있는 것을 확인 하실 수 있습니다. ( 노란색 화살표 )

 

 

일단 부러진 골반골의 부위가 중요한 부위가 아니고 걸음걸이 치명적인 곳이 아니기 때문에

 

수술적 방법을 사용하지 않고 일반 깁스를 통하여 유지 하여 보기로 하였습니다.

 

워낙 활동적인 럭쭈리라..  잘 유지가 될지는 걱정이 되었지요..

 

일반적으로 골반골에 문제가 있을경우 1~2 개월 동안은 운동제한을 시키는 것이 일반 적입니다.

 

일반 깁스를 하고 2주후 다시 엑스레이 촬영을 하게 되었습니다.

 

물런 그 동안 럭쭈리가 가만히 있지 않았다고 하시더라고요...  ^^;;

 

붕대를 다 풀어 헤치고...  ㅠ.ㅜ

 

 

그래도 다행스럽게 뼈는 유합이 되어 가고 있는 중이었습니다.

 

 

너무 나도 활발하고 개구장이인 성격탓에 약간의 골절이 있었지만..

 

그래도 씩씩하게 다니면서 부러지 뼈를 잘 붙게 하였네요...  *^^*

 

쭈리야..  그래도 다음부터는 너무 무리하면 않된다.... 알았지???

 

그럼 다음 심장 사상충 예방때 만나요~~~ 


더 샵 동 물 병 원

02 - 416 - 7512

서울 송파구 신천동 17 - 6 영빌딩 103호

주말 공휴일 정상진료

야간 응급 전화 진료 가능

다음검색
현재 게시글 추가 기능 열기

댓글

댓글 리스트
맨위로

카페 검색

카페 검색어 입력폼