๐Ÿ‘ฃ์ฒญ์†Œ๋…„ ์…‹ ์ค‘ ํ•˜๋‚˜๋Š” ์ฒ™์ถ”์ธก๋งŒ์ฆ!!

์ž‘์„ฑ์ž์™•์—„๋งˆ|์ž‘์„ฑ์‹œ๊ฐ„22.10.19|์กฐํšŒ์ˆ˜536 ๋ชฉ๋ก ๋Œ“๊ธ€ 0

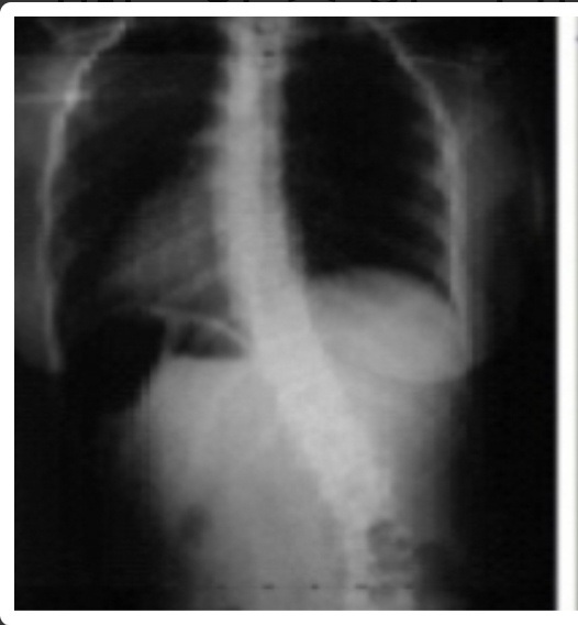
์ฒญ์†Œ๋…„์˜ 3๋ถ„์˜ 1 ์ด์ƒ์ด ๋ณ‘์ ์œผ๋กœ ํœœ ์ฒ™์ถ” ๋•Œ๋ฌธ์— ๊ณ ํ†ต์„ ๊ฒช๊ณ  ์žˆ๋Š” ๊ฒƒ์œผ๋กœ ์กฐ์‚ฌ๋˜์—ˆ๋‹ค ์ตœ๊ทผ ์„œ์šธ๋Œ€ ๋ณ‘์›์ด 3๋…„๊ฐ„ ์„œ์šธ ์‹œ๋‚ด ๋‚จ๋…€ ๊ณ ๊ต์ƒ 1,113๋ช…์„ ๋Œ€์ƒ์œผ๋กœ ์กฐ์‚ฌํ•œ ๊ฒฐ๊ณผ ์—ฌํ•™์ƒ์˜ 48%, ๋‚จํ•™์ƒ์˜ 19%๊ฐ€ ์ฒ™์ถ”์— ์ด์ƒ์ด ์žˆ๋Š” ๊ฒƒ์œผ๋กœ ๋‚˜ํƒ€๋‚ฌ๋‹ค. ๋‚จํ•™์ƒ์˜ 8%, ์—ฌํ•™์ƒ์˜ 18%๋Š” ์ฒ™์ถ”๊ฐ€ ๊ณง๊ฒŒ ์„ธ์›Œ์ง€์ง€ ์•Š๊ณ  S์žํ˜•์œผ๋กœ ํœ˜์–ด ๋ชธ์ด ํ•œ์ชฝ์œผ๋กœ ๊ธฐ์šด ๊ฒƒ์ฒ˜๋Ÿผ ๋ณด์ธ๋‹ค๋Š” ๊ฒƒ์ด๋‹ค.

์ด์— ๋Œ€ํ•ด ๋ณ‘์› ์ธก์€, ๊ณผ๋‹คํ•œ ํ•™์Šต์‹œ๊ฐ„, ์ฒด๊ฒฉ์— ๋งž์ง€ ์•Š๋Š” ์ฑ…๊ฑธ์ƒ, ๋ฌด๊ฑฐ์šด ์ฑ…๊ฐ€๋ฐฉ, ๋น„๋งŒ, ์šด๋™๋ถ€์กฑ, ์ž…์‹œ๋กœ ์ธํ•œ ์ŠคํŠธ๋ ˆ์Šค ๋“ฑ์„ ์›์ธ์œผ๋กœ ๊ผฝ์•˜์œผ๋ฉฐ ์ฒ™์ถ”๊ฐ€ ํœ˜๋ฉด ํ”ผ๋กœ๊ฐ€ ๋นจ๋ฆฌ ์™€ ํ•™์Šต ์žฅ์• ๊ฐ€ ์œ ๋ฐœ๋˜๊ณ  ์š”ํ†ต๊ณผ ๋””์Šคํฌ ๋“ฑ์ด ์ƒ๊ธฐ๊ธฐ ์‰ฝ๋‹ค๊ณ  ๊ฒฝ๊ณ ํ–ˆ๋‹ค

์ „๋ฌธ๊ฐ€๋“ค์€ ์ฒ™์ถ”๊ฐ€ ํœ˜์–ด ์ƒ๊ธฐ๋Š” ํ—ˆ๋ฆฌ ํ†ต์ฆ์„ ์ค„์ด๋ ค๋ฉด ์ฟ ์…˜ ์žˆ๋Š” ์‹ ๋ฐœ๊ณผ ์ฒดํ˜•์— ๋งž๋Š” ์ฑ…๊ฑธ์ƒ์„ ์‚ฌ์šฉํ•˜๋ฉด์„œ, ์ฒด์ค‘์กฐ์ ˆ๊ณผ ์ฒ™์ถ” ๊ฐ•ํ™” ์šด๋™์„ ํ•ด์•ผ ํ•œ๋‹ค๊ณ  ์กฐ์–ธํ•˜๊ณ  ์žˆ๋‹ค.ํ•˜์ง€๋งŒ ๋˜ํ•œ ์ฒ™์ถ”์˜ ํœœ ์ •๋„๊ฐ€ ์‹ฌํ•  ๊ฒฝ์šฐ ๋ณ‘์›์„ ์ฐพ์•„ ์ง„๋ฃŒ๋ฅผ ๋ฐ›๊ณ  ๋”ฐ๋ผ ์น˜๋ฃŒ ๋ณด์กฐ ๊ธฐ๊ตฌ๋ฅผ ์‚ฌ์šฉํ•  ๊ฒƒ์„ ๊ถŒํ•˜๊ณ  ์žˆ๋‹ค.

ย 

40๋Œ€์˜ ์ง์žฅ์ธ ๊น€๋ชจ ์”จ๋Š” ์ตœ๊ทผ ๋ฐœ ๋•Œ๋ฌธ์— ๊ณ ํ†ต์„ ๋ฐ›๊ณ  ์žˆ๋‹ค. ํ‚ค๊ฐ€ 160Cm ์ •๋„์ธ ๊น€๋ชจ ์”จ๋Š” ์ž‘์€ ํ‚ค๋ฅผ ๊ฐ์ถ”๊ธฐ ์œ„ํ•ด ๋ณผ์ด ์ข๊ณ  ๊ตฝ์ด ๋†’์€ ๊ตฌ๋‘๋ฅผ ์‹ ์–ด ์™”๋‹ค. ์˜ค๋žซ๋™์•ˆ ์ด๋Ÿฐ ํ˜•ํƒœ์˜ ์‹ ๋ฐœ์„ ์‹ ์–ด์˜จ ๊น€๋ชจ ์”จ๋Š” ๋ฐœ๋’ค๊ฟˆ์น˜์— ์‹ฌํ•œ ํ†ต์ฆ์ด ์ „ํ•ด์กŒ๊ณ , ์ตœ๊ทผ๋“ค์–ด ํ—ˆ๋ฆฌ์™€ ์–ด๊นจ ๋˜ํ•œ ๋ป๊ทผํ•ด์ง€๋Š” ๊ฒƒ์„ ๋А๊ผˆ๋‹ค. ๋ฐœ๋กœ ์ธํ•œ ํ†ต์ฆ์„ ์ฐธ๋‹ค ๋ชปํ•ด ๋ณ‘์›์„ ์ฐพ์•„ ์ง„์ฐฐ์„ ๋ฐ›์€ ๊ฒฐ๊ณผ ๋ฐœ ์ƒํƒœ๊ฐ€ ๊ทธ์•ผ๋ง๋กœ ์—‰๋ง์ง„์ฐฝ์ด์—ˆ๋‹ค.

ย 

๋ฐœ๋’ค๊ฟˆ์น˜ ๋ณดํ˜ธ๋ง‰์€ ์ด๋ฏธ ์†์ƒ๋œ ๋ฐ๋‹ค ํ‰๋ฐœ๋กœ ์ง„ํ–‰๋˜๊ณ  ์žˆ์—ˆ์œผ๋ฉฐ ์—„์ง€๋ฐœ๊ฐ€๋ฝ์€ ์•ˆ์ชฝ์œผ๋กœ ํœ˜์–ด์ง€๋Š” ๋ฌด์ง€์™ธ๋ฐ˜๊นŒ์ง€ ๋™๋ฐ˜๋˜์—ˆ๋‹ค. ์—ฌ๋Ÿฌ ๊ฐ€์ง€ ์งˆํ™˜๊ณผ ํ•จ๊ป˜ ์ฒ™์ถ”์—๋„ ์ด๋ฏธ ์ด์ƒ์ด ๋‚˜ํƒ€๋‚˜๊ณ  ์žˆ์—ˆ๋‹ค.

ย 

์ฒ™์ถ”๋Š” ์œ„์น˜ ์ƒ ๋ฐœ๊ณผ ์ „ํ˜€ ๊ด€๋ จ์ด ์—†์–ด ๋ณด์ด์ง€๋งŒ ๋ฐœ์— ์ด์ƒ์ด ์žˆ์„๊ฒฝ์šฐ ์ฒ™์ถ” ๋˜ํ•œ ํฐ ์˜ํ–ฅ์„ ๋ฐ›๊ฒŒ ๋œ๋‹ค. ๋ฐœ์„ ํ˜น์‚ฌํ•  ์ค„๋งŒ ์•Œ์•˜์ง€ ๋ณดํ˜ธํ•  ์ค„ ๋ชฐ๋ผ ์ƒ๊ธด ๊ฒฐ๊ณผ์˜€๋‹ค. ๋น„๋‹จ ๊น€๋ชจ์”จ ๋ฟ๋งŒ ์•„๋‹ˆ๋‹ค. ๋Œ€๋ถ€๋ถ„์˜ ์‚ฌ๋žŒ๋“ค์ด ๋ฐœ์— ๋Œ€ํ•ด ๋„ˆ๋ฌด ๋ฟœ์–ด ์˜ฌ๋ฆฌ๋Š”์ผ์„ ํ•œ๋‹ค.

ย 

๐Ÿ‘ฃ ๋ฐœ ์งˆํ™˜์˜ ์ฆ์ƒ๊ณผ ์›์ธ ์•Œ์•„๋ณด๊ธฐ

3 P3.v-v-2

ย 

๐Ÿ‘ฃ ๋ฐœ์„ ๋ณด๋ฉด ์–ด๋””๊ฐ€ ์•„ํ”Œ์ง€ ์•Œ ์ˆ˜ ์žˆ๋‹ค 24 ๐Ÿฆถ 68

ย 

๐Ÿ‘ฃ ์•„๋ฌด๋„ ๋งํ•ด์ฃผ์ง€ ์•Š์•˜๋˜ ์‹ ๋ฐœ๊ณผ ๊ฑด๊ฐ•์˜ ๊ด€๊ณ„ - https://m.cafe.daum.net/ifafeet/qT5P/214ย 

ย 

๐Ÿซ€์ฃฝ์Œ์˜ 4์ค‘์ฃผ ๋™๋งฅ๊ฒฝํ™”, ๊ณ ์ง€ํ˜ˆ์ฆ, ๋‹น๋‡จ, ๊ทธ๋ฆฌ๊ณ  ๊ณ ํ˜ˆ์•• - https://m.cafe.daum.net/ifafeet/qT5P/122ย 

ย 

ย 

๐Ÿ‘ ๐Ÿฅฟ๐Ÿ‘ก๐Ÿ‘Ÿ๐Ÿ‘ข๐Ÿ‘ ๐Ÿฅฟ๐Ÿ‘ก๐Ÿ‘Ÿ๐Ÿ‘ข๐Ÿฅฟ๐Ÿ‘ก๐Ÿ‘ 

ย 

ย 

- ์ด์  ํ”ผํŠธ ์ˆ˜์ œ์˜ค์†Œํ‹ฑ ์ด๋ž€ !!! -ย 

ย 

์ด์  ํ”ผํŠธ ์ˆ˜์ œ์˜ค์†Œํ‹ฑ์€ ๊ต์ •์šฉ ์žฅ์น˜๋ฅผ ๋œปํ•ฉ๋‹ˆ๋‹ค!

ย 

์ •ํ™•ํ•˜๊ฒŒ๋Š”~~~ย 

ํ’‹ ์ด์  ํ”ผํŠธ์˜ค์†Œํ‹ฑ(Foot Orthotics) ์ด๋ผ๊ณ  ํ•ด์•ผ ํ•ฉ๋‹ˆ๋‹ค!

ย 

๋ถˆํŽธํ•œ ๋ฐœ์„ ํŽธํ•˜๊ฒŒ ๋งŒ๋“ค์–ด ์ฃผ๋Š”ย 

๋ฐœ ๊ต์ •์šฉ ('์ผ๋ช… ๊น”์ฐฝ') ๊ธฐ๊ตฌ๋ผ๊ณ  ๋ณด๋ฉด ๋ฉ๋‹ˆ๋‹ค

ย 

๐Ÿ‘ฃ์ด์  ํ”ผํŠธ์ˆ˜์ œ์˜ค์†Œํ‹ฑ์€ย 

ย 

๐Ÿ‘  ์‹ธ์ด์ฆˆํ™” ๋˜์–ด์žˆ๋Š”ย 

์‚ฌ์ถœํ’ˆ์ด ์•„๋‹ˆ๊ณ ย ย 

๐Ÿ‘ก์†Œ๋น„์ž ํ•œ์‚ฌ๋žŒ์„ ์œ„ํ•œย 

๐Ÿฅฟ์ผ๋Œ€์ผ ๋งž์ถค 100% ์ˆ˜์ž‘์—… ์ œํ’ˆ ์ž…๋‹ˆ๋‹ค

ย 

๊ฑด๊ฐ•์ด ์ตœ๊ณ ์˜ ์ž์‚ฐ์ž…๋‹ˆ๋‹คย 

ย 

๐Ÿ‘ฃ ์ธ์ฒด 2% ์ธ ๋‚ด๋ฐœ ๐Ÿฆถ

ย 

๊ทธ ๋ฐœ์€ ํ‰์ƒ ๋‚ด๋ชธ์˜ 98% ๋ฅผ ์ง€ํƒฑํ•˜๋ฉด์„œ ์‚ด์•„๊ฐ‘๋‹ˆ๋‹ค

ย 

๐Ÿ‘ ๐Ÿ‘ก๐Ÿฅฟ๐Ÿ‘Ÿ๐Ÿ‘ข๐Ÿ‘ ๐Ÿ‘ก๐Ÿฅฟ๐Ÿ‘Ÿ๐Ÿ‘ข๐Ÿ‘ ๐Ÿ‘ก

ย 

โ™ค ์ด์  ํ”ผํŠธ ์ˆ˜์ œ์˜ค์†Œํ‹ฑ ์˜ ํšจ๊ณผ โ™คย 

ย 

1. ์„œ์žˆ๊ฑฐ๋‚˜ ๊ฑท๊ณ  ๋‹ฌ๋ฆด ๋•Œ,ย 

ย  ย  ๋ชธ์˜ ์ž์„ธ๋ฅผ ๋ฐ”๋ฅด๊ฒŒ ์œ ์ง€ํ•˜์—ฌย 

ย  ย  ์ฃผ๋Š” ์—ญํ• ์„ ํ•ฉ๋‹ˆ๋‹ค.ย 

ย 

2. ๋ฐœ์— ๊ฐ€ํ•ด์ง€๋Š” ์ถฉ๊ฒฉ์„ ํก์ˆ˜ํ•จ์œผ๋กœ์จ,ย 

ย  ย  ๋ฐœ, ๋‹ค๋ฆฌ๋Š” ๋ฌผ๋ก ย 

ย  ย  ๋ชธ ์ „์ฒด์˜ ํ”ผ๋กœ๊ฐ์„ ๊ฐ์†Œ์‹œ์ผœ์ค๋‹ˆ๋‹ค.ย 

ย 

3. ์ด๋™์‹œ ๊ฐ€ํ•ด์ง€๋Š” ์ถฉ๊ฒฉ์œผ๋กœ ์ธํ•˜์—ฌย 

ย  ย  ์ฒ™์ถ”, ๋ผˆ, ๊ด€์ ˆ, ๊ณจ๋ฐ˜ ๋“ฑ์ดย 

ย  ย  ์†์ƒ๋˜๋Š” ๊ฒƒ์„ ๋ฐฉ์ง€ํ•˜์—ฌ ์ค๋‹ˆ๋‹คย 

ย 

4. ๊ทธ๋ฆฌ๊ณ  ๊ฐ์ข… ๋ฐœ ์งˆํ™˜๋“ค

๋ฐœ ์งˆํ™˜์— ๋”ฐ๋ผ ์ œ๊ฐ๊ธฐ ๊ทธ์‚ฌ๋žŒ์— ๋”ฐ๋ผย 

ย 

1:1 100% ์ˆ˜์ œ๋กœ ๋งŒ๋“ค์–ด ์ง‘๋‹ˆ๋‹คย 

ย 

๐Ÿ‘ฃ ๋ฐœ์ด ๋ณ€ํ˜•๋˜๋ฉดย  ย ย 

ย  ย  ย  ย  ย  ย  ย  ย  ย  ย ย 

๐Ÿ‘  ๋ฐœ์€ ๋ฌผ๋ก ~

๐Ÿ‘Ÿ ๋ฐœ๋ชฉ, ๋ฌด๋ฆŽ, ํ—ˆ๋ฆฌ, ์–ด๊นจ, ๋ชฉ, ๋“ฑ

๐Ÿ‘ก ์˜จ ๋ชธ์— ํ†ต์ฆ์ด ์ƒ๊น๋‹ˆ๋‹ค!ย  ย 

ย 

ย 

๐Ÿ‘ ๐Ÿฅฟ๐Ÿ‘ก๐Ÿ‘Ÿ๐Ÿ‘ข๐Ÿ‘ ๐Ÿ‘ก๐Ÿ‘Ÿ๐Ÿ‘ข๐Ÿ‘ ๐Ÿฅฟ๐Ÿ‘ก

ย 

ย 

๐Ÿ‘ฃ ๋ฐœ์˜ ์†Œ์ค‘ํ•จย 

http://naver.me/FyeIIKzgย 

ย 

๐Ÿ‘ฃ ๋ฐœ ๊ฑด๊ฐ•๊ณผ ๋ฐ˜์‚ฌ์š”๋ฒ• - https://m.cafe.daum.net/ifafeet/qT5P/140ย 

ย 

'๋ฐœ์„ ์ง€์ผœ๋ผ(EZEN FEET)'ย 

https://band.us/n/a7a670e7f59d1ย 

ย 

" ๋ฐœ์„์ง€์ผœ๋ผ์ผ๋งŒ๋ณด "ย 

https://band.us/n/a9af78c6t0Z4Kย 

ย 

ย 

-๊ตญ์ œ์กฑ๋ถ€์‚ฌํ˜‘ํšŒย 

-์ฃผ์‹ํšŒ์‚ฌ ์ด์  ํ”ผํŠธย 

-์กฑ๋ถ€ํ•™๊ฐ•์‚ฌ ๊น€์„ฑ๋ฏธ 010 8771 9203ย 

ย 

๐Ÿ‘ฃ ๋ฐœ์„ ์•Œ๋ฉด ์ธ์ƒ์ด ํ–‰๋ณตํ•ด์ง‘๋‹ˆ๋‹คย ย 

ย 

๐Ÿ‘Ÿ์ด์  ํ”ผํŠธ,์ด์  ํ”ผํŠธ์˜ค์†Œํ‹ฑ,์ˆ˜์ œ์˜ค์†Œํ‹ฑ ๐Ÿ‘ก

ย 

๋‹ค์Œ๊ฒ€์ƒ‰
ํ˜„์žฌ ๊ฒŒ์‹œ๊ธ€ ์ถ”๊ฐ€ ๊ธฐ๋Šฅ ์—ด๊ธฐ

๋Œ“๊ธ€

๋Œ“๊ธ€ ๋ฆฌ์ŠคํŠธ
๋งจ์œ„๋กœ

์นดํŽ˜ ๊ฒ€์ƒ‰

์นดํŽ˜ ๊ฒ€์ƒ‰์–ด ์ž…๋ ฅํผ