CAFE

도서관 고양이

[치과]고양이 치과학(FORL, LPGS 증상 사진)

작성자soso|작성시간09.08.05|조회수1,184 목록 댓글 0

알림: 아래 자료는 노인성 질환에 해당하지 않습니다. 치아 관리 상태에 따라 어린 고양이도 걸릴 수 있는 질환입니다. 사진 자료가 많아 반려묘 돌볼 때 많은 도움이 될 것 같아 퍼왔는데, 번역할 수 있는 것이 거의 없었습니다; 대신 자료 읽는데 참고가 될까 싶어 병명이라고 해야할지, FORLLPGS에 대해 제가 이해한만큼 적었습니다.

 

* FORL feline ondoclastic resorptive lesion의 약자로 꼭 한글로 옮겨 보자면 '고양이과 치아 재흡수(흡수) 병변'

Feline 즉 고양이과에서만 나타나는 치과 질환입니다. 발생 빈도가 가장 높은 치과 질환이고 5세 이상 고양이에게서 나타나기 쉽다고 합니다. (사진 자료만 보면 이빨이 부식되는 게 충치 같아요.)

 

*LPGS는  lymphocytic plasmacytic gingivitis pharangitis syndrome의 약자로 치석 알레르기로 인해 이빨 주위의 잇몸에 빨갛게 염증이 생기는 것 입니다. 네이버 백과사전(http://100.naver.com/100.nhn?docid=149336)을 참고해보면 LPGS는 '치은염'이 아닐까 합니다.

 

 

*출처: http://cats.about.com/gi/dynamic/offsite.htm?zi=1/XJ/Ya&sdn=cats&zu=http%3A%2F%2Fwww.dentalvet.com%2FEncyclopedia%2FP00352_SC01100.htm

 

Feline Dentistry
A common feline oral malady is feline ondoclastic resorptive lesion (FORL). Cats can also be affected by stomatitis, referred to as lymphocytic plasmacytic gingivitis pharangitis syndrome (LPGS) or cats may also be effected by oral neoplasia.

 

 Image 7.1. 2단계 FORL

 Image 7.2. Odontoclastic resorptive lesion (class 2)

 

 

 2단계 FORL 에나멜과 상아질에 침투

 

 

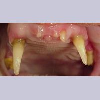
왼쪽 상단 네번째 소구치(작은 어금니) FORL

 

 

  Image 7.3. 3 단계 FORL

 Image 7.4. 4 단계 FORL  

 

 

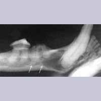
3 단계 FORL, Intraoral 방사선 촬영은 chamber(치수:이빨 속)까지 손상 됐을 경우 endodontics 또는 발치할지 결정하는 데 꼭 필요하다.

 

 

 

4단계 FORL, crown이 부식되거나 부러진다.

 

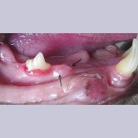
 Image 7.5. Class 5 FORL 

   Image 7.6. Class 5 FORL의 뢴트겐 사진

 

 

Crown의 뿌리가 살아남음

 

 

 

 Image 7.7. Class 5 FORL  제거 후 방사선 사진

Image 7.8. 고양이과 구내염 

 

 

 

 

 image 7.9. 고양이과 구내염으로 인한 고양이의 인두 궤양

Image 7.10. 중증 gingovo 구내염

 

 

 

 

 Image 7.11.Lymphocytic-Plasmacytic Gingivitis Stomatitis (LPGS)

Image 7.12. Lymphocytic Plasmacytic 

 

 

 송곳니와 작은 어금니 주변의 염증

 

고양이과 Lymphocytic Plasmacytic 증후군 

 

 Image 7.13. 교정 전

Image 7.14. 교정 후 

 

 

 

Post operative appearance after crown reduction and vital pulpotomy.

 

 Image 7.15.Persistent primary teeth(유치가 남아있는 덧니인가요?)

Image 7.16. 일반적인 송곳니 

 

 

 

 Image 7.17. 뢴트겐 사진

Image 7.18. Flap exposure for extraction

(적출을 위한 잇몸 절개?)

 

 

송곳니의 resorption 내부

 

 

 Image 7.19. 봉합

 Image 7.20 Super Eruption Syndrome

 

 

 

 


 

다음검색
현재 게시글 추가 기능 열기

댓글

댓글 리스트
맨위로

카페 검색

카페 검색어 입력폼