CAFE

건과 참의 담낭 문제 (슬러지가 약으로 안빠지면 수술만이 답인가요?)

작성자건과참|작성시간17.07.29|조회수596 목록 댓글 33

우리아이들과 주말 잘 보내고들 계신가요 ^^


건이랑 참이는 어제 병원에 다녀왔어요

건이 요즘 원인이 모호한 저혈당 증상이 잦아서

물론 복합적인 결과였겠지만

혹시 담낭슬러지가 쭉쭉 다 빠지고 너무 좋아져서

혈당이 잘 떨어지는건가 혼자 생각에 부풀어있다

건이 참이 담낭이 무척 보고싶어져서

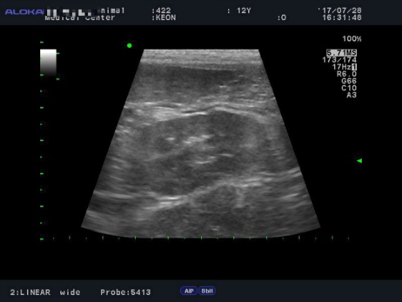
복부초음파를 의뢰했습니다  


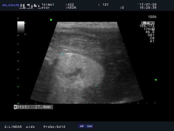
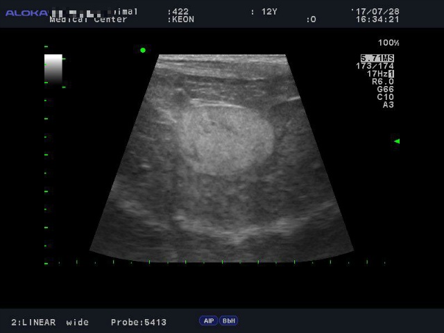
근데 웬걸 터질듯이 빵빵하네요...

처방약 먹으면서 중간에 많이 빠진걸 확인한 적 있어서

이렇게 술술 좋아지겠구만 기대하고 있던터라

너무 당황스러웠어요


이정도 수준이면 담낭제거술을 하는게 좋을 거 같은데

나이도 있고 기저질환이 있는 아이니

유지를 치유로 생각하고 약 계속 먹이면서

매달 초음파로 지켜보자는

건이 새로운 쌤의 소견...

 

제가 모르긴해도

초음파상 하얗게 뒤덮여서 슬러지가 가득차있는 모습이었다가

5월 검진때 절반이 텅 빈걸 봤으니

유동적인 점액으로 확인된셈이네 안심하고 있던터인데..


2개월만에 느닷없이 담낭을 제거해야하는 정도라고 하시니..

저는 초음파 시 영상을 같이 볼 수 있는 것도 아니고  

검사후에 사진만 보고있자니..아무리 뚫어져라 쳐다본들

얘네가 흐르고있을법한 찌꺼기인지

점액이 담낭벽에 침착돼서 둘러쌌는지 정체가 된건지

담관폐색이 일어났는지 담낭모양이 어떻게 변한건지

봐도봐도 잘 모르겠고

결국 수의사님 얘기에만 의존 할 수 밖에 없는거같아요..

저는 건이 눈도 그렇고 뭐든 지금 이 나이 이 상태에

수술은 그냥 다 싫고 무서운데

어제 오늘 담낭이 터지는 상상의 되풀이에 

적잖이 괴롭습니다ㅜ


약도 부지런히 챙겨먹였는데...

근래 건이가 지독히도 물을 잘 안먹긴했어요

매번 주사기 강제급여 중인데 그래봐야 하루100미리도 채 안되는거같고

소변은 뇨스틱을 4시간마다 찍고있어서

거의 규칙적으로 반강제배뇨ㅋ;

건은 찐무들고 화장실로 살살 꼬드겨서

오줌누자오줌 귀찮게해서 미안 고마워 사랑해 오줌오줌 솰라솰라 하면

옛다오줌~ 진짜 쉬를 해주는 장기가 있답니다..

어릴때부터 그랬던 세상 하찮은 개인기다 싶었는데

이렇게 말년에 유용하게 써먹을줄은..ㅎ


팔불출이 또 정신머리없이 경로이탈했네요;

아무튼.


물을 잘 안먹는게 컸을까요?

혹 우리 건 담낭 좀 같이 봐주실수 있을까요?

그리고 담낭슬러지 이거 도대체 어쩌면 좋을까요...

수액을 맞혀봐야하나 싶기도하고

운동부족인건지..

(산책은15~20분 매일하는데 집안에서 활동량이 현저히 줄어가요)

저의 서툰 식단이 잘못인건지...

저는 그렇게 몇달여를 뒤지고 읽고 보고 배우고 새겨도

어쩜 이렇게나 문제해결능력이 달리는건지

도와주세요 건과 참...

(이와중에 참이까지 담낭떼자십니다ㅠ)



아 우선 건은

푸들/13y/남(중성화)/9.5kg-5.4kg-현재6.6kg

당뇨/담낭슬러지/이첨판폐쇄부전/부정맥/백내장(실명)

휴물린n 2 iu/아침저녁10시

현재식이 :

가바현미+귀리 (2.5)

닭가슴+돼지후지 (3)

황태 (1)

무+애호박+양배추+청경채+방울토마토+파프리카+당근 위주의 채소랜덤 (4)

들깨가루+실크파우더 (소량)

*식욕좋음

보조제 :

새밀린/헤파카디오Q10/엑티베이트/노르딕오메가3

처방약 :






  

이게 이전 병원에서 마지막으로 받은 처방전이고

이렇게 4월26일부터 지금까지

이사 후 새병원에 똑같이 지어달라고 부탁드려서 계속 먹이고 있는 중입니다




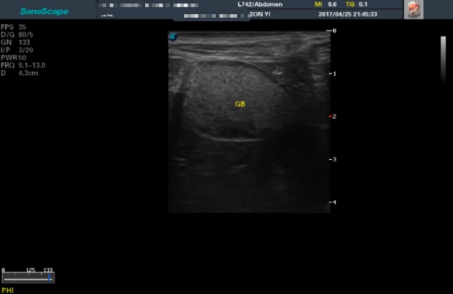
<4월25일 초진>




<5월12일 재검> 이땐 텅빈 반쪽이나마 너무 기뻤었어요...



<7월28일> 다시 원점..도로아미타불입니다. 다시봐도 속상하네요 (근데 이게 담낭이 맞긴 한건가..급혼란..)


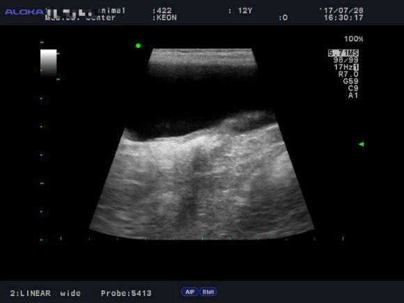
어제받은 초음파사진들은 몇장 안되니 그냥 다 올려볼게요

(이제와서 뭐가 뭔지도 몰라보는 이 모지란 반려인간..ㅜ)









그리고 또 의아한건..

간수치가 모두 정상으로 돌아왔습니다..ㅎ

첨에 간수치부터 보여주셔서

이거 건이꺼 맞나요? 되묻고 맞단말에

좋아서 앉은 채로 그루브 탈 뻔 했습니다

아시는 분들은 아시겠지만

건은 당뇨초진시 간수치가 측정불가까지 치솟아서

한바탕 당세기 은덕을 입었었던..

드디어 투병이래 처음으로 ! 정상 수치를 보게되네요

그러나 마냥 기뻐할 수가 없는 이 애매한 사태..

그동안 간수치 높은 가장 큰 이유가 담낭때문 아니었던가....?





지금 당장 얼마안에라도 터질 수 있냐 여쭤보니

그건 아무도 모른다는 무시무시한 답변에

혈당도 혈당이지만 담낭 터질까봐 지금 피가 마릅니다

게다가 참까지....

참도 건과 비슷한 양상으로 가득 차있어요

같은 처방약 한달보름째 먹고 있고요..

간쓸개들아 나한테 왜이러세요...ㅜ


참이야 말로 당뇨도 없고

한 달 지켜보고 안되면 수술해주자시네요ㄷ

아무리 쓸개빠져도 산다는 쓸개에

당뇨도 없는 참이라지만

그렇게 막 함부로 떼내버려도 괜찮은가요

수술이전에 제가 해줄 수 있는..

방법만 있다면 두놈 다 어떻게든 악착까지 노력해서

다음 재검에 쌤 보란듯

한모퉁이라도 말갛게 까매진 담낭을 선뵈고

수술얘기는 그만 쏙 집어넣고싶습니다


두서없고 길기만 한 글..

늘 다짜고짜 도와달라 징징이지만

봐주셔서 항상 감사드리고

혹 이러한 공유가 저처럼 다른분께도

자잘한 부분이나마 참고나 도움이 될 수 있다면 좋겠습니다


모두 힘내시고

주말 부디 편안하시길 바래요

언제나 화이팅!


다음검색
현재 게시글 추가 기능 열기
  • 북마크
  • 신고 센터로 신고

댓글

댓글 리스트
  • 작성자뽀돌 맘 💗 | 작성시간 17.07.31 ㅠㅠ. 건이 참이한테 ..힘든일이 생겼군요. 많이 힘드셨겠네요
    전 담낭쪽은 지식이없어서리..
    아무도움도. 못드리네요

    이렇게 날씨도 더운데 ..
    아가들 아프지않게 해달라는.
    기도빨도. 안듣는듯 하네요ㅠㅠ

    그래도 의사샘보다 더 믿을수있는. 카페 맘들이 계시니. ^^ 힘내세요.
    오늘밤은. 건이참이 꼭안고 좋은꿈꾸시고요. 저도 응원하고 기도할께요
  • 작성자단비네 | 작성시간 17.07.31 몇일 안들어왔던이 건이맘님 글이 가슴이 아프네요.. ㅜㅜ 우리 건이가 엄마 마음 다 잡고 더 강해지라고 시험을 주네요..
    제글은 도움이 안되겠지만.. 충북대에서 주치의 선생님께서 담낭은 초음파외에 천자라든지 담낭을 건드리는 시술을 할때 조심해야한다고 조금만 잘못해도 터질수 있고, 또 그 후유증으로 복막염 감염등 위험이 높기때문에 이라고 하시더라고요.. 저도 단비 혈당이 너무 안잡혔을때 담낭에 슬러지가 많이 차있지는 않았지만, 담낭천자를 해보는게 어떠냐고 하는데.. 그 위험성때문에 그 검사는 하지 않겠다고 했어요.. 담낭은 그런 장기 인가봐요.. ㅜㅜ
  • 작성자단비네 | 작성시간 17.07.31 톡하면 터지는 봉선화도 아니고.. ^^;; 뭐 그런 위험한 장기가 다 있다나요..
    건이랑 단비는 나름 인연이 있는 사이라 그런지.. 다른 곳이 아프다고 하니까.. 맘이 너무 아프고 쓰이네요..
    그래도 우리 무너지지만 말자 라고 다짐 했으니까.. 이거 또한 잘 이겨 낼수 있을꺼 같아요.. 건이랑 참이가 엄마가 이렇게 많이 생각해주고 고생해주는거 알아서 이거쯤이야 하고 이겨내길 기도할께요~~ 도움을 못드리고 힘을 드리겠습니다. 건이맘님! 힘내요~ 우리.. 항상 기도 하고 있어요~^^
  • 작성자써냐 | 작성시간 17.08.05 저희 장군이는 초음파를 한번도 해본적이 없이 지내다가 작년 7월에 갑자기 상태 안좋아지고 황달이 와서 2~3일만에 응급수술했어요. 터질것처럼 빵빵했고 황달까지 와서 눈도 몸도 노랗고.. 그래서 수술안하고 터지면 죽는다고 해서 엄청 울면서 수술시켰어요. 장군이도 그때 14살에 당뇨라는 문제가 있었지만 다행이 장군이는 심장도 간도 신장도 나이에 비해 좋은편이었어요. 수술 잘 마치고 지금 건강하게 잘 지내고 있긴하지만 그때 생각하면 또 도근거려요.ㅎ 쉽지않으시겠지만 자주 검사하시고 지켜보셔야될거 같아요. 터지기 전보단 터지면 훨씬 위험한건 사실이에요. 그 안에 효소들이 있어서 장기에 엄청 위험하고 복막염도 그렇고..
  • 답댓글 작성자써냐 | 작성시간 17.08.05 아직 다른 증상이 없으니까 지켜보시고 이지엄마말씀처럼 다른 곳에서 한번 더 보시는게 어떨까싶구요.. 건이가 심장이 좋지않은것이 좀 염려스럽지만 별일없이 지나가주길 기도할게요. 전 해마루에서 수술했는데 수술은 잘 되었지만 회복하는 과정에서 병원의 처치가 맘에 들지않아서 해마루를 그닥 신뢰하지는 않고 있어요. 데리고 가면 죽을수도 있다는 아이 집에 오니까 금방 살아났다는;;;;
댓글 전체보기
맨위로

카페 검색

카페 검색어 입력폼