CAFE

임상 forum

FGG 실패했어요 ㅜㅜ

작성자김경수|작성시간08.10.08|조회수704 목록 댓글 7

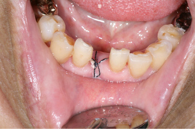
환자분 41부위 발치 후 치은이 V자 홈이 파진채로 회복되어 FGG를 통해

volume을 회복하고자 했던 증례입니다... 수술직후 사진이 집에 있어서

일단 술후 1주 사진만 먼저 올려요...

이미지를 클릭하면 원본을 보실 수 있습니다.

이미지를 클릭하면 원본을 보실 수 있습니다.

이미지를 클릭하면 원본을 보실 수 있습니다.

이미지를 클릭하면 원본을 보실 수 있습니다.

suture는 site가 고랑같이 깊어서 가로로는 suture하기 힘들더군요. 어쨌든 눌러는 줘야 할거

같아서 그림그려놓은거처럼 해서 눌렀어요...

Pack을 해놨는데 열어보니까 이식해 놓은게 마치 딱지처럼 너덜해져 있더군요 ㅜㅜ

그나마 이식전 수여부의 V자 홈을 하이스피드로 맨들하게 갈아놔서 보철은 그냥 해도

될거같네요... 아마도 쫄아서 하이스피드로 너무 표면만 살짝 갈고 붙인게 원인이지 않나 생각됩니다...

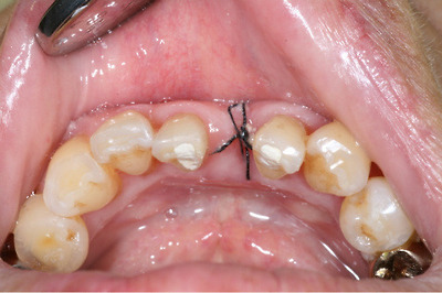
생각보다 구개부는 빨리 낫더군요. 환자분도 술후 하나도 아프지 않았다고 하시구요.

구개부를 너무 open해놨나싶어 아프면 어쩔까 고민했거든요...

 

다음검색
현재 게시글 추가 기능 열기

댓글

댓글 리스트
  • 작성자강재혁 | 작성시간 08.10.08 fgg의 가장 쉬운 적응증을 소개- 소구치부에 버칼 프리넘을 잘라주면서 fgg하는게, 술자도 연습해볼수 있어서 좋고 환자에게도 베스티블을 늘려주고 음식물 저류를 없애주는 윈윈이 되는 적응증이라 생각됨.
  • 작성자김경수 작성자 본인 여부 작성자 | 작성시간 08.10.09 입술을 움직여봐서 동요 유무를 확인한다라... 눈이 번쩍 뜨이는 팁이네요. 생각도 못 했네요... ㅡㅅㅡ; 감사합니다... 전에 근용쌤에게 프레넥토미 물어봤는데 상악인지 하악인지 물어보시더라구요. 프레넥토미시 상악과 하악의 차이가 있나요? 그리고 파우치는 인시전을 치아협설중앙쪽에 줘서 협설로 만들면 될까요? 파우치는 풀로 형성하면 되죠?
  • 작성자이근용 | 작성시간 08.10.09 실패는 아닌 듯,,, 본래 fgg하고 나면 상피부위는 하얗게 떨어져 나가는 경우가 많음... 근데 초진 사진을 보니... 약간 over인듯도 하이~~~ㅋㅋㅋ... 글구 recipient site가 동요가 있어선 안되는 것은 기본!!!
  • 작성자김경수 작성자 본인 여부 작성자 | 작성시간 08.10.09 over는 과잉요? ^ㅅ^ FGG없이 그냥 하이스피드로 고랑만 완만하게 해줘도 됐었다는건가요? 해놓고 나니 고랑만 살짝 긁었어도 됐을뻔했다 생각이 드네요. 하기전엔 그렇게 하면 왠지 푹 파여질거 같아서 걱정이 되더라구요... 역시 실전 경험 부족이...
  • 작성자강재혁 | 작성시간 08.10.09 프리넥토미는 상악과 하악에 있어서 술식에 차이는 없슴. 다만 상악 전치부는 초심자일때는 안하는게 좋음...스카도 많이 생기고 색조 차이도 나서 해도 안이쁘므로 어쩔수 없는 경우를 제외하고는 칼질 좀 한다는 생각들때 하길바람. 상악과 하악 모두 소구치부는 어렵지 않음. fgg를 동반하지 않는 프리넥토미는 대부분 재발을 보이므로 가급적 fgg를 시행해야함. 그리고 파우치는 파샬, 풀 둘다 가능은 함. 입술 움직여 보는거는 어드밴스드 플랩이나 그라프트 모든 술식에 이용가능한 팁이지만 가르쳐 주는 데는 잘 없슴ㅋㅋㅋ.fgg후에 이식편의 괴사는 당연한 정상적인 힐링 과정이지만, 눈에 띄게 하얗게 너덜거리면 실패라고 봐야함.
댓글 전체보기
맨위로

카페 검색

카페 검색어 입력폼