CAFE

[스크랩] 절제 불가능한 담관암 환자에 대한 고주파 온열치료와 화학 요법 병용으로 호전된 사례보고

작성자바이오맨|작성시간18.03.29|조회수176 목록 댓글 0




절제 불가능한 담관암 환자에 대한 고주파 온열치료와 화학 요법 병용으로 호전된 사례보고 


대전대학교 천안한방병원 류주영, 대전대학교 천안한방병원 이강욱, 대전대학교 천안한방병원 조창묵, 원광대 전주한방병원 주종

, 대전대학교 천안한방병원 이남훈, 대전대학교 둔산한방병원 유화승

2017 7 26


초록

암세포를 가열시키고 항암제 및 방사선 요법과의 시너지 효과를 내는 비침습적 치료법인 고주파온열치료는 암 환자에게 유망한 치료법으로 부상하고 있다이 연구의 목적은 절제 불가능한 담관암 환자의 치료를 위해 적용된 화학 요법(시스플라틴/젬시타빈)과 고열 치료의 병용치료 사례를 보고하는 것이다

54세 남자 환자가 간문부 담관암(담관종양)으로 진단 받고 화학 요법으로 비조영성 및 수술 전 방사선 치료를 받았다그러나 방사선 치료와 화학 요법으로 치료가 성공적이지 않았기 때문에 두 번째 치료 방법으로 화학 요법과 병용한 고열 치료를 받기로 결정했다

그는 피로, 소화 불량, 상복부 통증 및 황달로 고통 받고 있었다화학 요법과 병행된 고열은 4개월에 걸쳐 32회 시행되었다환자는 중대한 합병증을 경험하지 않았고 환자의 상태는 호전되었고 탄수화물 항원 19-9(CA 19-9)와 총 빌리루빈 수치는 상대적으로 낮아졌다또한, 컴퓨터 단층 촬영 검사에서 담관암이 진행되지 않았음을 보여주었다결론적으로, 이 증례보고는 화학 요법과 병용한 고주파 온열 치료가 절제 불가능한 담관암 환자에게 유망한 치료법이 될 수 있음을 시사한다

키워드

화학 요법 , 담관암 , 고주파온열치료 , 담관종양 , 고주파 


소개

담관암은 희귀 악성 종양으로 간내 또는 외 간 외의 담도계를 통해 발생할 수 있다담관암은 간내, 근위부 또는 원위부로 분류할 수 있다.1 간문부 담관암과 근위부 담관암은 나쁜 예후와 관련이 있다미국에서 매년 발생하는 3000건의 사례 중 절반 이상이 절제 가능하다

환자는 일반적으로 복통, 가려움증, 체중 감소 및 황달이 있다전산화 단층 촬영(CT), 자기 공명 영상 및 초음파는 암을 진단하고 담즙 병변을 특징 짓는데 사용된다치료는 수술, 방사선 요법, 화학 요법 및 광역학 요법으로 구성된다표준 치료법은 간 외 담관 절제술, 간 절제술 및 외음부 림프절 절제술로 수술 외과적 절제술로 구성된다.2 

간문부 담관암은 현재로서는 암의 완전 절제가 가장 효과적이면서 유일한 잠재적 치료 요법이며, 동반 간 절제술이 대부분의 경우에 필요하다는 것은 분명하다.3 그러나, 완전한 절제는 림프선, 관 벽에 있는 상피의 확산, 인접한 간 동맥 또는 간 문맥의 직접적인 침범으로 인해 발생하는 국소적 확장 때문에 때때로 어렵다.4 비소 세포 성 간외 담관 암종은 예후가 좋지 않으며 6개월에서 1년 정도의 평균 기대수명을 보인다.5 

종양학에서고주파온열치료라는 용어는 열을 투여하고 전자 유도를 생성함으로써 악성 질환을 치료하는 것을 의미한다고열은 대개 이미 확립된 치료 양식(방사선 요법 및 화학 요법)의 부수적인 요법으로 적용되며 종양 세포6 를 죽이고 종양 면역 원성의 증가에 영향을 준다.7 본 연구는 절제가 불가능한 간문부 담관암에 대해 동시에 고주파온열치료와 화학 요법을 받은 환자를 보고한다.

증례보고

이 사례 연구는 대전대학교 천안한방병원(심사 번호 : DJUMC-P-2017-02)의 기관 검토위원회의 승인을 받았다.

54세의 남자는 2016 6월에 서울대학교 병원에서 간문부 담관암(담관종양) 진단을 받고, 경피경간 담도 배액술을 받았다. 그는 7월부터 8월에 수술을 시행하기 위하여 화학 요법으로 선행시술과 수술전시술로 28일간 2사이클의 방사선 치료를 받았다. 환자는 6주 동안 21일 사이클의 첫 번째와 여덟 번째 날에 시스플라틴 25mg + 젬시타빈 1000mg을 투여 받았다

불행하게도 종양은 화학적 요법을 시행한 방사선요법에 반응하지 않았고 환자는 절제수술이 불가능하다고 진단 받았다피로, 소화 불량, 상복부 통증 및 황달을 앓은 환자는 2016 7월에 대전대학교 천안한방병원을 방문하여 두 번째 치료법을 시행했다. 환자가 방문했을 때그의 ECOG(Eastern Cooperative oncology Group의 부작용 및 반응 기준)8 등급은 3점이었다. 2차 요법으로 화학 요법(시스플라틴/젬시타빈)과 병용한 고주파온열치료는 2016 9월부터 12월까지 총 32회 시행되었다.

REMISSION 1℃ 기기(아디포랩스 제조)를 이용하여 고주파온열치료를 시술하였다직경 12cm의 전극 2개를 서로 대향시켜서 0.46MHz의 고주파를 적용했다우리는 환자에게 70분 동안 열을 가했고 표면 온도(39℃~41℃)를 지속적으로 측정했다환자의 내성에 따라 적용된 전력이 50W에서 100W로 점차 증가되었다.

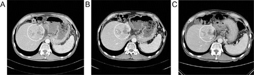
환자에게 중대한 합병증 없이 고주파온열치료가 32회 실시되었다치료 중 탄수화물 항원 19-9(CA 19-9)와 총 빌리루빈 수치가 감소했다(그림 1  2). 환자의 ECOG8 등급은 3점에서 2점으로 개선되었다피로, 소화 불량, 상복부 통증 및 황달 등 여러 증상이 감소했다국립 암 연구소 부작용에 대한 공통 용어 기준(NCI-CTCAE) 4.0 버전에 따르면 피로감은 3등급에서 1등급으로 개선되고 소화 불량은 2등급에서 1등급으로 개선되었다. 고온 요법과 화학 요법 병용 중 종양의 크기를 CT 스캔을 이용하여 측정하였고, 종양에 어떤 진행도 관찰되지 않았다(그림 3). 이와 같이 우리는 고체 종양의 반응 평가 기준(RECIST) 버전 1.1에 따라 질병이 안정되는 것을 확인했다.10




그림 1. 시간에 따른 탄수화물 항원 19-9(CA 19-9) 수준의 변화화학 요법을 시행한 선행 및 수술전 방사선 치료 후 CA 19-9 등급은 초기 평가시보다 현저히 낮았지만 다시 증가하기 시작했다화학 요법과 병용한 고열치료는 CA19-9의 수준을 328에서 212.6으로 다시 감소시켰다.






그림 2. 시간에 따른 혈청 총 빌리루빈 수치의 변화경피 경간 담즙 배액 후 혈청 빌리루빈 수치는 상당히 낮아졌으며 낮아진 빌리루빈 수치는 화학 요법과 고주파온열치료 병용 때에도 비교적 동일하게 유지되었다




그림 3. CT 스캔 이미지화학 요법과 고주파온열치료 병용 치료 중 종양의 크기는 9(A), 11(B), 12(C) 2016 CT 스캔을 사용하여 측정되었다. 종양의 진행은 관찰되지 않았다. 


토론

담관암은 담즙 트리 내의 어느 곳에서나 발생할 수 있지만, 담즙성 합병증(담관종양)과 관련된 종양이 가장 일반적입니다.11 담관암은 모든 위장 종양 중에서 3%를 차지합니다지난 30년 동안 담관암의 전체 발병률은 증가한 것처럼 보입니다.12 진단 후 5년 생존한 환자의 비율은 이 기간 동안 증가하지 않고 10%를 유지했다.13 

지난 30년 동안 발표된 여러 연구에서, 간문부 담관암을 가진 환자의 비율은 40%에서 60%로 상당히 일정하게 유지되었으며, 나머지 종양은 간내 또는 원위부 담관에서 발생했습니다.11 전통적인 치료법으로서 절제술이 잘 확립되어 있지만, 조기 전이가 발견될 수 있으며, 해당 경우에 발견 시점에서 종양 제거 수술은 1/3 이하로 수행된다.12 절제 불가능한 담도암 환자의 대다수는 진단 후 12개월 이내에 사망하며, 보통 간 기능 장애 또는 담도 폐쇄에 따른 감염성 합병증으로 사망한다그 예후는 말초 신경 병변보다는 담도 합병증과 관련된 병변에 더 나쁜 것으로 간주되어왔다11

고주파온열치료는 의학적 목적으로 국소적으로나 세계적으로 체온을 올리는 과정이다고주파온열치료는 정상 세포에 영향을 주지 않고 종양 세포를 죽이거나 약화시킬 수 있다종양 세포는 혼란스럽고 작은 혈관 구조를 가지고 있어 열을 발산시키는 데 어려움이 있다따라서 고주파온열치료는 가해지는 열에 직접 반응하여 암세포가 사멸하게하고 건강한 조직은 정상 온도를 더 쉽게 유지할 수 있게 한다

비록 암세포가 완전히 죽지는 않더라도, ​​이온화방사선 요법이나 특정 화학 요법 약물에 더 민감해질 수 있으며, 이로 인해 그러한 요법이 더 적은 용량으로 효과를 발휘할 수 있다.6 고주파온열치료는 전자 유도를 생성하고 선택적으로 세포막에 에너지를 축적하여 세포 사멸을 보다 효율적으로 발생시킨다.1415 또한, 고열은 항성성 항종양의 생성에 영향을 미치고, 유체의 면역성 증가로 인한 종양 면역 증가에 영향을 미치고 면역성 세포 사멸을 초래한다.7

고주파온열치료는 단일 암 치료법으로는 거의 사용되지 않으며 방사선 요법, 화학 요법 또는 방사선 화학 요법, 그리고 최근에는 유전자 및 면역 요법에까지 추가적으로 사용되고 있다고주파온열치료에 대한 많은 연구가 종양학 분야에서 지속적으로 수행되고 있다.16-18 담관암에 관해서는, 화학 방사선 요법과 병행하여 8MHz로 국소 고열 치료를 한 8명의 환자 사례가 국소 제어와 장기 생존을 증가시키는 유망한 치료로 보고된 바 있다.19 주파수가 높을수록 감쇄가 커지고 침투깊이가 얕아진다.20 

REMISSION 1℃ 장치의 주파수는 0.46MHz, 고주파온열암치료기 중 가장 낮은 주파수를 사용하고 있다이전에 재발 간세포 암으로 고통 받는 환자에 대해 REMISSION 1℃ 장치와 소라페닙을 병용한 사례 연구에서 좋은 결과를 보인 바 있다.21 이 사례에서도 고주파온열암치료 REMISSION 1℃ 기기를 사용하여 연구를 수행하였고, 화학 요법(시스플라틴/겜시타빈)과 결합시켰다.

본 증례보고는 절제 불가능한 간외 담관암 환자의 치료를 위한 고주파온열치료와 화학 요법의 병용요법을 보여주고 있다치료 후 CA 19-9와 총 빌리루빈 수치가 낮아졌다병용치료로 환자의 증상, 피로, 소화 불량, 상복부 통증 및 황달이 완화되었다. NCI-CTCAE 버전 4.09으로 판단하면 3등급에서 1등급으로 피로가 개선되고 소화 불량이 2등급에서 1등급으로 개선되었다.

또한 환자는 치료 중 심각한 합병증을 경험하지 않고 양호한 상태를 유지했다.  시스플라틴/겜시타빈 조합에서 관찰되는 일반적인 부작용은 발열성 호중구 감소증, 출혈, 식욕 부진, 메스꺼움, 피로 및 백혈구 수 감소 등이다.22 

국립암연구소 부작용에 대한 공통 용어 기준(NCI-CTCAE) 버전 4.09으로 판단할 때, 심각한 부작용은 관찰되지 않았다. 환자는 열성 호중구 감소증이나 출혈을 앓지 않았다백혈구 수는 정상 범위를 유지했다거식증, 메스꺼움 및 피로가 개선되었다환자의 ECOG8 등급은 3등급에서 2등급으로 개선되었다. RECIST 버전 1.1에 따르면 CT 스캔 결과는 개선되지 않았지만 질병의 진행을 나타내지는 않았다.10

국소부위의 고열 치료에 대한 임상 연구의 질을 보장하기 위해서는 목표위치와 목표위치 주위의 온도를 기록해야 한다.23 본 연구에서 사용한 REMISSION 1℃ 기기는 이 부분에서는 한계점이 있다.

이러한 결과를 바탕으로, 고열은 적어도 부분적으로 환자가 양호한 상태로 유지되는 것과 화학 요법의 감소된 부작용에 기여한 것으로 생각된다본 증례보고는 화학 요법과 병용한 고주파온열치료가 절제 불가능한 담관암 환자 치료의 한 방법일 수 있음을 시사한다.

분쟁 중재 선언
저자()는 이 논문의 연구, 저자 및 간행물과 관련하여 어떠한 잠재적인 이해 갈등도 일으키지 않았다.

자금 지원
저자는 이 논문의 연구, 저자 및 출판에 대한 다음과 같은 재정 지원 영수증을 공개했다 :      이 연구는 대전대학교 산학 협력단체인 아디포랩스의 연구비(2016)로 지원되었다.


참고 문헌

1.

Nakeeb A, Pitt HA, Sohn TA, . Cholangiocarcinoma. A spectrum of intrahepatic, perihilar, and distal tumors. Ann Surg. 1996;224:463-475. Google Scholar CrossRef, Medline

2.

Soares KC, Kamel I, Cosgrove DP, Herman JM, Pawlik TM. Hilar cholangiocarcinoma: diagnosis, treatment options, and management. Hepatobiliary Surg Nutr. 2014;3:18-34. Google Scholar Medline

3.

Schule S, Altendorf-Hofmann AK, Kn?sel T, Uteß F, Settmacher U. Diagnostic procedures and results in surgical therapy for cholangiocarcinoma [in German]. Zentralbl Chir. 2014;139(suppl 2):e25-e34. Google Scholar Medline

4.

Sakamoto E, Nimura Y, Hayakawa N, . The pattern of infiltration at the proximal border of hilar bile duct carcinoma: a histologic analysis of 62 resected cases. Ann Surg. 1998;227:405-411. Google Scholar CrossRef, Medline

5.

Radtke A, K?nigsrainer A. Surgical therapy of cholangiocarcinoma. Visc Med. 2016;32:422-426. Google Scholar CrossRef, Medline

6.

Hegyi G, Szigeti GP, Sz?sz A. Hyperthermia versus oncothermia: cellular effects in complementary cancer therapy. Evid Based Complement Alternat Med. 2013;2013:672873. Google Scholar CrossRef, Medline

7.

Garg AD, Galluzzi L, Apetoh L, . Molecular and translational classifications of DAMPs in immunogenic cell death. Front Immunol. 2015;6:588. Google Scholar CrossRef, Medline

8.

Oken MM, Creech RH, Tormey DC, . Toxicity and response criteria of the Eastern Cooperative oncology Group. Am J Clin oncol. 1982;5:649-656. Google Scholar CrossRef, Medline

9.

National Cancer Institute. Common Terminology Criteria for Adverse Events (CTCAE) v.4 data files. http://evs.nci.nih.gov/ftp1/CTCAE/About.html. Accessed July 10, 2017.

10.

Eisenhauer EA, Therasse P, Bogaerts J, . New response eval‎uation criteria in solid tumours: revised RECIST guideline (version 1.1). Eur J Cancer. 2009;45:228-247. Google Scholar CrossRef, Medline

11.

Jarnagin W, Winston C. Hilar cholangiocarcinoma: diagnosis and staging. HPB (Oxford). 2005;7:244-251. Google Scholar CrossRef, Medline

12.

Khan SA, Davidson BR, Goldin RD, . Guidelines for the diagnosis and treatment of cholangiocarcinoma: an update. Gut. 2012;61:1657-1669. Google Scholar CrossRef, Medline

13.

Everhart JE, Ruhl CE. Burden of digestive diseases in the United States part III: liver, biliary tract, and pancreas. Gastroenterology. 2009;136:1134-1144. Google Scholar CrossRef, Medline

14.

Andocs G, Rehman MU, Zhao QL, Tabuchi Y, Kanamori M, Kondo T. Comparison of biological effects of modulated electro-hyperthermia and conventional heat treatment in human lymphoma U937 cells. Cell Death Discov. 2016;2:16039. Google Scholar CrossRef, Medline

15.

Yang KL, Huang CC, Chi MS, . In vitro comparison of conventional hyperthermia and modulated electro-hyperthermia. oncotarget. 2016;7:84082-84092. Google Scholar Medline

16.

Desiderio J, Chao J, Melstrom L, . The 30-year experience—a meta-analysis of randomised and high-quality non-randomised studies of hyperthermic intraperitoneal chemotherapy in the treatment of gastric cancer. Eur J Cancer. 2017;79:1-14. Google Scholar CrossRef, Medline

17.

Bakrin N, Classe JM, Pomel C, Gouy S, Chene G, Glehen O. Hyperthermic intraperitoneal chemotherapy (HIPEC) in ovarian cancer. J Visc Surg. 2014;151:347-353. Google Scholar CrossRef, Medline

18.

Toraya-Brown S, Fiering S. Local tumour hyperthermia as immunotherapy for metastatic cancer. Int J Hyperthermia. 2014;30:531-539. Google Scholar CrossRef, Medline

19.

Kamisawa T, Tu Y, Egawa N, . Thermo-chemo-radiotherapy for advanced bile duct carcinoma. World J Gastroenterol. 2005;11:4206-4209. Google Scholar CrossRef, Medline

20.

Sadick NS, Makino Y. Selective electro-thermolysis in aesthetic medicine: a review. Lasers Surg Med. 2004;34:91-97. Google Scholar CrossRef, Medline

21.

Kim JH, Lee JH, Joo JC, Lee JB, Cho CK, Yoo HS. A case report of recurred hepatocellular carcinoma patient treated with radio-frequency hyperthermia in conjunction with sorafenib. J Korean Tradit oncol. 2016;21:63-74. Google Scholar

22.

Okusaka T, Nakachi K, Fukutomi A, . Gemcitabine alone or in combination with cisplatin in patients with biliary tract cancer: a comparative multicentre study in Japan. Br J Cancer. 2010;103:469-474. Google Scholar CrossRef, Medline

23.

Bruggmoser G, Bauchowitz S, Canters R, . Quality assurance for clinical studies in regional deep hyperthermia. Strahlenther onkol. 2011;187:605-610. Google Scholar CrossRef, Medline


 자료출처: 아디포랩스


상기 논문은 암으로 투병중인 환자분과 보호자의 정보 공유를 위하여 소개하고 있으며 투병 과정에서 이러한 치료법도 있다는 것을 참고하시길 바랍니다, 그리고 최근에는 고주파 온열 암치료기가 전국적으로 많이 보급이 되어있습니다, 거주하시는 곳과 가까운 의료기관을 방문하여 의사와 상의하여 보시기 바랍니다,



NOTE

모든 암들이 만만치 않지만 그 중에서 매우 고약하고 까다로운 것은 췌장암,담관암,간암,뇌종양으로 여겨 집니다,물론 초기암의 경우 수술을 하거나 항암 치료로 호전되는 사례가 많지만 그러하지 못한 경우가 많기에 환자의 입장에서는 난감하고 힘든 투병 과정을 경험하기도 합니다, 하지만 국내 기술로 개발된 리미션 고주파 암 치료기는 이러한 케이스에 기존의 항암 치료와 병행 할 경우에 괄목할만한 결과가 속속 발표되고 있기에 암환자에게 새로운 희망이 되리라 생각 합니다,


하지만 모든 암 환자가 동일한 결과를 얻는다는 보장이 없기에 과신하거나 맹신을 하여서는 안됩니다, 지금까지 수술대상이 안 되고 항암제로 호전이 어렵거나 내성이 생긴 경우에는 더 이상 치료법이 없어 절망감을 주었지만 다시 한번 투병 의지를 살릴 수 있는 기회가 되리라 사료 됩니다, 하지만 단점이라면 아직까지 의료보험 적용이 되지 않아 환자에게 금전적 부담이 있다는 것 입니다, 하루빨리 의료보험이 적용되어 모든 암 환자가 치료 받을 수 있는 기회가 조성되었으면 하는 바램 입니다,


의공학전문가 ㅣ김동우 010-7216-6789

현대의학 자연의학 그리고 의용공학의 세계

http://blog.daum.net/inbio880




다음검색
현재 게시글 추가 기능 열기

댓글

댓글 리스트
맨위로

카페 검색

카페 검색어 입력폼