CAFE

◈ 간질환에 대해서

혈관육종

작성자클로버 ♣|작성시간22.01.01|조회수1,105 목록 댓글 0

혈관육종

성균관대학교 의과대학 삼성서울병원 영상의학과 / 이 원 재

 

서 론

간에서 생기는 혈관 기원의 종양으로 양성 종양인 혈관종(hemangioma)과 악성 종양인 혈관육종 (angiosarcoma)과 그 중간 정도의 악성의 성질을 가지는 상피양혈관내피종(epithelioid hemangioendothelioma) 등이 있다. 그 중 혈관종이 낭종을 제외하고는 가장 흔한 종양인 반면 상피양혈관내피종이나 혈관육종은 모두 매우 드문 종양이다. 이런 점에서 영상검사에서 간에 혈관성 종양이 보이면 혈관종으로 진단하기 쉽다. 그러나 혈관종과 혈관육종 간에 예후의 차이를 고려하면 정확한 진단이 필수적이다. 혈관종의 영상 소견은 잘 규명되어 있으나 혈관육종의 영상 소견은 매우 드물기 때문에 충분히 규명되어 있지 않다. 그러나 혈관육종의 영상 소견을 잘 이해하고 있으면 양자 간에 감별이 가능하기도 하다. 이에 저자는 수술로 확진된 1예의 간에 생긴 혈관육종의 영상 소견을 기술하고, 혈관종과의 감별에 도움이 되는 소견들에 대해 토 의하고자 한다.

 

사 례

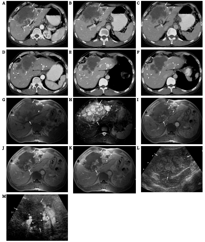
67세 남자가 상복부 동통 및 압통을 주소로 외부 병원에서 초음파검사를 받고 간종양이 발견되어 본원으로 전원되었다. 본원에 입원할 당시의 이학적 소견에서 특이 사항은 없었고, 검사 소견에서 간질환과 관련된 검사 소견을 포함해서 특이 사항은 없었다. 입원 후 전산화단층촬영(CT), 자기공명영상(MRI), 조영증강 초음파검사 등의 영상검사를 시행하였다. CT는 삼중시기 나선식 CT를 시행하였는데 동맥기(그림 1A, 1D)에 13 cm의 경계가 불분명한 주 종괴가 간의 제4 구역과 제8 구역을 점유하고 있었으며 종괴의 주변부에 불규칙한 모양의 조영증강이 관찰되었는데 주위 혈관과 같은 정도의 강한 조영증강을 보이거나 그보다 약하게 조영증강이 되어 보였다. 이 종괴는 문맥기(그림 1B, 1E) 및 평형 기(그림 1C, 1F)로 가면서 종괴 주변부의 조영증강 이 종괴 내부 방향으로 불규칙하게 진행되는 소견을 보였다. 종괴 내부로 진행되는 조영증강의 정도도 주위 혈관과 비슷하거나 약하게 관찰되었다. 간의 다른 부위에도 혈관종과 비슷한 조영증강 양상의 다양한 조영증강 양상을 보이는 네 개의 작은 종괴가 관찰되었다(그림 1A~1F).

MRI에서 주 종괴는 T1강조영상(그림 1G)에서 불균질한 저신호강도를 보였고, T2강조영상(그림 1H)에서 불균질한 고신호강도를 보였다. 특히 T2 강조영상에서 격막처럼 생기거나 둥근 모양으로 다양한 형태의 저신호강도가 고신호강도의 사이에 관찰되었다. 조영증강 T1강조영상의 동맥기(그림 1I), 문맥기(그림 1J), 평형기(그림 1K)에서 CT와 비슷한 조영증강 양상을 보였다. 간의 다른 부위의 종괴들도 T1강조영상에서 저신호강도로, T2강조 영상에서 고신호강도로 보였고 CT와 비슷한 조영 증강 양상을 보였다.

조영증강 초음파검사를 시행하였는데 조영증강 전(그림 1L)에는 내부가 불균질하지만 약간 고에코로 보이던 종괴가 조영증강 후 동맥기(그림 1M) 에 종괴의 주변부가 CT나 MRI의 동맥기와 비슷하게 강한 고에코로 조영증강되는 부분들이 있었다. 문맥기와 평형기로 가면서 고에코로 조영증강되는 부분들이 종괴 내로 차들어오는 양상을 보였다.

환자는 간좌엽절제술을 시행받았으며, 육안 소견에서 경계가 불분명한 분홍색 종괴로 출혈 및 괴사가 종괴의 많은 부분을 차지하고 있었다. 종괴는 문맥을 침범하였고 주위 간에 위성결정도 관찰 되었다. 조직병리 소견에서 혈관육종으로 확진되었다.

고 찰

혈관육종은 간에서 생긴 원발성 육종 중에서 가장 흔한 것으로 알려져 있다. 호발 연령은 60~70 세이며, 남녀 비는 4대1 정도로 남자에서 많이 발생한다. 특히 혈관육종이 관심을 끄는 이유는 환경이나 직업과 관련된 발암물질인 thorothrast, 염화비닐(vinyl chloride), 비소화합물(arsenic compounds)과 연관이 되어있기 때문이다. 또 혈색 소침착증(hemochromatosis)이나 von Recklinghausen병과도 연관이 있는 것으로 알려져 있다.1,2,5 일반적으로 혈관육종 환자는 복통, 쇠약, 피로, 식욕부진, 체중감소 등의 비특이적인 증상을 호소한다. 또 흔한 징후로 간종대, 복수, 황달 등이 있다. 그러나 빈혈이나 혈소판저하증과 같은 혈액 장애와 관련된 이상 소견을 보이기도 하는데, 그 이유를 혈관육종 내의 비정상적인 구조의 종양혈관에서 적혈구나 혈소판 등이 손상을 받기 때문으 로 설명한다. 또 이런 국소적인 혈액 장애가 파종 혈관내 응고(disseminated intravascular coagulation)로 발전하기도 한다. 대부분의 환자가 진단 당시에 전이 병변을 가지고 있고, 폐전이가 가장 흔한 것으로 알려져 있으나 비장전이도 폐전이 이상으로 흔하다는 보고도 있다. 이에 대해서는 환경적 발암물질과 관련되어 동시에 발생할 수 있을 것으로 추측해 볼 수 있다.

혈관육종의 영상 소견은 비특이적일 뿐만 아니라 흔히 혈관종과의 감별이 어려운 것으로 알려져 있다. 그러나 혈관육종의 임상양상 및 영상 소견을 잘 알고 있으면 감별이 가능한 경우가 많다. 혈관 육종은 대부분이 다발성이며 증상을 동반하는 경우가 많은 데 비해 혈관종은 주로 단발성이며 보통 증상이 없다. 다발성인 경우에 주 종괴가 있는 경우와 없는 경우로 구분할 수 있고, 그 외에도 단발성인 경우와 미만성인 경우가 있다. 이번 사례는 주 종괴가 있는 다발성 종괴의 형태로 가장 대표적인 형태라고 할 수 있다. 혈관육종의 조영증강 양상이 혈관종과 다른 점을 조직병리 소견과 연관해서 이해하는 것이 중요한데, 혈관육종은 혈관종에 비해 조영증강의 정도가 주위 혈관보다 덜 강하고 모양이 불규칙적이며 조영증강이 병변의 주변부에서만 시작되지는 않는다. 예를 들면 병변의 중간부에서 조영증강이 시작될 수도 있고, 병변 전체에 균질하게 조영증강될 수도 있으며, 고리 모양으로 병변의 주변부에서 조영증강이 시작될 수도 있다. 혈관육종은 방추상 세포로 구성된 혈관통로(vascular channel)들로 구성되어 있는데 이 혈관통로들이 혈관종과 같이 늘어난 해면 공간(cavernous space)의 형태에서 좁은 틈새를 가지는 혈관통로 들로 엉켜 있는 형태까지 매우 다양하다. 전술한 바와 같이 혈관육종의 조영증강 부위는 주위 혈관 보다 덜 강하다고 알려져 있으나 이번 사례에서는 주위 혈관만큼 강하게 조영증강이 되는 부위를 보이기도 한다. 이런 소견을 보이는 이유가 정확하게 규명되어 있지는 않지만 해면 공간 형태의 혈관통로를 많이 포함하고 있는 부위는 혈관종과 같이 주위 혈관과 같은 정도의 강한 조영증강을 보이게 되고, 좁은 틈새의 혈관통로들로 구성되어 있는 부분들은 주위 혈관보다 약한 조영증강을 보일 것으로 추정할 수 있다. 또 조영증강 부위가 불규칙한 모양을 보이거나 다양한 모양을 보이게 되는 이유도 한 종괴 내에도 다양한 형태의 혈관통로를 가질 수 있기 때문으로 설명한다. 이번 사례에서도 관찰되지만 혈관육종은 문맥기나 평형기로 가면서 종괴 내에 지연조영증강(delayed enhancement)의 소견을 볼 수 있다. 지연조영증강은 혈관종과 같은 해면 공간이나 섬유화가 풍부한 조직에 시간이 지날 수록 조영제가 차 들어오면서 조영증강이 되는 경우를 말한다. 이 때 해면 공간에 조영제가 차 들어 오는 경우는 주위 혈관과 같은 정도의 조영증강을 보이고, 섬유화 조직은 그보다 약하게 조영증강이 된다. 그러나 혈관육종의 지연조영증강은 그 정도가 주위 혈관보다 약하더라도 다양한 형태의 혈관 통로에 조영제가 차 들어오면서 보일 수 있는 소견 으로 설명한다. 그 외에도 종괴 내에 출혈, 괴사, 섬유화 등의 조직 변화가 있어 그에 합당한 CT 소 견을 보이게 된다. 즉 출혈 부위는 조영증강 전 CT에서 고음영으로 보이고, 괴사와 섬유화는 조영 증강 후 CT에서 저음영으로 보이나 괴사는 지연 조영증강이 없고 섬유화는 있다. 또 혈관육종은 혈관성 종양이기 때문에 종괴 내에 출혈이 있거나 종괴 밖으로 파열이 되는 경우를 흔히 볼 수 있으며, 이런 이유로 조직검사할 때는 출혈의 가능성이 높기 때문에 주의를 요한다. 또 작은 종괴가 다발성으로 존재하는 경우에는 조영증강이 되지 않는 경우도 있다. 이번 사례도 다양한 강도와 양상의 조영증강 소견을 여러 종괴에서 보여주고 있어 비교적 전형적인 혈관육종의 조영증강 양상을 보여주는 사례라고 할 수 있다.

혈관육종의 특징을 MRI 소견에서도 관찰할 수 있는데 T1강조영상에서 고신호강도를 보이는 부분이 있으면 출혈을 시사한다. T2강조영상에서 고신호강도 구역들이 격막 모양이나 둥근 모양의 저신호강도 구역들에 의해 구분되는데 고신호강도 구역은 혈관통로, 출혈, 괴사 등이 있는 부위이고, 저신호강도 구역은 헤모시데린, 섬유화, 최근의 출혈 등이 있는 부위이다. 가돌리늄을 이용한 조영 증강 소견은 CT와 비슷하다. 우리 사례도 이런 소견들을 모두 보여주고 있어 비교적 전형적인 혈관 육종의 MRI 소견이라고 할 수 있다.

조영증강 초음파 소견에 대한 보고는 없지만 이번 사례의 소견은 종괴 주변부가 동맥기에 강한 조영증강을 보이고 평형기로 가면서 조영증강이 종괴 내로 차 들어오는 소견을 보여 이런 소견만으로는 혈관종과의 감별이 어려웠다.

위에서 기술한 혈관육종의 조영증강 양상은 혈관종과의 차이점을 위주로 기술하였다. 그 외에도 혈관육종은 간세포암종, 과혈관성 전이, 과혈관성 담도암종, 과혈관성 상피양혈관내피종 등의 과혈 관성 종양과의 감별진단이 필요하나 임상양상에서 감별이 되는 경우가 많다. 조영증강이 없는 혈관 육종의 경우는 비특이적 소견이기 때문에 감별진단이 필요한 간종양이 많지만 대표적으로 저혈관성 전이, 담도암종, 상피양혈관내피종 등을 감별해야 하겠다.

이번 사례는 CT와 MRI에서 비교적 전형적인 혈관육종의 영상 소견을 보여주는 사례로, 특히 혈관육종의 다양한 조영증강 양상을 보여주고 있는데, 그 조직병리 소견과의 관계를 설명함으로써 혈관육종의 영상 소견을 이해하는데 도움이 되게 하였다. 

 

요 약

67세 남자 환자에서 비교적 전형적인 혈관육종의 CT와 MRI 소견을 보이고 조영증강 초음파 소견을 최초로 기술한 사례로 간절제술로 확진하였다. 혈관육종은 매우 드물고 특이적 영상 소견이 없기 때문에 진단이 어렵지만 임상양상과 영상 소견을 잘 이해하고 있으면 진단 및 감별진단에 도움이 된다. 저자는 본 사례를 이용하여 혈관육종의 영상 소견을 조직병리 소견과 연관지어 설명하고자 하였다.

 

대한간학회지 / 제 15권 1호 2009

 

 

 

간의 원발성 혈관육종

아주대학교 의과대학 병리학교실 / 석재연 외1

 

서 론

간에 발생하는 원발성 혈관육종(angiosardoma)은 드문 종양이나 간에서 빌생하는 육종 중에서는 가장 흔한 종양으로 원발성 간종양의 1.8%에 해당하며 해마다 전세계적으로 200예 이상 보고되고 있다. 이 종양은 혈관내피세포에서 기원한 드문 악셩종양으로 발생 원인은 thorotasr, polyvinil chloride나 비소 화합물 등 공장에서 배출되는 중금속에 의한 노출 등 환경적인 요인이 알려져 있으나 원인을 모르는 경우도 많다. 50세에서 60세에 해당하는 남성에서 호발하는 이유도 환경적인 요인과 관련이 많다고 생각되지만 젊은 사람에서도 발생할 수 있다. 임상적으로 간질환을 의심할 만한 소견은 없으며, 영상 소견상 혈관이 풍부한 양상을 보이나 괴사와 출혈의 정도에 따라 다영한 소견을 보일 수 있다. 육안적으로 경계가 불분명한 다수의 고형성 종괴로 성장 양식과 출혈의 동반 양상에 따라 다양한 모습을 보이지만 심한 섬유화는 관찰되지 않는다. 치료는 다발성으로 발생하는 경우 간이식밖에 없지만 이식 후 재발이 빈번하고 생존기간이 짧아 제한적이다. 이번 호에서는 간에 다발성으로 광범위하게 발생하여 간이식을 시행한 혈관육종을 문헌과 함께 토의하고자 한다.

 

사 례

32세 여자가 3개월간의 전신부종, 10 kg의 체중 증가, 간헐적 상복부 동통 및 현기증을 주소로 종합병원에 내원하여 복부 전산화단층촬영에서 간의 6구역에 장경 5 cm의 종양이 발견되었다. 간조직검사 결과 혈관육종으로 진단받고 수술적 치료를 위해 본원으로 전원되었다. 과거력상 환자는 알코올, 농약이나 중금속에 노출된 적은 없었으며, 특별한 약물을 복용한 적도 없었고, 특별한 질병을 앓은 적도 없었다. 내원 당시 혈액검사에서 백혈구 7,400 /mL, 혈색소 132 gm/dL, 적혈구용적율 39.1%, 적혈구침강속도 26 mm/hr로 증가되어 읶었으며, 알라님 아미노전이효소 28 U/L, 아스파라진산 아미노전이효소 40 U/L, B형간염 표면항원 및 C형간염바이러스 항체 음성, 알파태아단백 2.9 ng/mL, 암종배아항원 0.7 ng/mL로 정상 소견을 보였으나 총 빌리루빈은 3,1 gm/dL, 직접형 빌리루빈 1.7 gm/dL로 증가되어 있었다. 본원에서 시행한 복부 전산화단층촬영에서는 가 양엽에 걸쳐 다양한 크기의 종양이 다수 관찰되어 두 명의 공여자로부터 간을 제공받아 간이식을 시행하였다.

육안소견: 외견상 간 전엽에 걸쳐 미만성으로 존재하는 장경 5 cm에서 5 mm까지 다양한 크기의 불규칙한 모양을 보이는 다수의 적갈생 종양들이 관찰되었으며(그림 1), 절단면상 크기가 작은 종양은 침윤성의 불분명한 경계와 연분홍색의 충실성 구조를 보이며 국소적으로 출혈 소견을 동반한 낭성 구조를 보였으나 심한 섬유화는 관찰되지 않았다(그림 2). 주위 간은 적갈색의 충혈과 출혈 소견을 동반하였지만 만성 간염에 의한 섬유화나 간경변 소견은 관찰되지 않았다(그림 2).

현미경 소견: 종양은 경계가 불분명하고 주위 간조직으로 공범위하게 침윤하고 있었으며, 종양 주위 간조직에 동모양혈관(sinusoid)의 확장을 보이는 자색병변(peliosis hepatitis)과 유사한 소견이 관찰되었다(그림 3). 종양세포는 동모양혈관, 중심정맥, 간문맥의 가지(branch of portal vein) 등을 따라 침윤하면서 주위 간조직의 위축을 동반하였다(그림 4).

또 종양세포는 성장하면서 간문맥 분지를 폐쇄하는 소견을 보였으며(그림 5), 이로 인해 동모양혈관의 확장 및 출혈과 괴사를 초래하였다(그림 6). 종양세포들은 상피모양(epithelioid)과 방추모양(spindle shape)으로 구셩되어 있었는데, 구셩세포의 종류에 따라 다른 크기와 양상을 가지는 혈관을 형성하였으며 이에 따라 육안 및 조직소견이 다르게 나타났다. 상피모양의 종양세포는 주로 폴립 또는 유두모양(papillary pattem)의 다양한 형태로 혈관내강을 따라 존재하였으며, 과염기성의 핵, 다형성, 유사분열상 등의비정형을 보였다(그림 7). 방추모양의 종양세포가 치밀하게 존재하는 부위는 섬유육종과 유사한 양상을 보이며 작고 불규칙한 내강을 가지는  혈관의 형성이 현저하였으며, 다수의 적혈구가 혈관 밖의 간질로 유출된 양상을 보이고(그림 8), 구성 종양세포는 경계가 불명확하고 약한 호염기성의 세포질을 가지며 다수의 유사분열상을 보였다(그림 9). 혈관내강을 형성하거나 형성하지 않은 부위의 방추형 종양세포들은 CD34에 대한 면역조직화학염색 시 강한 양성 반응을 보여 혈관내피세포에서 기원한 종양임을 확인할 수 있었다(그림 10).

고 찰

혈관육종은 다양한 장기에서 발생하는 드문 종양으로 간은 혈관육종이 두 번째로 흔히 발생하는 장기이다. 연령은 주로 50~60세에서 발생하지만 젊은 연령층에서도 발생하며(24~93세), 남녀 발생 비율은 3:1로 남성에서 많이 발생하는데 이는 발암물질에의 노출 빈도와 관련이 있는 것으로 생각된다. 원인은 thorotrast, vinyl chloride, arsenic compound, copper, pesticides 등의 유해환경에의 노출과 관련이 있다고 알려져 있으며, anabolic steroid, cyclophosphamide, phenelzine, estrogenic compound, radium, von Recklinghausen병, 강경변 등 특정 약물이나 질병과도 관련이 있다고 보고되고 있다. 병인 기전은 vinyl chloride에 노출된경우에 발생한 종양에서는 p53 돌연변익 보고되어 있으며, 종양세포가 VEGF 등을 과량 생산 분비하여 종양세포의 증식을 유도한다고 보고한 논문도 있다. 하지만 산발발생 예를 포하만 대부분의 경우 불분명한 경우가 많은데, 본 사례에서도 환자의 병력상 의심할만한 원인을 찾지 못하였으며 병인 기전도 확인하지 못하였다.

임상 소견은 다양하며 본 사례와 같이 황달, 상복부 통증, 체중감소, 피로감, 발열 등이 동반되며, 빈혈, 파종성 혈관내응고증과 관련된 증상이 알려져 있다. 이학적 검사상 약 70%의 환자에서 복수가 관찰되며, 그 외에도 간비대, 급성 복강 내 출혈, 식도정맥류 등이 관찰되기도 한다. 혈액검사 소견은 환자의 2/3에서 백혈구 증가, 빈혈, 혈소판 감소, 혈청 알카이인산분해효소치의 증가등이 관찰되지만혈관육종에 특이적인 소견은 없고 모든 종양표지자는 음성 소견을 보인다. 영상 소견은 출혈과 괴사의 정도에 따라 다양하게 보일 수 있으나 다른 혈관성 종양과 감별하기는 힘들며, 조직검사로 확진이 확진이 가능하지만 복강 내 출혈 때문에 경피침생검(percutaneous needle biopsy)은 대단히 위험하다고 알려져 있다.

병리 소견상 종양의 성장 양식에 따라 육안 소견을 크게 4가지로 나눌 수 있는데 다수의  결절을 보이는 경우, 큰 한 개의 종양으로 보이는 경우, 본 사례와 같이 큰 한 개의 종양과 다수의 결절이 섞여 있는  경우, 마지막으로 미만성으로 미세 결절 양상을 보이는 경우가 있으며, 모든 경우 예후는 극히 나쁘다고 보고되어 있다. 본 사례는 간 전체에 걸쳐 종양이 존재하며세 번째 유형과 네 번째 유형이 섞여 있는 양상과 유사하다. 종양세포의 조직학적 양상에 따라 큰 혈관을 많이 형성하는 경우는 육안적으로 출혈을 동반한 망상 구조나 낭성 구조를 형성할 수도 있지만 조직학적으로 열공과 유사한(slit-like) 혈관 내강을 보이는 작은 혈관의 증식이 많은 경우는 회백색의 충실성 구조를 보일 수 있다. 종양세포는 기존의 동모양혈관, 중심정맥, 간문맥 분지를 따라 성장하면서 주위 간조직의 위축을 동반하고, 혈관의 폐쇄로 인해 혈관의 확장과 자색변병을 형성하여액상 또는 응고된 출혈과 괴사를 포함한다. 조직학적으로 종양세포는 모두 혈관내피세포에서 기원하며 방추형의 세포와 크고 둥근 핵을 가지는  두 종류의 세포로 구성되어 있다. 방추형의 종양세포가 주로 침윤한 부분은 섬유육종(fibrosarcoma)과 같이 치밀하게 분포하고 다발 양상을 보이며, 혈관의 크기가 작으므로 육안적으로는 회백색의 충실성 구조를 보일 수 있고 특히 조직이 작은 생검에서는 다른 종류의 육종과 감별하기 힘든 경우가 있다. 둥글거나 불규칙하며 크고 과염기성의 핵을 갖는 세포는 주로 다양한 크기의 형테와 혈관내강을 피복하는 양상을 보이는 경우가 많고, 다형성 또는 심한 비정형을 보일 수도 있으며 거대 세포가 관찰되기도 한다. 이러한 종양세포는 면역조직화학염색 소견상 혈관내피세포에 양성 반응을 보이는 CD34, CD31, Ulex europaeus, von Willebrand factor 항체에 양성 반응을 보여 감별진단 시 도움이 되며, 본 사례에서도 CD31과 CD34에 양성 반응을 보였다.

병리학젹으로 감별해야 할 질환은 혈관 기원의 종양들인데 해면상 혈관종(carvenous hemangioma), 상피모양 혈관내피종(epithelioid hemangioendothelioma), 카포시육종(Kaposi's sarcoma) 등이 있고 그 외 다른 종류의 육종(sarcoma) 등이 있다. 해면상 혈관종에서는 혈관의 내강을 이형성을 동반하지 않은 혈관내피세포가 한 개의 층으로 덮고 있으며 동반된 섬유조직에서도 양성의 섬유모세포만 관찰된다. 상피모양 혈과내피종은 상피모양의 둥근 혈관내피세포와 성긴 간질조직을 가지는 가지돌기세망세포(dendrite cell)로 구성되어 있으며 낭성 또는 망상구조를 형성하지 않아 주위 간조직의 파과가 현저하지 않으며 부위에 따라 다양한 정도의 섬유화와 석회화를 동반한다는 점이 혈관육종과 다른 점이다. 카포시육종은 혈관육종의 방추형의 종양세포로구셩된 부위와 유사하나 대부분 후천성 면역결핍증을 가진 환자에서 발생하며, 종양이 간문부에 국한되는 경우가 많고 적혈구가 혈관 주위 간질에서 다수 관찰된느 점이 혈관육종과 다르다. 본 사례에서는 방추형의 종양세포가 다발을 형성하고, 그 사이의 간질 내에 적혈구가 다수 관찰되어 카포시육종과 유사한 점은 있었지만 그 외는 혈관육종에 합당하여 카포시모양 혈관육종(Kaposiform angiosarcoma)에 합당하다고 생각하였다. 이 종양은 주로 젊은 층에서 많이 관찰된다고 알려져 있지만 원인은 역시 밝혀져 있지 않다. 섬유육종 또는 평할근육종(leiomyosarcoma) 역시 방추형의 종양세포로 구성된 부위는 혈관육종과 다수의 혈관이 관찰되지 않고 CD34 또는 CD31을 이용한 면역조직화학염색에서 음성을 보이므로 감별이 가능하다. 

간에 발생한 혈관육종이 가장 흔히 전이하는 장기는 폐이며 비장, 골 및 림프절에도 빈번히 전이한다. 예후는 대단히 불량하여 치료하지 않을 경우 진단 이후 간부전이나 복강 내 출혈로 평균 6개월 이내에 대부분 사망하며, 단지 3%에서 3년 이상 생존하였다고 보고되어 있다. 화학요법 또는 방사선치료에서는 큰 효과를 기대하기 힘들다고 보고되어 있으며, 국소적인 경우 수술로 절제하는 경우가 가장 좋은 치료법이지만, 많은 경우 진단 당시 이미 치료가 불가능한 경우가 많고, 이런 경우 간이식이 유일한 치료법이지만 재발율이 높아 28개월 이상 생존한 경우는 보고된 바 없다. 

본 사례에서도 진단 당시 종양이 간 전반에 걸쳐 미만성으로 분포하고 있어 부분간절제술 등의 수술이 불가능하였으며, 간이식을 시행하였으나 간이식 후 5개월 만에 재발하였으며 종양의 진행이 빨라 진단 후 10개월 만에 사망하였다.

 

대한간학회지 / 제 15권 2호 2009
간의 원발성 혈관육종

http://repository.ajou.ac.kr › bitstream

 

A case of primary hepatic epithelioid hemangioendothelioma ...

https://www.researchgate.net › publication › 40786024_A.

자연파열을 동반한 간의 원발 상피모양혈관내피종 1예

다음검색
현재 게시글 추가 기능 열기

댓글

댓글 리스트
맨위로

카페 검색

카페 검색어 입력폼