CAFE

자유게시판

RE: 추가 사진 가져왔습니다. 조언 한 번 더 부탁드려도 될까요?

작성자애기엄마|작성시간25.11.04|조회수82 목록 댓글 4

선생님 안녕하세요,
선생님 치과 방문도 계획했으나 전화문의 결과 너무 어려서 엑스레이 찍을 도구도 마땅치 않다는 안내에
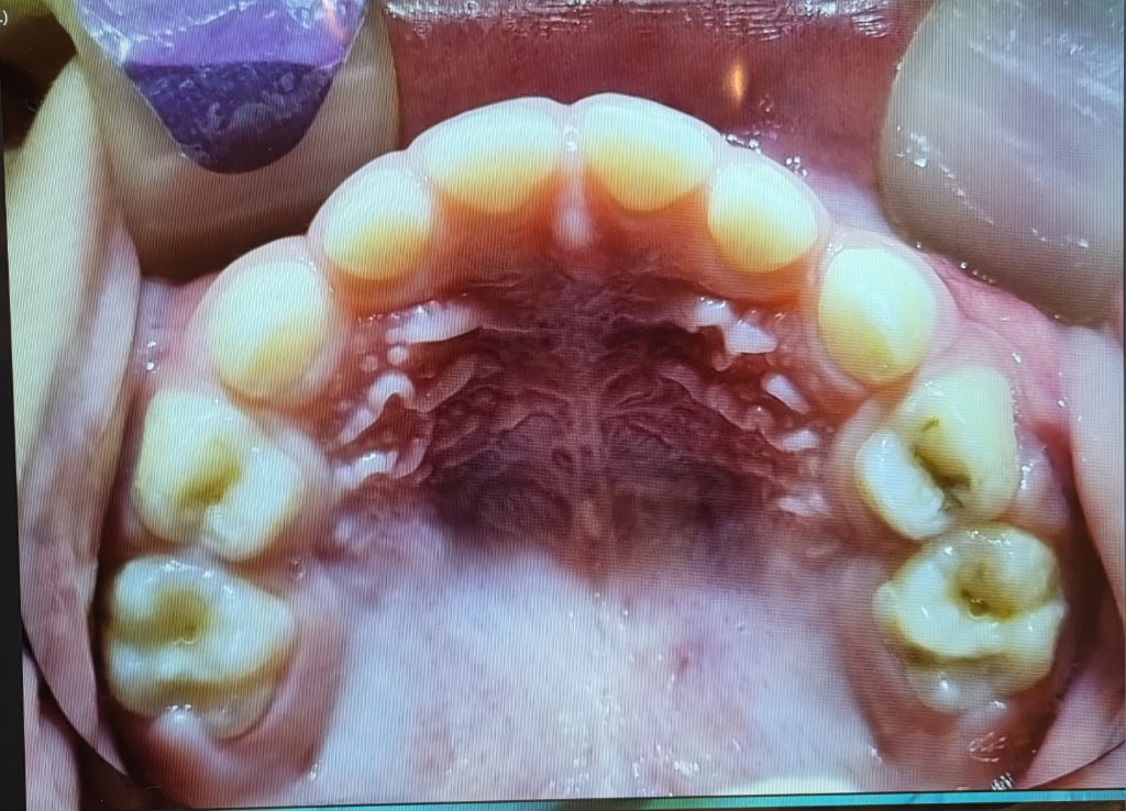
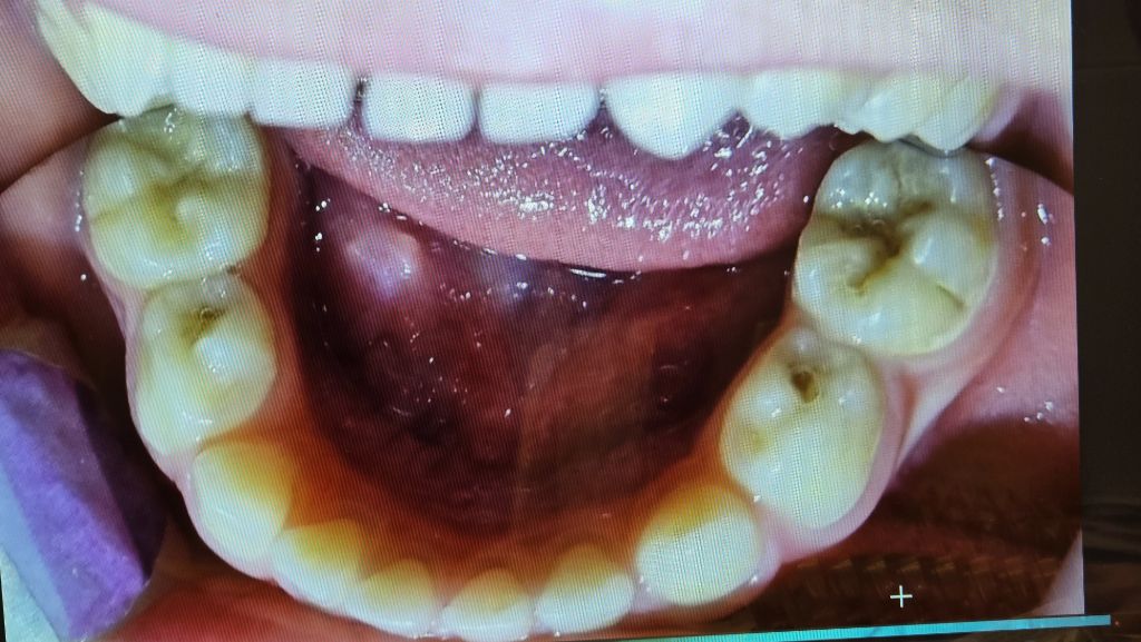
일단 동네 어린이치과에서 엑스레이를 찍은 후 부탁해 사진을 받아 왔습니다.

이 치과에서는 모든 어금니에 충치가 다 있으나 (보는 사람 기준) 왼쪽 위에는 매우 약해서 치료를 안 해도 될 수는 있다고 했습니다만 나머지 6개는 모두 치료가 필요하다고 했습니다.

혹시 나머지 6개 어금니도 정말로 다 치료가 필요한 상황일까요?

아이가 너무 어려서 최대한 치료를 늦추고 싶은데요, 이 상태로 더 악화되지 않고 최소 6개월 버틸 수 있을까요?
(단 음식은 잘 안 줍니다만 어린이집에서 주는 간식은 제가 어쩔 수 없습니다. 밤에 자기 전에 스스로 양치하게 하던 걸, 요새는 제가 직접 눕혀놓고 양치시켜 줍니다. 다만 밤에 잘 때 젖 먹는 건 당장은 힘들고, 시간이 조금 - 1달 정도?- 걸릴 것 같습니다)

아이가 자라는 동안 신경치료는 최대한 안 하게 하고 싶은데요, 그러기 위해서는 치료 방향을 어떻게 잡는 게 좋을까요? 지금 당장 때울 곳들 때우는 게 나을까요? 아니면 그래도 6개월 정도나 그 이상 버텨 보아도 괜찮을까요?

혹시 때운다면 보험 되는 재료가 나을지, 아니면 상대적으로 덜 떨어진다는 레진이 나을지도 궁금합니다. 레진에서 비스페놀a 나온다고 보았던 것 같기도 하고요 ㅠ

타고난 체질과 현재까지 먹는 것에 대해서는, 2달 전에 웨스턴 프라이스 박사님의 전래식을 접하고 실천 중입니다. (어린이집에서 주는 건 어쩔 수 없고요) 다만 아이 성격인지 콩나물 콩 버섯 이런 걸 너무너무 좋아하고, 고기나 내장육은 잘 안 먹습니다... 전래식 알기 전에도 고기 먹여보려 했지만 잘 안 먹어서 그냥 좋아하는거 먹게 두었다가요, 전래식 알고 나서는 두달동안 엄청 노력해서 그래도 고기 좀 잘 먹게 되긴 했고요, 전래식 하는 지인 추천으로 선생님 치과랑 책도 알게 된 거에요. 하지만 2달 가지고 눈에 띄는 변화가 있진 않은 것 같아요. 늘 빈혈을 달고 살았는데, 요새 꽤 좋아지긴 했지만, 눈 밑에 다크서클이 항상 있고, 태어나길 장이 약한 편입니다. 제가 장이 약한데 그걸 물려받은 것 같아요.

아참, 아이가 신생아시절부터 항상 입을 약간 벌리고 자는데 (입술이 세모 모양이 됩니다) 이것도 턱의 구조와 관련이 있는지, 앞으로 고쳐주려면 어떻게 하면 좋을지도 궁금합니다!!

직접 치과을 방문하지 못해도 이런 창구를 통해 정성스레 조언해 주셔서 정말 감사드립니다!


다음검색
현재 게시글 추가 기능 열기

댓글

댓글 리스트
  • 작성자김동오 | 작성시간 25.11.04 이런 상황에서는 항상 부모님이 책임 지겠다는 약속..
    치과의사에게 책임을 묻지 않겠다는 약속이 선행되어야 합니다.

    씹는면 충치만 있을 뿐 사이 충치가 없어서
    버티는 방법을 실행해 볼 수도 있습니다.
    물론 아이들의 씹는면 충치는 빠르게 진행되는 경우가 많습니다.

    집에서 식생활, 양치질 관리하면서 버티다가
    구멍이 커지면
    1개씩 레진/ GI 또는
    아프면 신경치료 +크라운

    이런 방식을 권하고 싶습니다만

    현실적으로 그렇게 해 주는 치과가 없다는 점이 난관이지요.
    내구성면에서 GI 보다는 레진이 더 좋구요. 화학 성분에 대해서는 신경 쓰지 않으셨으면 합니다.

    말씀하신 내용을 봐서는 아이도 턱이 작아서 구호흡을 하고 있을 가능성이 있습니다.
    이런 점도 충치 발생에 큰 영향을 미칩니다.
    초등 1학년 정도 쯤에 교정 상담을 받길 권합니다.
  • 작성자애기엄마 작성자 본인 여부 작성자 | 작성시간 25.11.04 네!!! 정말 감사합니다!!!
    초1 정도 되면 교정 상담 받으러 갈게요~ 정말 감사합니다!!
  • 작성자김동오 | 작성시간 25.11.04 큰 기대는 안 하시는 게 좋습니다.
    아이가 어느 정도 협조가 될 때 치료하는 게 좋고
    어차피 신경치료를 예상한다면 미루는 것도 나쁘지 않다 생각하기에
    버텨보시라는 의도가 큽니다.

    만 5세쯤 되면 많이 안 좋은 상태가 될 것입니다.
    마음의 준비를 하심이 좋습니다.
  • 작성자애기엄마 작성자 본인 여부 작성자 | 작성시간 25.11.04 아... 그렇군요 ㅠㅠ
    알겠습니다 정말 조금만 더 버틴다고 생각할게요!
    감사합니다!!
댓글 전체보기
맨위로

카페 검색

카페 검색어 입력폼