CAFE

◈ 간질환에 대해서

신생아기에 진단된 선천성 간내 문맥 전신성 단락의 임상적 고찰과 치료

작성자클로버 ♣|작성시간22.10.18|조회수119 목록 댓글 0

신생아기에 진단된 선천성 간내 문맥 전신성 단락의 임상적 고찰과 치료
관동대학교 의과대학 제일병원 소아청소년과, 영상의학과*/ 김지영 외5

 

서론
문맥 전신성 단락(portosystemic venous shunt)은 문맥과 전신 정맥계간에 비정상적인 연결이 이루어진 질환을 말하며 연결되는 전신 정맥계에 따라 간내 단락(intrahepatic shunt)과 간외 단락(extrahepatic shunt)으로 분류된다. 이 중 간내 문맥 전신성 단락(intrahepatic portosystemic venous shunt )은 문맥과 간정맥, 하대정맥 또는 잔존된 정맥관 사이의 연결을 의미하며, 그 원인은 알려져 있지 않으나 선천적인 태생기 난황정맥계의 발달 과정에서의 잔존물일 가능성이 가장 크며, 그 외에 후천적인 원인으로 문맥 고혈압에 의한 간내측부 순환으로서 발생한다고 생각된다.
선천성 단락은 매우 희귀한 질환으로 30,000명의 출생아 중  1명에서 발병이 되는데, 신생아의 경우에서는 흔히 선천성 간내 문맥 전신성 단락을 볼 수 있으며 이는 자궁내 발달 지연이나 드물게는 다운증후군, LEOPARD 증후군, 신경모세포종 등과 같은 염색체 질환과도 관련이 있는 것으로 생각된다. 그러나, 대부분의 선천성 간내 문맥 전신성 단락은 증상이 없어 우연히 시행된 영상 검사를 통해서 발견되고, 산전 스크리닝을 위한 기준도 확립되어 있지 않은 상태이다. 때로는 간부전 및 심부전, 간뇌증 등의 심각한 부작용을 일으킬 수 있어 진단과 치료에 신중을 기해야 하는 질환이다. 그러나 발생 빈도가 많지 않아 국내 및 국외에서의 임상적인 연구 보고와 고찰이 적으며, 재태 상태 또는 신생아기에 단락의 진단을 위한 국내의 표준화된 방법이 제시되고 있지 않은 실정이다. 이에 본 연구에서는 선천성 간내 문맥 전신성 단락이 산전 초음파 또는 신생아기에 복부 초음파로 확인된 8예의 주산기 내력, 임상 양상, 진단, 치료 및 예후에 대해 알아보고자 하였다.


대상 및 방법
2006년 1월부터 2010년 12월까지 관동대학교 의과대학 제일병원에서 출생한 36,572명의 환아 중 산전 초음파로 간내 문맥 전신성 단락이 진단되거나 간내 혈관의 구조 이상이 발견되어 출생 후 복부 초음파로 진단된 신생아 5예(간내 문맥 전신성 단락 의심 신생아 3예, 간내 혈관의 구조 이상 신생아 2예)와, 신생아 중환자실에 입원하여 치료 받던 중 직접빌리루빈혈증으로로 복부 초음파를 시행해 간내 문맥 전신성 단락으로 진단된 신생아 2예, 산전 초음파로 단락을 진단하였으나 출생 후 시행한 복부 초음파에서 단락을 확인하지 못한 1예를 대상으로 하였다. 산전초음파에서는 배꼽정맥(umbilical vein)의 간내부분에서 비정상적인 정맥이 존재하는 경우, color Doppler를 통해 정맥의 흐름만을 확인함으로써 진단하였으며, 산후초음파에서는 간내에서의 문맥과 간정맥간의 단락의 존재를 확인하고 color Doppler로 실제적인 혈류를 확인하여 진단하였다. 추가적인 영상 검사는 시행하지 않았다.
대상 환아에 대하여 의무 기록 정보를 후향적으로 분석하여 주산기 내력, 환아의 임상적 특징, 진단, 치료 및 합병증에 대하여 조사하였다. 주산기 내력은 성별, 재태 주수, 출생체중, 분만 형태, 아프가 점수 및 동반질환에 대하여 조사하였으며, 측정된 검사 자료 중 선천성 간내 문맥 전신성 단락과 관련된 serum glutamic oxaloacetic transaminase (SGOT), serum glutamic pyruvate transaminase (SGPT), 직접/간접 빌리루빈, 암모니아, 갈락토오스를 정리하였다. 그 외 산전 및 산후의 초음파 결과로 질환의 발생 여부, Park 등2)의 분류에 따른 형태 및 소실 여부를 확인하였으며, 시행된 치료 내용에 대해서도 알아보았다.


결과
1. 주산기 내력 및 임상적 특징
선천성 간내 문맥 전신성 단락은 해당 기간의 출생아 총 36,572명 중 8명에서 발생하였으며, 남아가 3명, 여아가 5명이었다. 총 8예 중 6예는 산전 검사에서 확인되었으며, 2예는 출생 후 발생한 직접 빌리루빈혈증으로 복부 초음파 검사를 시행하여 진단되었다. 재태 연령은 27주에서 39주로 3예의 경우 미숙아였으며, 출생 체중은 650 g에서 3,035 g으로 미숙아인 3예를 포함하여 총 5예에서 자궁 내 성장지연을 보였다. 아프가 점수는 출생 1분에 평균 6.5±2.2점, 5분에 평균 8.0±1.9점이었고 분만방식은 자궁 내 성장지연을 나타낸 5예를 포함하여 6예는 제왕절개로, 나머지 2예는 질식으로 분만하였다(Table 1)

2. 진단, 치료 및 경과
환아 1은 38주 5일, 1,985 g으로 출생한 만삭아로 자궁 내 성장지연과 신생아 호흡 곤란 증후군으로 치료 받던 중, 생후 26일 직접 빌리루빈이 5.2 mg/dL로 상승하고 SGOT/SGPT가 149/96 IU/L로 증가하여 시행한 복부 초음파에서 간 좌엽에서 좌측 간정맥과 좌측 문맥의 가지 사이의 선천성 간내 문맥 전신성 단락으로 진단되었다. 단락 소실은 생후 6개월에 확인되었다.
환아 2는 27주 6일, 650 g으로 출생한 미숙아로 산전 초음파에서 심비대, 심막 삼출을 보였으며 생후 지속적으로 직접 빌리루빈이 상승하는 양상을 보였다. 생후 35일째에는 직접 빌리루빈 측정값이 5.6 mg/dL로 상승하여 복부 초음파를 시행하여 간 좌엽의 중간 간정맥과 좌측 문맥 사이 단락으로 진단되었으며, 생후 4개월에 직접 빌리루빈이 0.5 mg/dL로 감소하면서 복부 초음파에서 단락 소실이 확인되었다. 환아 1과 환아 2는 산전 초음파를 시행하지 않았거나 또는 시행 결과 선천성 간내 문맥 전신성 단락으로 의심되는 소견을 보이지 않고, 출생 후 발생한 직접 빌리루빈의 상승으로 복부 초음파를 시행하고 ursodeoxycholic acid (UDCA)로 치료하였다.
환아 3은 38주 3일에 3,035 g으로 출생한 만삭아로 산전 초음파 검사에서 우측 제대정맥 잔존, 간 동맥 비대 등의 소견을 보여, 생후 2일 째 시행한 복부 초음파에서 간 좌엽의 중간 간정 맥과 좌측 문맥 사이의 단락이 진단되었으며, 생후 11개월에 소실되었다.
환아 4는 39주 3일, 2,750 g으로 출생한 만삭아로 산전 초음파에서 문맥 전신성 단락이 의심되어 생후 1일 째 복부 초음파를 시행하여 간 좌엽에서 좌측 간정맥과 좌측 문맥 사이의 단락이 진단되었고, 생후 16일째 혈중 암모니아 160 μg/dL을 보여 코일 색전술(coil embolization)을 시행하였으며 단락 소실을 확인하였다. 이 때 의식 소실 등 합병증은 없었다.
환아 5는 39주 1일에 2,500 g으로 출생하여 자궁 내 성장지연을 보였으며, 산전 초음파 검사에서 우측 간엽에서 비정상적인 관상 구조가 관찰되어, 생후 8일째 시행한 복부 초음파에서 간 좌엽의 좌측 간정맥과 좌측 문맥 사이 및 중간 간정맥과 좌측 문맥 사이의 단락이 진단되었고 생후 2개월에 소실을 확인하였다(Fig. 1). SGOT/SGPT, 빌리루빈의 상승은 없었다.
환아 6은 30주, 1,040 g으로 출생한 미숙아로 자궁 내 성장지연을 보였으며, 산전 초음파 검사에서 단락 소견을 보였고 생후 2일째 시행한 복부 초음파에서 간 좌엽의 중간 간정맥과 좌측 문맥 사이의 단락이 진단되었다. 신생아 호흡 곤란 증후군과 동맥관 개존증으로 치료를 받았으며, 직접 빌리루빈혈증이나, 암모니아의 증가는 없었고 생후 2개월에 초음파를 통해 단락의 소실을 확인하였다.
환아 7은 35주 3일, 1,385 g으로 출생한 미숙아로 자궁 내 성장지연으로 신생아 중환자실에서 치료 중 점차 직접 빌리루빈혈증과 간 효소 수치가 상승하는 양상을 보여 UDCA 치료를 시행하였다. 단락은 산전 초음파에서 진단되었으며, 생후 3일째 시행한 복부 초음파에서 간 좌엽에서 좌측 간정맥과 좌측 문맥 사이의 2개의 단락 및 중간 간정맥과 좌측 문맥 사이의 단락 2개가 관찰되었고, 생후 2개월에 소실을 확인하였다.
환아 8은 38주 3일, 3,080 g의 만삭아로 출생하였으며, 산전 초음파에서 배꼽정맥의 간내 부분에서 단락으로 의심되는 소견을 보였으나, 출생 후 3일째 시행한 복부 초음파에서는 단락의 존재를 확인하지 못하였다.
환아 3–8은 산전의 초음파 검사에서 선천성 간내 문맥 전신성 단락의 소견을 보이거나 또는 이와 관련된 소견을 나타낸 6예로, 출생 후 10일 이내에 단락의 확인을 위해 복부 초음파 검사를 시행하였다.

선천성 간내 문맥 전신성 단락의 합병증으로 직접 빌리루빈혈증 3예, 고암모니아혈증 1예가 있었다. 직접 빌리루빈혈증을 보인 3예를 포함하여 6예는 생후 2개월에서 11개월에 단락이 자연 소실되었으며, 고암모니아혈증을 보인 1예는 코일 색전술을 시행하였다. Table 2와 Table 3에 각 환아의 생화학적 검사 결과, 초음파 소견 및 치료, 경과를 정리하였다.

고찰
문맥 전신성 단락은 비교적 드문 질환으로 알려져 있고, 145,000명의 신생아를 대상으로 연구한 결과에 따르면 5명에서 생화학적 또는 영상학적인 방법으로 선천성 문맥 전신성 단락을 발견하였다. 근래에는 초음파와 전산화 단층 촬영, 자기공명 혈관영상 촬영을 이용한 진단 기법의 발달로 질환의 발병률이 증가하고 있는 추세이다. 문맥 전신성 단락은 크게 간외 단락과 간내 단락으로 크게 구분되며, 또한 각각은 두 가지로 분류된다. 첫째, 간외 단락은 직접 문맥의 기시점이나 줄기(trunk)와 하대정맥 또는 그 분지가 연결되는 것으로 크게 문맥과 대정맥이 연결되거나 또는 문맥이 존재하지 않으면서 문맥의 기시점인 비장정맥(splenic vein)이나 상부 장간막정맥(superior mesenteric vein)과 대정맥이 연결되는 문맥대정맥 단락과 문맥이 존재하지 않으면서 비장정맥이나 상부 장간막정맥이 하대정맥 외의 전신성 정맥과 연결되는 경우로 나뉘어진다. 둘째, 간내 단락은 문맥과 하대정맥 또는 잔존된 정맥관을 포함한 간정맥이 연결된 것으로, 1990년 15예에 대하여 Park 등은 네 가지 형태로 분류하였다. (1) 우측문맥과 하대정맥 사이가 하나의 큰 혈관으로 연결된 형태, (2) 간의 한 분절 안에서 말초문맥과 간정맥의 말초분지 사이가 하나 또는 여러 개의 연결을 나타내는 형태, (3) 말초문맥과 간정맥 사이에 동맥류(aneurysm)로 연결된 형태, (4) 양 간엽(lobe) 전체에서 말초문맥과 간정맥에 다수의 연결을 나타내는 형태의 네 가지로, 첫 번째와 두 번째가 가장 흔한 형태로 알려져 있다. 본 연구의 산후 초음파에서 진단된 7예는 모두 선천성 간내 문맥 전신성 단락으로 나타났으며, 6예에서 (2)의 형태를, 1예에서 (4)의 형태로 분류되었다. 환아 8의 경우에는 산전 초음파상 (2)의 형태로 확인되었다.
선천성 간내 문맥 전신성 단락의 원인은 알려져 있지는 않지만, 태생기 난황정맥계(vitelline vein system)의 발달 과정에서의 잔존물일 가능성이 가장 크다. 난황정맥계는 원시장관으로부터 정맥혈류를 공급받는데 재태 4주에서 10주 사이에 문맥계가 형성된다. 이 때 난황 정맥계의 발생학적인 오류에 의해 난황정맥의 퇴화가 이루어지지 않아 문맥과 하대정맥 또는 간정맥의 연결이 다양한 형태로 유지되는 것으로 보인다. 일부 연구에서는 단락의 발생을 유전적인 요인에서 찾고 있다. 다운 증후군, LEOPARD 증후군과 같은 염색체 질환이나 선천성 심장환환, 다비장 증후군(polysplenia syndrome)과의 연관성을 말하거나, 선천성 단락의 결과로서 간혈관종과의 관련성을연구하기도 하였다.
이 질환은 임상적으로 대부분 증상이 없으나, 대사질환(metabolic disease)과 비슷한 증상을 보여 구분되어야 하며, 이런 점에서 성장기의 유소아에서는 초기 진단이 더욱 중요한 의미를 갖는다. 대부분의 증상은 문맥 혈류의 일부가 간을 우회하게 되어 혈중 대사산물이 간에서 제거되지 못하여 나타나며, 대표적으로 갈락토오스 혈증, 암모니아 혈증, 혈중 담즙산과 혈당의 증가 등이 있다. 단락에 의한 갈락토오스 혈증은 신생아에서 갈락토오스 대사 효소 부족에 의해 발생하는 대사 질환에서와 같이 지속될 경우 백내장을 발생시켜 빠른 진단과 더불어 락토오스 제외 식이가 필요하다. 고암모니아 혈증은 단락의 정도가 심할 경우 나타나는 증상으로 알려져 있으며, 증상이 오래될 경우 평균 3.5세에서 뇌증으로 나타나게 된다. 백내장이나 뇌증과 같은 합병증이 발생하기 이전에 단락이 소실될 경우 고갈락토오스 혈증이나 고암모니아 혈증은 회복되므로, 원인 없이 신생아 시기에 일시적으로 나타난 후 저절로 개선되는 경우에는 선천성 문맥 전신성 단락의 소실을 의심해볼 수 있다. 본 연구에서는 8예 모두에서 고갈락토오스 혈증은 나타나지 않았으며, 혈중 암모니아는 5예에서 측정하여 4예에서는 정상치를 나타내었으나, 환아 4의 경우 생후 16일 측정한 암모니아가 160µg/dL을 보여 단락에 의한 합병증으로 의심하였고 코일 색전술을 시행하여 단락의 소실을 확인하였다.
선천성 간내 문맥 전신성 단락의 합병증은 담즙 정체(cholestasis), 간종양(liver tumor), 간폐 증후군(hepatopulmonary syndrome), 폐 고혈압(pulmonary hypertension), 문맥전신성 뇌증(portosystemic encephalopathy) 등이 있다. 담즙정체는 신생아 간의 관류기능 감소가 원인으로 보이지만, 좋은 예후를 나타내므로 다른 합병증 없이 단독으로 존재하는 담즙 정체의 경우에는 수술적 방법에 의한 조기 단락 제거는 필요하지않았다. 간종양은 평균 8세에서 발생하나, 생후 3개월에도 발생하는 것으로 알려져 있다. 선종(adenoma)과 국소 결절성 과증식(focal nodular hyperplasia)이 대부분이고 악성 종양은 주로 간외 단락의 경우 주로 발생하며, 양성 종양은 단락이 소실된 이후 수 년 내에 완전 또는 부분 관해를 보인다. 간폐증후군은 평균 6세에 발생하지만, 2세부터도 발생 가능한 것으로 알려져 있다. 이에 의해 나타나는 저산소증의 완전 관해는 단락 소실 후에 관찰된다. 폐동맥 고혈압은 평균 7.5세에서, 최소 연령은 생후 3개월에 발생한다. 문맥전신성 뇌증은 평균 6세, 최소 연령 생후 3개월에 발생하며, 혈중 암모니아 수치의 상승을 동반한다. 또한, 뇌 자기공명영상의 T1 강조 영상(T1-weighted image) 결과에서는 담창구(globus pallidus)의 고강도 신호가 관찰된다. 본 연구에서는 3예에서 혈중 직접빌리루빈 수치가 증가하여 UDCA로 치료하였으며, 합병증 없이 단락은 생후 2–4개월에 자연 소실되었다. 

단락의 자연 경과는 단락비(shunt ratio)와 환아의 나이에 따라 결정이 된다. 단락비는 도플러 초음파를 이용하여 문맥 줄기(portal trunk)에서의 혈류의 양에 대하여 간내 문맥 전신성 단락의 혈류양의 비를 계산한 것으로, 일반적인 경우 5% 이하를 보이지만, 30% 이상일 경우 간성혼수(hepatic encephalopathy)와 같은 증상이 발현된다. 대부분의 경우에는 생후 2세 이내에 단락이 대부분 자연 소실되는 것으로 알려져 있다. 그러나, 단락에 의해 나타나는 비가역적인 합병증은 생후 2–8세에 발생하여 비교적 늦은 시기에 나타나지만, 경우에 따라서는 생후 3개월인 시기에도 발생이 보고되고 있어 산전에 진단을 하는 것이 중요한 의미를 가지게 된다. 모체 내에서 단락이 존재하는 경우 태아의 간으로 관류되는 제대 혈류의 양이 감소하여 저산소 상태를 초래함으로써, 이에 대한 적응과정으로 자궁 내 성장 지연이 발생하며, 단락의 크기에 따라 성장 지연의 정도도 비례한다. 본 연구의 8예 중 5예가 자궁 내 성장지연을 보였으며, 이 중 2예는 산전에 진단이 되지 않은 상태에서 각각 생후 26일과 35일에 초음파를 시행하여 단락이 확인되었다. 나머지 3예는 산전에 초음파를 통해 의심되는 소견을 보여, 생후 2–8일에 초음파를 시행하였으며 이를 통해 진단하였다. 환아 8의 경우에는 산전 초음파에서 단락이 진단되었으나 출생 후에는 확인하지 못하였다. 산전 초음파에서는 문맥으로부터 전신순환으로의 혈류 흐름이 명확하지 않은 작은 크기의 단락이 존재하였으며, 출생 후에는 단락이 자연 소실된 것으로 예상된다.
단락은 태아의 발달 과정에서 형성되므로 산전에 적절한 검사를 이용한다면 조기에 발견할 수 있을 것으로 보인다. 즉, 산전 검사에서 염색체 이상이나 태아 감염, 태반 기능부전(placental insufficiency) 등과 같은 뚜렷한 원인이 동반되지 않은 자궁 내 성장 지연을 보이는 경우에는 반드시 선천성 문맥 전신성 단락을 의심하여 산전 초음파를 주기적으로 시행하여야 한다. 또한, 신생아 검사에서 직접빌리루빈혈증, 혈중 암모니아의 상승, 고갈락토오스혈증 등이 나타날 때에는 비록 산전 검사에서 단락이 확인되지 않은 경우라도 반드시 선천성 문맥 전신성 단락을 의심하여야 하며, 출생 후 복부초음파를 주기적으로 시행하여 단락의 존재 여부 및 변화 양상을 확인하는 것이 중요하고, 동시에 단락비 계산을 통해 합병증 발생 가능성을 예측하여야 한다. 산전 초음파 결과 단락이 의심될 경우, 산전에 태아의 상태를 지속적으로 관찰해야 하며, 생후에도 단락의 자연 소실까지 초음파 등의 영상학적 방법과 간 기능검사, 암모니아, 직접/간접 빌리루빈 등의 생화학적인 검사를 통한 주기적인 감시가 필요하다. 단락이 존재할 때, 연령에 관계없이 갈락토오스혈증, 고암모니아혈증 등과 같은 증상이 나타날 경우 또는 2세 이후에도 자연 소실이 되지 않는 경우에는 비가역적 합병증 발생을 예방하기 위해 수술적인 치료를 우선적으로 고려하여야 한다.

 

J Korean Soc Neonatol • 2011;18

 

 

 

선천성 간내 문맥정맥단락
이웅희∙김영통∙조성식∙신형철

 

선천성 간내 문맥정맥단락은 간문맥과 간정맥 혹은 대정맥 사이에 이상연결을 보이는 질환으로 난황정맥(vitelline vein)과 제대정맥(umbilical vein)의 비정상적인 발생과정에 의해 생기며 주로 신생아에서 보고되고 있으며 드물게는 성인에서도 보고된다.
선천성 간내 문맥정맥단락의 일부는 2년 이내 자연 소실되며, 단락의 양이 60% 이상이면 간성뇌병증을 유발한 가능성이 높아 수술이나 코일 색전술을 시행한다.

선천성 간내 문맥정맥단락은 드물지만 최근 영상기법들이 발달하고 검사가 늘어나면서 그 보고는 늘어나는 추세이다.

저자들은 신생아와 성인의 선천성 간내 문맥정맥단락 5예를 보고하고자 한다.


증례 보고
5명의 환자 중 4명은 신생아시기에 진단되었고 1명은 57세에 진단되었다. 신생아 4명(증례1-4) 모두 생후 10일 이내에 시행한 복부초음파로 진단되었다. 신생아의 4명 모두 황달증상이 있었고, 2명에서 패혈증의 증세가 있었고, 혈액검사는 황달과 패혈증에 해당하는 검사만을 시행하였고 암모니아와 갈락토즈에 대한 검사는 시행하지 않았다. 2예에서 동맥관개존증이 동반되었다(Table 1).

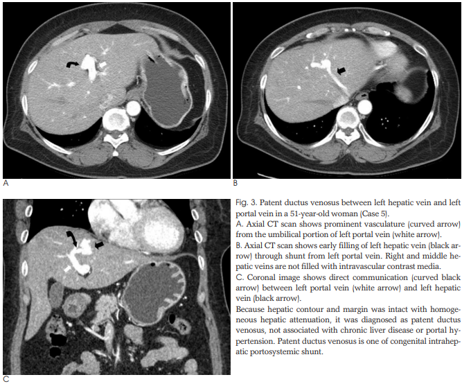
57세 여자 환자(증례 5)는 상복부 동통을 주소로 내원하였고 위내시경에서 위 폴립이 있었다. 시행한 CT에서 담석이 있었고, 좌정맥과 좌문맥 사이의 직접적인 이상단락을 보였는데 CT에서 간경화의 소견이 없고 혈액검사에서 간이상의 소견이 없어 간 이상을 동반하지 않은 정맥관잔존(patent ductus venosus)으로 진단하였다.
신생아의 4명은 초음파와 CT를 시행하였으며 성인 환자는 CT만 시행하였다. 5명 모두 좌간엽에 단락을 보였다. 신생아의 4명은 좌간엽의 원위부에 간내 문맥정맥단락이 있었고 이중 3명은 중정맥과 좌문맥(Fig. 1), 1명은 좌정맥과 좌문맥사이에 단락이 있었다. 이들 중 1명은 좌간엽에 다발성의 단락이 보였다(Fig. 2). 증례 5의 성인 환자는 좌문맥과 좌정맥이 직접 연결되는 정맥관이 남아있는 형태의 간내 문맥정맥단락을 보였다(Fig. 3).
단락이 있는 간정맥은 5명 중 3명은 중정맥, 2명은 좌정맥이었다. 간문맥은 모두 좌문맥의 제대부분(umbilical portion)과 연결이 있었다. 신생아의 2명에서만 추적검사를 시행하였는데 증례 1의 환아는 3개월 후 초음파에서 단락이 소실되었고 증례 2의 환아는 6개월 후에 시행한 CT에서 간내 문맥정맥 단락이 자연 소실되었다(Fig. 1E) (Table 2). 이 두 환아는 초기에 황달과 패혈증으로 입원하여 치료받고 치유가 되어 퇴원을 했으며 추적검사를 시행할 당시에는 특별한 문제는 없었다.

고 찰
문맥정맥단락은 간내와 간외로 나뉠 수 있고 간내 문맥정맥 단락은 선천성 혹은 후천성으로 생길 수 있으며 후천성은 간경화 혹은 문맥고혈압에 의해 생길 수 있다. 선천성 간내 문맥정맥단락은 발생과정에서 난황-제대정맥총(vitelloumbilical venous plexus)의 비정상적인 합류에 의해 만들어진다.
선천성 간내 문맥정맥단락의 빈도가 드물다고 하지만 최근 영상기술이 발달하면서 그 보고들이 증가하고 있다.
Park 등은 만성간질환이 있는 59세의 남자에서 생긴 간내 문맥정맥단락을 보고하면서 이전에 발표된 간내 문맥정맥 단락의 증례들을 재검토하여 간내 문맥정맥단락을 4가지 형태로 분류하였는데 1형은 우문맥과 하대정맥사이에 하나의 큰 단락, 2형은 간 분절에서 문맥과 간정맥의 원위부 분지 사이에 하나 혹은 다발성 단락, 3형은 원위부 간문맥과 간정맥 사이에 누형성, 4형은 간 전체에 원위부 간문맥과 간정맥간의 다발성 단락을 보인다. 이 중 1형이 가장 흔하다고 한다. 저자들의 증례 1, 2, 3은 2형에 해당되며 증례 4는 4형에 해당되며 증례 5는 정맥관 잔존으로 Gallego 등은 정맥관 잔존을 제5형으로 분류하였다. 하지만, 선천성 간내 문맥정맥단락으로 보고하고 있는 증례들을 보면 우리 논문과 같이 2형과 정맥관 잔존이 많다. 이러한 결과는 위의 분류가 선천성뿐 아니라 간질환에 의해 발생할 수 있는 후천성을 모두 포함하여 분류한 것이기 때문에 다소 빈도에 차이가 있는 것으로 생각된다.
정맥관은 태아순환의 일종으로 생후 바로 닫히기 시작하여 15-20일경에 완전히 닫힌다. 좌문맥과 좌정맥 혹은 하대정맥 사이의 태아순환으로 간혹 성인에서 보고되고 있다.
대부분의 선천성 간내 문맥정맥단락은 신생아에서 보고되고 있지만 40세 여자환자에서 정맥관 잔존을, 59세 여자환자에서 우정맥과 우간정맥사이의 루를 보고하고 있다.
선천성 간내 문맥정맥단락의 진단은 초음파로 쉽게 가능하다. 초음파에서 문맥과 정맥사이에 비정상적인 낭성 혹은 관상음영이 보이고 도플러 초음파에서 관상음영이 혈관임을 확인 할 수 있다. 도플러초음파와 iodine-123 iodoamphetamine을 이용한 동위원소검사로 단락의 양을 측정할 수 있다고 한다. CT에서 문맥과 정맥 사이의 기형적인 혈관연결을 볼 수 있다. 선천성 간내 문맥정맥단락을 가진 환자는 대부분이 증상이 없으나, 과암모네미아, 갈락토세미아, 그리고 간성뇌병증을 나타낼 수 있다. 신생아에서 황달과 폐혈증은 흔한 임상증세이므로 우리 논문의 환아들이 간내 문맥정맥단락이 황달이나 패혈증과의 직접적인 연관성을 알 수 없다. 그리고 과암모네미아와 갈락토세미아에 대한 혈액검사를 시행하지 않았기 때문에 연관성을 알 수 없다. 성인 환자와 자연 소실된 2예의 신생아는 간성뇌병증을 동반하지 않았다.
선천성 간내 문맥정맥단락이 선천성 심장결손과 관련이 있거나 간의 비정상적인 분엽, 간모세포암, 그리고 간외 담도 폐쇄와 같은 간담도 이상과 연관이 있을 수 있다고 한다. 그리고 51명의 환자 중 12명에서 진단당시 간성뇌병증이 있었다고 하였다. 간성뇌병증은 환자의 나이와 단락의 양에 따라 좌우되는데 단락의 양이 60% 이상이거나 환자의 나이가 많을수록 간성뇌병증의 가능성이 증가한다고 한다.
선천성 간내 문맥정맥단락의 장기간 추적을 보면 15%에서 생후 2년 이내에 소실되었다고 한다. 본 연구의 2예에서만 추적검사를 시행하였지만 2예에서 6개월 이내에 단락이 자연 소실되었다.
결론적으로 선천성 간내 문맥정맥단락은 문맥과 간정맥 사이의 비정상적인 연결을 보이는 혈관기형으로 신생아에서 주로 보이지만 성인에서도 보일 수 있다. 다발성으로 보이기도 하고 추적검사에서 자연 소실되기도 한다.

 

대한영상의학회지 2008;59:405-409

 

 

간경화를 동반하지 않은 환자에서 낭성종괴 형태로 나타난 간내 문맥정맥단락: 증례 보고

대한초음파의학회지 2009;28(2)

 

자발성 간내 문맥정맥 단락에 의한 반복적 간성 뇌증 1례

J Korean Geriatr Soc 2007:11(2):101-104

 

신생아기에 발현된 선천성 간내 문맥전신성 단락을 제대정맥을 통한 Coil색전술로 치료한 11례

대한신생아학회지 :제 6권 제 1호 1999

다음검색
현재 게시글 추가 기능 열기

댓글

댓글 리스트
맨위로

카페 검색

카페 검색어 입력폼