CAFE

7

무릎관절//관절내시경수술에 대해...

작성자gemma|작성시간12.03.10|조회수140 목록 댓글 0

 

무릎관절//관절내시경수술에 대해...

 

    무릎관절내시경수술

관절내시경 수술은 초소형,초정밀 카메라가 달린 내시경을 7mm이하의 절개를 통해 환부로 삽입하여

관절의 손상부위를 정확하게 진단하고 치료하는 수술입니다.

환부를 직접 확인할수 있어 CT나 MRI로 찾기 힘든 질환까지 정확하게 파악,치료할 수 있습니다.

 -무릎관절내시경수술

 

관절내시경은 주로 어깨관절,무릎관절,발목관절에 많이 이용되어지는 수술입니다.

특히 무릎 관절내시경 수술이 많이 시술되고 있어서 무릎관절내시경 수술에 대해 알아보겠습니다.

 

 -웰튼병원 무릎인공관절수술

 

무릎 관절내시경 수술은 무릎 반월상 연골판손상,십자인대 파열,박리성연골염,추벽증후군,퇴행성관절염,활액막염등의

질환이 있을때 시술하게 됩니다.

 

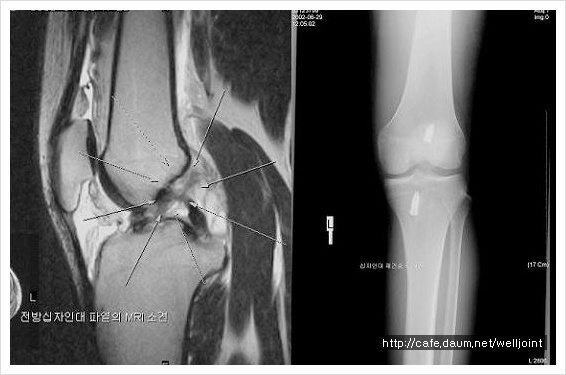
        <십자인대파열 --무릎관절내시경수술 전후 MRI와 x-ray >

 

관절내시경 수술의 장점

 

-절개부위가 작아 통증이 적고 출혈량이 적어 빠른 회복이 가능하다.

-수술시간이 30여분으로 짧고 마취도 척추마취를 하기 때문에 수술에 대한 부담감이 작다.

-수술후 1일후면 일상생활복귀가 가능하다.

-입원기간이 짧고 수술비용이 저렴하다.

-MRI로 놓칠수 있는 손상부위의 진단이 가능하며 진단과 동시에 치료가 가능하다.

-절개부위가 작아 흉터가 거의 없다.

-수술 후 감염의 가능성이 작다.

                                <웰튼병원 관절내시경 수술장면>

 

다음검색
현재 게시글 추가 기능 열기
  • 북마크
  • 신고 센터로 신고

댓글

댓글 리스트
맨위로

카페 검색

카페 검색어 입력폼