CAFE

★미분류 Q&A

초음파만으로도 임파선전이여부를 알 수가 있나요?

작성자우승훈 교수|작성시간12.07.09|조회수596 목록 댓글 0

우승훈 입니다.

 

걱정이 많으시겠습니다.

 

 

갑상선 암의 임파선 전이에 대해 초음파를 통해 명확하게 알수는 없습니다.

 

다만 초음파 소견상 임파선 주위에 혈관이 비정상적으로 발달했다던가 아니면 석회화 소견이 있으면 의심할 수 있습니다.

 

그러나 이 두가지가 있다고 해서 전부 갑상선 암의 임파선 전이도 아닙니다.

 

역시 암의 확인은 조직검사를 통한 병리검사가 확진입니다.   

 

따라서 경험이 풍부한 의사 선생님을 만나 이런 부분에 대해 상의 해야 합니다.

 

유방암과 임파선암이 갑상선암과 관련이 있다는 근거는 없습니다. 따라서 걱정하지 마시고요.

 

 

쓰신 글중에 갑상선 항진증과 저하증이 동시에 있었다는 내용이 있는데 그렇다면 하시모토 갑상선 염이 있었는지 확인하시길 바랍니다.

 

 

하시모토 질환이 있었으면 여러모로 갑상선에 안좋은 영향을 미칩니다.

 

 

 

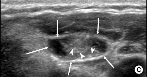
아래에 두 가지 소견이 임파선의 전이 소견입니다.

 

 

 

 

 

위 초음파 사진은 임파선에 갑상선 유두암이 전이된 것으로 둥그런 임파선(화살표) 안에 석회화 소견(작은 화살표) 을 보이고 있습니다.  

 

 

 

 

 

위 초음파 사진은 임파선 주위에 혈류 도플러 검사를 한 모습인데 임파선 주위로 혈관들이 비정상적으로 많이 발달해 있습니다.  

 

 

위 사진들은

대한갑상선 학회지 2012.07 갑상선분화암의 수술 후 감시: 초음파 관점 연세대학교 의과대학 영상의학과 방사선의학연구소 곽진영 선생님께서 쓰신 글에서 발취하였습니다.

 

  

감사합니다.

다음검색
현재 게시글 추가 기능 열기

댓글

댓글 리스트
맨위로

카페 검색

카페 검색어 입력폼