CAFE

꿀팁방

[건강웰빙정보 ]치아교정은 대체 어떻게하는건가?(+추가)

작성자CharlotteYork|작성시간10.08.26|조회수25,098 목록 댓글 239

요즘 고질방이나, 이런데서 치아교정에 관한 글들이 많이 올라와서 쓰게 됬어요.

 

저도 교정 중이고, 내년 3월에 교정완료임ㅋㅋㅋ

 

 

아무튼, 궁금해하시는 분들도 계시고하니까 이 글을 쓰겠음ㅋ

 

 

 

 

 

1. 치아교정비.

아마, 이 부분에 대해서 많은 분들이 궁금해하지 않으실까합니다.

왜냐면 돈이라는게 떼놓을 수 없는 부분이라는 생각으로.

 

 

 

 

왼쪽에 있는 것이 메탈이에요. 일명 사람들이 부르던 철강냉이.

이건 3백만원대인데, 잘 찾아보면 200만원대인 곳도 있음.

 

오른쪽에 있는 것은 세라믹인데, 제가 한 기준으로하자면, 4백만원 줬음.

(원래 내가 했던병원에서 450 제시했는데, 소개받고가서 내가 10%디시 해주실꺼죠? 이래서 깍아줘서 400에 해줬음,

근데 요즘 내가 다니는 병원에서 다 4백만원에 해주는듯-_-)

 

그리고 세라믹이 장치가 잘 탈락된다고 하는데, 제 친구들은 한번씩 다 빠졌는데,

저는 한번도 빠진적이 없었음.

이것도 사람이 뭘 먹고, 어캐 관리했느냐에 따라서 다른것 같음. 

 

그리고 세라믹과 비슷하지만, 약간 누런 레진도 있는데, 레진은 메탈보단 비싸지만 세라믹보단 저렴.

 

 

 

 

+월치료비

저는 6만원 내고 한달에 2번가요.

제가 다니는 치과는 스켈링비용까지 포함되어있고, 왠만한 것에는 다 월치료비에 포함되어있음.

 

제 주변이나, 고딩친구들은 한달에 5만원 내고 1번가던지, 3주에 한번씩 가는 친구도 있음.

병원마다 다른것 같음.

 

 

또 어떤 친구는 월치료비 없이 다니는 친구도 있음.

 

 

아.. 제가 다니는 병원은 스켈링비용까지 포함되어있는데, 어떤 사람들은 스켈링비용이 포함이 되어있지않아서,

스켈링 할 때마다 비용 지불하는 사람도 많이 봤음.

 

 

+미니스크류

이것도 병원마다 가격이 다른듯,

저는 개당 10만원 주고 했는데, 고딩친구는 광주에 사는데 거기 치과는 개당 15만원 줬다했음.

 

이걸 하는 이유는 돌출입의 경우는 입을 들어가게하는 효과가,

치아발치해서 생긴 치아사이의 간격을 빨리 없애는데 효과가있음.

 

참고로, 난 작년 7월에 윗잇몸쪽에 나사를 각각 왼쪽 오른쪽 박았다가, 왼쪽 잇몸에 미니스크류에 살이 같이 빨려들어가서

출혈이 많아서 제거했는데, 확실히 스크류가 박혀있는 오른쪽이 왼쪽보다 빨리 치아가 붙었어요.

 

 

 

 

+진단비

진단비도 병원마다 다름.

보통 15만원에서 30만원 사이라고 하는데,

 

저는 병원에서 진단비 20만원이였는데, 뭐라하면서 꽁짜로 해줬음.

그러면서 내 친구도 진단비 꽁짜로 받고, 딴 병원에서 교정받음ㅋㅋㅋㅋ

 

 

 

 

 

 

2. 치아교정 전에 해야할 것들.

 

+썩은 치아 치료하기

이유는 잘 모르겠으나, 이건 어느 치과를 가나 비슷한 듯.

쫌 있다가 나의 교정치료모습이 담긴 치아사진을 보면 알겠지만,

처음 찍은 사진은 꺼멍이 투성이지만, 나중에 어금니를 보면 금으로 때워져있는 걸 볼 수 있음ㅋㅋ

 

 

그리고 여기도 중요한게, 치과마다 다 다름.

 

원래 강남역에 있는 치과에서 간단한 치료를 받는 치과가 있었는데,

거기서는 때우는건 안된다. 씌워야한다. 그것도 도자기로 씌워서 갯수로 따지고 가격매우니 백만원이 넘었음.

이걸 아는 언니한테 말했더니,

 

그 언니네 회사 근처에 있는 치과에 소개받고 갔는데,

그 건물이 무슨 공관? 이런 건물이라서 임대세가 적어서 진료비를 적게 받는 식으로 한다해서 소개받고 찾아갔음.

 

거기서는 금으로 때우자고하고, 가격도 절반가격이 들었음.

 

 

아무튼, 치과마다 다르니까 한군데만 들리지말고 여기저기 발품을 팔아야함.

 

 

 

+치아발치

어떤 병원은 사랑니 안뽑아도 된다,  어떤 병원은 아니다, 사랑니까지 뽑고 교정해야 아치형태가 이쁘게 된다,

다 발치해라. 라는 병원들이 있음.

 

 

치아발치비용같은 경우, 내 기준으로 말하겠음.

내가 다니는 병원은 교정전문이라서 어떠한 치료도 해주지 않음.

예를 들어, 이빨이 썩었으니 때우는 것과, 이빨 뽑는 것들을 안해줌.

그래서 난 보철치료와 치아뽑는건 각자 다 다른병원에서 했음.

 

 

나 같은 경우는 치아를 작은어금니 4개 + 사랑니 4개 뽑아야했는데,

내가 소개받고간 병원이 의료보험이 안되는 그.. 원래 양약수술전문인 치과라서 의료보험이 안되서

개당 10만원씩 + 맨정신으로는 못뽑겠다 싶어서 수면마취비 10만원해서 총 90만원했음.

 

 

근데 이것도 병원마다 달랐음.

내가 발치할려고 여기저기 알아봤을 때, 압구정에 있는 한 치과는 이빨 개당 3만원에서 5만원이였고,

수면마취비는 30만원이였음.

 

 

그리고 수술을 하지 않았을 경우는

내 친구들의 경우, 그냥 꽁짜로 의사가 뽑아준 곳도 있었고, 돈 만원도 받거나 3만원 받는 병원도 있었음.

 

 

 

 

 

 

3. 치과마다 기술이 다 다른가?

다 다름.

 

솔직히 치아에 붙이는 브라켓도 내 친구들이랑 똑같은걸 하나도 못봤음.

 

진짜 다 다름.

 

만든 회사가 달라서 그런지는 모르겠지만, 진짜 다 다르고,

같은 치아상태라고 하더라도, 어느 병원에서 하느냐에 따라서 하는 방식이 다름.

 

 

 

 

 

 

 

 4. 많이 아픈가요?

맨처음에 장치붙이고 나서 3시간 지나면서 아프기시작함ㅋㅋ

그 다음날 되서 밥먹으려니까 밥알도 안씹어지고, 밥알이 그냥 쌀알처럼 느껴짐

 

 

하지만, 치아가 어느정도 가지런해지면, 아픈게 없어지고,

그냥 다 씹어먹을 수 있음.

 

 

 

그렇다고 생무 씹어먹는 내 친구년이 있는데,

치위생사인 친구년 말에 따르면, 치아교정은 뼈를 녹여서 움직이는 거니까,

절대로 딱딱한거 씹어먹지 말랬음.

 

 

 

 

 

5. 꼭 밥먹고 양치 바로바로해야하나? 양치해도 대강 하면 안되는 것인가?

 

음.. 다들 기본적으로 상식으로,

치아교정을 하면 양치를 잘 한다는건 알고있음.

 

하지만 그걸 실천을 안하면 그냥 이빨 나중에 다 털리는 거임.

 

님 집들 부자이면 안딱아도됨.

 

왜냐면 썩거나 이가 썩어서 빼야하면, 씌우거나, 임플란트 박으면 되니깐.

 

 

하지만, 내 치아만한게 없다. 돈아깝다. 하시는 분들 진짜 잘 관리해야함.

 

 

어떤 사람들은 그냥 칫솔로만 대강 딱아버리는데,

칫솔로만 딱으면 안되고, 치간칫솔이나, 칫실로도 이 사이사이 빼줘야함.

 

 

마지막으론 가글린같은걸로 가글하면 이 딱는건 끝나는 거고,

 

님은 돈을 절약하는거임ㅋㅋㅋ

 

 

 

 

 

 

 

음.. 일단은 이정도면 된것 같은데,-_-a

 

자고 일어나서 추가할 것이나, 댓글에서 다들 궁금해하는걸 제가 빼먹은 내용이있다면 추가하겠음.ㅋ

 

 

 

그리고 진짜 교정하실려고하시는 분들,

 

어떤분은 20살이라고해서 늦은거 아니냐고하는데

나 지금 24살임-_-(23살 부터 시작).

내가 아까 금으로 떼우는 병원 소개받은 언니도 나랑 같은 시기에 교정했는데,

그 언니는 그 때 나이가 31살이였음ㅋㅋㅋ

 

 

그리고 남친 어캐 만나냐는 분들. 난 잘만 만났음.-_-

키쑤도하고, 뽀뽀도하고 다 했음*-_-*

ㅋㅋㅋㅋㅋㅋㅋㅋㅋㅋㅋㅋㅋㅋㅋㅋㅋㅋㅋㅋㅋㅋㅋㅋㅋㅋㅋㅋㅋㅋㅋㅋ

 

 

그리고 정말 발품 많이 파시길!!!

 

제 주변 고딩친구들도 우연인지는 모르겠지만,

다들 같은 시기에 시작했고,

대학와서 보니까 애들도 많이 시작했는데,

병원마다  든 돈이며, 다 다르니까 진짜 귀찮다고 한군대만 알아보고

헐.. 나 병원 개구려 이러지 마시길...

 

 

솔직히 저런분들은 병원욕할게 못되는게,

님이 선택한거임-_-

 

 

 

진짜 진짜 할 사람이 여기저기 돌아다니면서 정보 얻어야지,

자신한테 최적의 병원을 얻을 수 있습니다.

 

 

그리고 대부분의 병원들이 그 병원 소개받아서 가면 10%디씨받을 수 있으니까,

병원측에다가 물어보셈ㅋㅋ

 

 

나 XX에게 소개받았음. XX이 내 친구인데 10% 디시 해줄건가용? 등등ㅋㅋ

 

 

 

참고로,  교정장치 뺀후에 유지장치라는 걸 하는데,

이것도 병원마다 꽁짜로 해주는 곳도 있고, 돈받는 곳도 있음.

 

 

내가 다니는 병원은 20만원인데,

금니때우러 다닌 병원은 의사가 꼬셨음.

자기네는 유지장치비가 다 포함되어서 돈 안내도 된다고-_-

나 소개시켜준 언니는 꽁짜로 다 하기로했다며-_-

 

 

 

아무튼, 다 다르니까 여기저기 많이 많이 알아보세요

 

그리고 인터넷도 조심해야하는게,

병원관계자들이 환자인척 연기하면서 댓글달아놓는것도 봤음ㅋㅋㅋㅋ -_ㅠ

 

 

 

혐오일수도 있지만ㅋㅋ 보기 싫은 사람은 나가도 좋음ㅋ

 

 

 

 

 

 

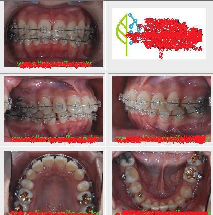
이건 사랑니뽑기로 했던 병원에서 소개시켜줘서 갔을 때가 저 날짜였음.

우리집도 풍족한 집안이 아닌지라 바로 시작할 수 없음 + 교정하면 맛난걸 많이 못먹으니까 하기전에 뒈지게 먹고 하자 그런 맘에 진료는 2008년도에 진단받고, 시작하기는 2009년 5월에 시작함.

 

 

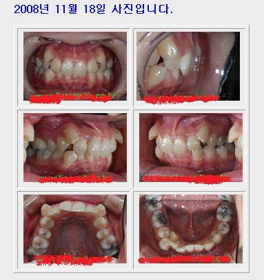
내가 저런식이였다니.. 덧니보면서 충격먹었음.

그래도 좀 입술이 붙어있는 사진은 저런게 아니였는데,

거울을 본 내 모습은 저런 모습이 아니였는데..

 

거죽 없앤 사진은 그냥 처참함..ㅜㅜ

 

 

 

 

 

 

 

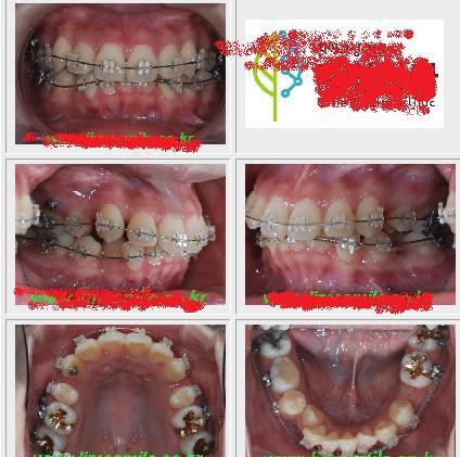
요건 2009년 9월에 찍은 사진임.

5개월만에 덧니랑 이런건 다 배열이 되었고,

내 경우는 윗니를 먼저 배열했음.

그래서 윗니는 치아발치한 공간이 메꿔지지는 않았지만, 가지런해졌음ㅋㅋ

아랫니는 본격적으로 돌입전임ㅋㅋ

 

그리고 금으로 떼운 모습임ㅋㅋㅋㅋ

그리고 작은 송곳니 썩은건 그냥 병원에서 금메꿔주면서

이정도는 자기네가 해줄수 있다면서 치아색으로 꽁짜로 해줌ㅋ

 

 

 

 

 

이건 올해 2010년 3월에 찍은 사진임ㅋㅋ

 

사진으로 봤을 때 윗쪽보면, 오른쪽치아사이가 덜 메꿔지고 왼쪽은 다 메꿔졌는데,

미니스크류박은쪽과 안박은 쪽 차이에요. 확실히 빨리 메꿔지더라구요.

 

5월에 되면서 다 메꿔짐ㅋㅋㅋ

 

 

아래쪽도 왼쪽 송곳니 들어간걸 끄님어내면서 일단은 가지런하게 만들었어요.

이젠 아랫쪽만 다 메꿔지면 되는 상황임ㅋ

 

 

 

 

 

이 사진도 내 친구들 병원은 안찍어주는데 있는데,

제가 다니는 병원은 사진찍게되면, 병원게시판에 자기만의 공간이라고,

자기가 치료진행? 을 보여주기위한 곳이 있음.

 

환자한테 아이디를 주고 볼 수 있게 되어있음.

 

 

저는 한번씩 구경하러옴ㅋㅋㅋ

 

내가 이런치아로 22년을 살아왔구나 하면서 격세지감을 느낌ㅋㅋㅋㅋ

 

 

 

아무튼 다들 늦은게 아니니, 걱정마시고,

회사다니면서도 많이하고,

 

비용은 할부도됨. 카드할부 뿐만 아니라, 그냥 현금도 몇개월해가지고 나눠서 낼 수 있게해주니까

잘 알아보시고, 각자 최적의 치과를 찾으셨으면 좋겠어요

 

 

 

출처 - 나

          맨 윗 사진은 네이년 출처

 

 

 

 

 

 

추가 ) 1

맨 첫번째 댓글 다신분이 미백 물어보셔서 ㅋㅋㅋ

 

 

제가 진단비가 꽁짜받아서 제 친구 댈꼬왔다했잖아요.

그 친구 델꼬왔다고 원장이 미백 2회는 꽁짜로 해주겠다고 약속했는데,

 

모르겟음ㅋㅋㅋㅋ

 

친구가 진단만 받고 토껴서 의사가 약속 안지킬수도 있어서..ㅠㅠ

 

 

이것도 병원마다 다름ㅋ

 

내 친구네는 1회인가 2회인가 꽁짜로 해준다고했음ㅋㅋ

 

 

 

 

추가2)라미네이트나, 강혜정처럼 수술하는 교정


저도 맨처음에 지금 치과 원장이랑 상담했을 때 그런말 했어요.
이 두가지를 물어봤는데,

라미네이트같은 경우는, 제 친구가 영화배우가 있어요.

갸네는 치아가 좀 그러면 바로 소속사에서 치과보내서 해줘서 한달만에 가지런한 이가 되어와서 너무 부러워서.
의사한테 이야기했더니, 그건 생니를 깍아 쳐내서 붙이는 건데, 연예인아니면 하지말라했음.

생 이빨에 득될거 하나없다고.

 

어떤 병원들은 기간 오래걸리는데 무슨 교정이냐, 라미네이트해라. 이런식으로 꼬시는 병원들 봤음.

 

이건 병원이 아님. 그냥 돈벌어먹을려는 거지, 진정한 환자를 위한게 아니라고 생각되니까

가감히 쳐내시길..



그리고 강혜정처럼 수술하는 경우는,

치과의사들 사이에서도 강혜정하고나서 부터 좀.. 부정적으로 많이 보는 경우가 많다고 그랬음

 

아무튼, 제 담당 치과의사였던, 양약전문치과원장님이나, 지금 치아교정하고있는 치과원장도 다들 저런거 반대하심.

 

 

 

 

 

 

 

다음검색
현재 게시글 추가 기능 열기

댓글

댓글 리스트
  • 답댓글 작성자CharlotteYork 작성자 본인 여부 작성자 | 작성시간 10.09.26 스크랩 허용으로 수정했어용~
  • 작성자분홍색 연필 | 작성시간 11.02.20 전 광주 조대에서 600에 했네요 ㅠㅠ

    혹시 치간칫솔 사용법좀 알려주실수있을가요 ㅠㅠ
  • 답댓글 작성자CharlotteYork 작성자 본인 여부 작성자 | 작성시간 11.02.22 치간칫솔은 일단 제일 얇은거 사용하시는게 좋은것 같아요, 왜냐면, 굵은걸로 이 사이사이 치아와 치아사이를 닦을려고 억지로 넣으면 무리오거든요, 저도 광주에서 고등학교까지 다녔는데, ㅎㅎㅎ 광주분이시네요 ㅎㅎ 조대치대는 원래 유명하니까, 걱정하실건 없으실것 같아요 ㅎㅎㅎ
  • 작성자우왕대단함 | 작성시간 11.04.24 근데 꼭 교정전문치과에서 안 해도 괜찮죠? 일반치과가 훨 싸길래 그쪽에서 시작했는데 문득 괜찮은지 걱정되네요ㅜ ㅜ혹시 이 글 보시면 답변 좀 해주세요 ㅜ ㅜ 그리고 생니 4개 발치했는데 발치비용 무료로 해주고 초기비용 250, 약값 7~8000원, 초기 진단비용 20만원 매달 5만원씩 2년 정도 생각하라는데 이 정도면 싼 편인가요? 다 합하면
  • 답댓글 작성자CharlotteYork 작성자 본인 여부 작성자 | 작성시간 11.04.24 꼭 교정전문치과에서 안해도되요, ㅋㅋㅋ 교정전문치과가 생겨난게, 교정만하면 돈도 많이벌고, 편해서 교정전문치과가 생겨난거라서, 안하셔도되요, ㅋㅋㅋ
    제가 요즘 엽혹진을 안해서 댓글을 이제봤네요, 죄송해요,ㅠㅠ 초기비용250만원이 뭐, 장치값인가요?
댓글 전체보기
맨위로

카페 검색

카페 검색어 입력폼